UPenn Barun Dental Clinic - English-speaking U.S. Orthodontist & Dentist for Braces and Invisalign
다이아몬드등급치과에서 인비절라인퍼스트로 반대교합 해결! 1차, 2차교정을 한번에!( 어린이반대교합 송파인비절라인퍼스트 잠실엘스상가교정치과 잠실인비절라인퍼스트 인비절라인스피커치과)
교정기간 23/2~25/1 안녕하세요. 유펜바른치과입니다. 모두 잘 지내셨나요? 오늘은 유펜바른치과 반대교합 어린이환자분의 인비절라인퍼스트 증례를 소개해 드리려고 해요 :) 교정기간 23/2~25/1 환자분의 경우 앞니에 반대교합이 있고 위아래 치아가 앞니끼리 닿고 있어 아래 앞니의 치은퇴축이 심하게 진행되고 있었는데요...
아카이브 요약
이 페이지의 역할
UPenn Barun Dental Clinic - English-speaking U.S. Orthodontist & Dentist for Braces and Invisalign의 네이버 블로그 원문을 보존한 아카이브 페이지입니다. 치아교정 이야기 카테고리의 다이아몬드등급치과에서 인비절라인퍼스트로 반대교합 해결! 1차, 2차교정을 한번에!( 어린이반대교합 송파인비절라인퍼스트 잠실엘스상가교정치과 잠실인비절라인퍼스트 인비절라인스피커치과) 글을 통해 병원의 한국어 정보 제공 방식과 진료 관련 안내 톤을 확인할 수 있습니다.





교정기간 23/2~25/1
안녕하세요.
유펜바른치과입니다.
모두 잘 지내셨나요?
오늘은
유펜바른치과
반대교합 어린이환자분의
인비절라인퍼스트 증례를 소개해 드리려고 해요 :)

교정기간 23/2~25/1
환자분의 경우
앞니에 반대교합이 있고
위아래 치아가 앞니끼리 닿고 있어
아래 앞니의
치은퇴축이 심하게 진행되고 있었는데요 T^T
앞니끼리의 교합은 심미적인 치료 뿐만 아니라 치아 건강을 위해서
반드시 개선이 필요합니다.

절단교합 또는 반대교합이라고 불리는
앞니끼리의 부정교합이 방치될 경우,
어금니가 씹을때 받는 힘을 앞니에도 고스란히 전달되어
치아가 마모되거나 파절될 수 있으며
지속적인 힘으로 치아의 뿌리가 흡수될 수 있고
치아의 저작기능 뿐만 아니라 턱관절 장애로 이어질 수 있으며
교합성 외상으로 인해 잇몸 퇴축을 야기할 수 있습니다.
결국 치아 수명이 단축되는 문제가 생길 수 있습니다 T^T
이런 문제점을 개선하기 위해
잠실소아교정전문치과
잠실청소년인비절라인
잠실인비절라인퍼스트전문치과
잠실인비절라인다이아몬드등급치과
유펜바른치과 에서
인비절라인 퍼스트를 통해
1차 소아교정과 2차 교정을 한번에 마무리 해드렸습니다 :)

교정기간 23/2~25/1

교정기간 23/2~25/1
인비절라인퍼스트 (=인비절라인 1차교정)란?
→ 성장과정에 있는 6-10세 아이들에 특화된
인비절라인 장치입니다.
6-10세의 초기 혼합치열기 어린이들을 위한 교청치료로
어린이들의 턱뼈의 성장과 맹출 치아에 발생되는 문제를 확인 할 수 있습니다.
치아의 배열과 공간의 확보를 동시에 하여
영구치의 올바른 맹출에 도움을 줍니다.
인비절라인 시뮬레이션을 통해
어린이의 교합 및 정렬의 치아 관계를 평가하고, 어떻게 발전할지 예측할 수 있습니다.
턱 성장 등 골격적인 문제를 개선할 수 있으며
탈착이 가능하여, 구강위생에 용이합니다.
1st Clincheck(30개)


첫번째 클린체크에는 30개의 인비절라인장치로 진행해드렸습니다.
클린체크대로
악궁이 확장되며 점차 정상적인 교합으로 변화되었습니다.
어린이 반대교합 교정치료에서는
고려해야 할것이 몇가지 있는데요,
-
골격적으로 위턱과 아래턱의 불균형이 있을때
-
턱위치는 정상이나 치아의 배열이나 위치에 문제가 있을때
-
습관적으로 혀를 앞으로 내밀거나, 구호흡, 아래턱을 내미는 습관등이 있는 경우
등을 고려 하여 1차교정을 시작하는 것이 좋습니다 :)
이 환자분은
유펜바른치과에서 진단한 결과
치아의 배열이나 위치에 문제가 있고
반대교합이 골격적으로 심한 정도가 아니셔서
#인비절라인퍼스트 로 반대교합을 해결하기에 적합한 증례였답니다 :)
2nd Clincheck(21개)


두번째 클린체크에서는
21개의 장치로 진행해드렸는데요.
기존 어태치먼트에 추가로 어태치를 부착해
치아이동을 원활하게 도와주었습니다.
'인비절라인 퍼스트'는
아이들의 유치와 영구치에
딱맞게 제작되고
5일~7일에 한번씩 새로운 장치로 갈아끼게 되므로 위생적입니다.
기존 교정장치에 비해 이물감과 통증이 적어 편하고
탈착이 가능하여 양치가 용이해 충치 가능성이 비교적 낮습니다.
격한 움직임이나 운동에도 위험이 적고 세척이 쉬워 관리가 용이 합니다.
일반 브라켓 교정처럼 찔리거나 브라켓이 탈락하여 치과를 급하게 와야 하는 경우가 드뭅니다.
3rd(17개)


세번째는 17개의 장치로
이전의 클린체크를 이전의 클린체크를
상호 보완, 개선 하여 마무리 해드렸습니다.
성장기아이를 위한 인비절라인퍼스트는
혼합치열기에 있는 어린이환자들에게 맞춤형 기능을 제공합니다.
예측성이 높은 악궁 확장과 맹출중인 영구치열의 공간확보에 유리합니다.
악궁형태 발달, 맹출중인 치열공간 유지 등 광범위한 부정교합에 대한 치료를 제공합니다.
4th (22개)


마지막으로 섬세한 디테일링을 위해
네번째 클린체크
(총 22개의 장치)를 진행해드렸습니다.
잠실소아인비절라인
잠실어린이인비절라인
잠실중학생인비절라인
잠실청소년인비절라인
잠실인비절라인다이아몬드등급
유펜바른치과에서 인비절라인퍼스트를 통해
1차, 2차교정까지 한번에 마무리 해드렸습니다.

교정기간 23/2~25/1


교정기간 23/2~25/1
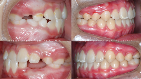
인비절라인퍼스트로 1차, 2차교정까지 마무리된 사진입니다 :)
영구치 교환시기에 시작한 인비절라인은
어린이 환자들에게 맞춤형 기능을 제공하고
악궁확장과 함께 맹출중인 영구치의 공간확보에 유리합니다.
또한
인비절라인은
일반 철사교정에 비해
통증이 적고
일반 철사교정에서 흔하게 발생되는
철사 찔림 현상이나 브라켓탈락으로 응급으로 내원해야 하는 경우들이 아예 없기 때문에
학교와 학원시간 때문에 바쁜 아이들과 청소년 환자분들에게
선호도가 높은 교정장치입니다.

교정기간 23/2~25/1

교정기간 23/2~25/1
치열이 고르지 않고
반대교합으로 아래턱이 도드라져 보였던 이전과 달리
청소년기인비절라인 교정 후
반대교합이 개선되고
맹출되지 않았던 앞니의 공간이 생기며
치아들이 제 위치를 찾고
정중선이 맞아지고 치열이 가지런해지면서
보다 자연스러운 미소를 지어주었습니다 :)
바쁜 학원과 학교생활에
잦은 치과 방문이 고민이시라면
인비절라인은 정해진 날짜에 장치를 바꾸어 교정하는 방식으로
8주 간격, 길게는 3-4개월 간격으로 내원이 가능합니다.
해외거주자도 가능한 유학생인비절라인은
시간적으로 여유가 없는 청소년과 직장인분들의 경우에 특히 더 적합한 교정장치입니다.
ABO 미국치과교정과전문의의
높은 숙련도와 많은 경험을 토대로
2022년 인비절라인 플래티넘 등급
2023년 인비절라인 플래티넘엘리트 등급
2024년 인비절라인 다이아몬드 등급을 달성한
유펜바른치과에서 자녀분의 예쁜 미소를 위해
인비절라인을 시작해 보시는건 어떠실까요?
김승우 대표원장은
미국 아이비리그 명문 UPenn 치대 졸업,
뉴욕 Albert Einstein 의대 부속병원
몬테피오레 메디컬 센터(Montefiore Medical Center)에서
3년간 정식 교정과 수련을 마친
ABO 미국 치과교정과 전문의 (Diplomate of the American Board of Orthodontics, ABO) 입니다.
ABO는 국내 단 13명 (2022년 2월 기준)으로, 유펜바른치과에서 그 치료를 경험해 보실 수 있습니다.
유펜바른치과에서는 치아교정, 인비절라인교정, 일반진료, 임플란트 및 보존과 전문의, 소아치과 전문의의 협진으로 어린이 진료까지 가능합니다.




더 보기
이 병원의 공개 콘텐츠를 계속 살펴보세요
출처 아카이브로 돌아가 더 많은 글을 보거나, 병원 프로필로 이동해 다른 공개 채널도 함께 비교해보세요.