UPenn Barun Dental Clinic - English-speaking U.S. Orthodontist & Dentist for Braces and Invisalign
반대교합+개방교합 비수술교정 유펜바른치과에서 재교정한 후기! ( 비발치개방교합 비발치반대교합 재교정후기 잠실교정치과 미니스크류비수술교정 악궁확장장치 MARPE)
안녕하세요 :) 유펜바른치과입니다. 모두 잘 지내셨나요? 교정기간 23/6 ~24/12 입이 나왔어요. 위아래 앞니가 서로 안물리고 치아가 튀어나와있어요. 교정기긴 23/6~24/12 오늘은 예전에 교정을 하셨던 재교정 환자분으로 위아래 앞니가 안물리고 입이 튀어나와 고민인 환자분의 케이스를 소개해 드리려고 합니다...
아카이브 요약
이 페이지의 역할
UPenn Barun Dental Clinic - English-speaking U.S. Orthodontist & Dentist for Braces and Invisalign의 네이버 블로그 원문을 보존한 아카이브 페이지입니다. 치아교정 이야기 카테고리의 반대교합+개방교합 비수술교정 유펜바른치과에서 재교정한 후기! ( 비발치개방교합 비발치반대교합 재교정후기 잠실교정치과 미니스크류비수술교정 악궁확장장치 MARPE) 글을 통해 병원의 한국어 정보 제공 방식과 진료 관련 안내 톤을 확인할 수 있습니다.





안녕하세요 :)
유펜바른치과입니다.
모두 잘 지내셨나요?

교정기간 23/6 ~24/12
입이 나왔어요.
위아래 앞니가 서로 안물리고
치아가 튀어나와있어요.

교정기긴 23/6~24/12
오늘은
예전에 교정을 하셨던 재교정 환자분으로
위아래 앞니가 안물리고 입이 튀어나와
고민인 환자분의 케이스를 소개해 드리려고 합니다.
어금니를 다문것 같은데..
위 아랫니 사이의 공간이 보이시나요?
이런 경우를
개방교합(=open bite)이라고 하는데요
정상교합은 윗니가 아랫니를 1/4 정도 덮어야 합니다.
개방교합인 경우 앞니로 식사하기 힘들고
어금니에 힘이 집중되어
장기적으로 어금니의 마모도가 심해지고
턱관절, 저작기능에도 좋지않은 영향을 줄 수 있습니다.

교정기간 23/6 ~24/12
환자분께서는
반대교합이 있고
하악에 비해 상악의 악궁이 좁았을 뿐만 아니라
비수술적 치료를 원하셨기에
악궁확장장치(MARPE)로 상악 확장 후 장치교정을 진행하기로 하셨습니다.
아랫니의 경우
미니 스크류를 이용해 어금니를 후방으로 이동시켜 교정을 진행해드렸습니다
잠실교정치과
유펜바른치과에서는
비수술치아교정 악궁확장장치인
'MARPE' 라는 교정장치를 이용해 악궁확장을 통해 교정을 진행해드렸는데요,

'MARPE' 를 2개월간 사용후
상악이 Δ와 같이 좁은 모양에서 넓은 U 모양으로 변화되었습니다.
악궁확장을 통해 앞니 사이의 공간을 얻은 후
치아를 재배열 하기 위한 단계를 거쳐
교정을 마무리 해드렸습니다.
악궁확장장치란?
폭이 좁은 치아의 악궁을 넓히는 장치로
주로 상악에 사용되는 장치 입니다.
중심선을 기준으로 좌-우 확장이 가능하고
악궁확장을 통해 공간을 확보하여 비수술치아교정을 할수 있고
상, 하악의 골격 조화를 이루게 합니다.

교정기간 23/6 ~24/12

교정기간 23/6 ~24/12
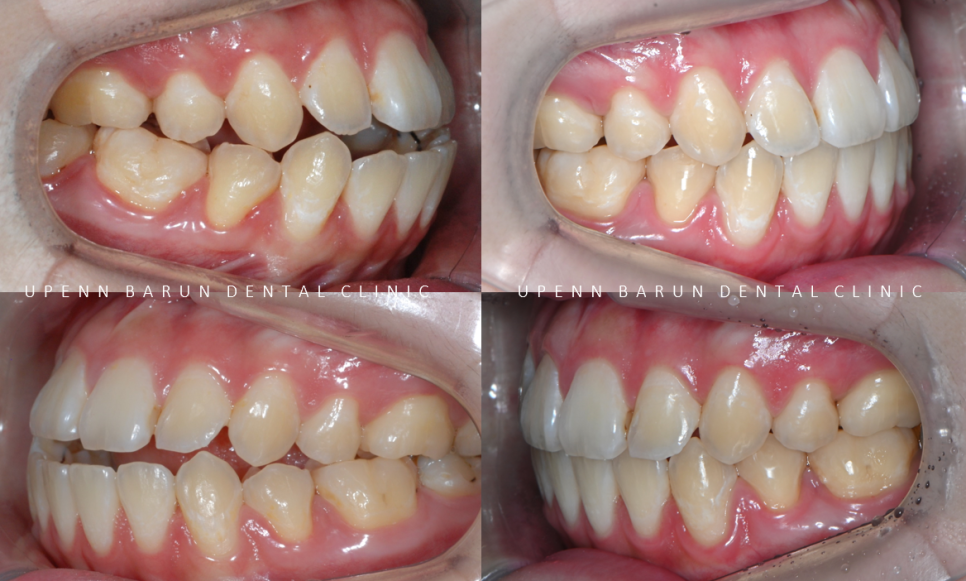
반대 교합과 함께 개방교합이 있으셨던 환자분께서
잠실교정치과
유펜바른치과에서 교정 후
반대교합이 개선되었을 뿐만 아니라
위 아랫니가 맞닿지 않던 개방교합도 개선되어
정상적인 교합이 되었습니다.
아랫입술이 튀어나와 도드라져 보였던 이전과 달리
교정 후
옆모습 라인이 훨씬 더 예뻐지고 정돈된 느낌을 줍니다.

교정기간 23/6 ~24/12
치아교정은
아름다운 미소와 치아건강상의 이점을 가지고 있을뿐만 아니라
치아 교정을 통한 심리적인 영향은
다양한 측면에서 긍정적인 결과를 나타내고 있다고 합니다.
치아교정부터 충치치료까지
같은 원장님께 진료를 받을 수 있는 유펜바른치과에서
자신있는 미소를 되찾아보세요! ♥
김승우 대표원장은
미국 아이비리그 명문 UPenn 치대 졸업,
뉴욕 Albert Einstein 의대 부속병원
몬테피오레 메디컬 센터(Montefiore Medical Center)에서
3년간 정식 교정과 수련을 마친
ABO 미국 치과교정과 전문의 (Diplomate of the American Board of Orthodontics, ABO) 입니다.
ABO는 국내 단 13명 (2022년 2월 기준)으로, 유펜바른치과에서 그 치료를 경험해 보실 수 있습니다.
유펜바른치과에서는 치아교정, 인비절라인교정, 일반진료, 임플란트, 신경치료, 보존과 전문의 및 소아치과 전문의의 협진으로 어린이 진료까지 가능합니다.
더 보기
이 병원의 공개 콘텐츠를 계속 살펴보세요
출처 아카이브로 돌아가 더 많은 글을 보거나, 병원 프로필로 이동해 다른 공개 채널도 함께 비교해보세요.