


안녕하세요^^
#잠실새내인비절라인
#인비절라인높은등급
#인비절라인다이아몬드등급
유펜바른치과입니다.
모두 잘 지내셨나요?

오늘은
'모델' 활동중으로
어태치먼트를 최대한 보이지 않게 인비절라인교정을 원하셔서
어금니에만 최소한의 어태치먼트를 붙여
교정치료를 진행해드린 환자분의 증례를 소개해 드리려고 해요 :)
학생때 교정치료를 받으신 경험이 있지만
치아가 다시 틀어져
직업 특성상 재교정으로
인비절라인을 선택해 주셨는데요^^

교정기간: 24/1 ~ 25/1
인비절라인다이아몬드등급
인비절라인잘하는곳
인비절라인맛집 유펜바른치과에서
교정을 시작해야 하는 이유는 무엇일까요? ㅎㅎ
첫째, 인비절라인코리아 공식 스피커가 상주하는 치과
"인비절라인코리아 공식 스피커"인 김승우 원장님은 2024년에 이어 2025년 현재
국내 치과의사들과 교정과전문의 선생님들을 대상으로 인비절라인 교정치료에 대해 심도있게
가르치고 역할을 맡고 있습니다.
둘째, 인비절라인 다이아몬드등급 치과
여러 네트워크 치과의 합산이 아닌 단일치과로 달성한 등급으로
송파구에서는 단일 치과의원급 기준
유일한 다이아몬드등급의 치과이기 때문입니다
셋째, 국내 단 13명의 ABO 미국 치과교정과 전문의 중 한명 (2022년 2월 기준)
김승우 대표원장님은 ABO 미국 치과교정과 전문의 (Diplomate of the American Board of Orthodontics, ABO) 로
국내 단 13명 (2022년 2월 기준)으로, 유펜바른치과에서 그 치료를 경험해 보실 수 있습니다.
유펜바른치과에서 인비절라인을 시.작.해야 하는 이유
눈치채셨나요?

교정기간: 24/1 ~ 25/1
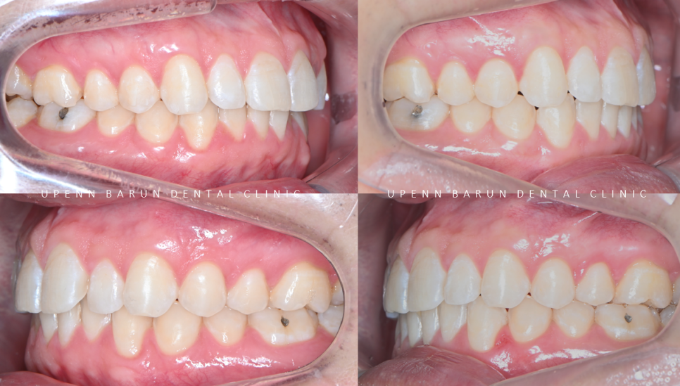
교정전
약간의 과개교합과 함께
앞니가 약간 더 커보이는 치아상태이셨는데요.
(사진상 앞니 두개 중 오른쪽 앞니가 유독 더 커보이셨어요.)
유펜바른치과 인비절라인라이트 교정 후
도드라져 보였던 앞니가 제 위치를 찾으며
보다 가지런한 치열이 되었습니다.
직업 특성상 최소한의 어태치먼트로 진행된
유펜바른치과의 특별한 클린체크를
함께 감상해 보실까요?
1st Clincheck




첫번째 클린체크에서는 14개의 장치를 이용해
어금니쪽에 윗니는 총 네개, 아랫니는 총 여섯개의 어태치먼트로 진행해드렸습니다.
환자분께서는 치간삭제도 절대 원치 않으셔서
치간삭제 없이 치료계획을 세웠습니다.
첫번째 세트가 끝난후 치아의 배열은 물론
과개교합이 개선된 모습입니다.

치아에 부착된 '어태치먼트'는
일반적인 충치치료 재료인 레진으로
치아의 이동에 관여 합니다.
어태치먼트는
각기 다른 모양들로
치아의 뿌리이동, 정출, 확장 등 각각의
치아이동에 따라 다르게 처방이 내려집니다.
치아에 부착되는 어태치먼트의
미세한 차이로
인비절라인치료결과가 달라질 수 있기 때문에
치료하는 술자가
인비절라인의 다양한 경험과
수많은 증례를 경험한
ABO 미국치과교정과전문의 인지
알아보고 시작하시는것이 중요합니다!!!
2nd Clincheck



조금 더 디테일하고 깔끔한 피니싱을 위해
추가 14개의 장치로 두번째 클린체크까지
마무리 해드렸는데요,
인비절라인라이트옵션은 부정교합이 심하지 않고,
주로 앞니가 틀어진 앞니부분교정이나 재교정 케이스에서 많이 사용되고있습니다.
탈부착이 가능하고
위생관리가 용이한 인비절라인은
특수강화 플라스틱 재질로
치아를 안쪽과 바깥쪽에서 적은 힘으로 지속적으로
잡아주기 때문에
통증없이 악궁을 확장시키고
치아이동을 수월하게 도와줍니다.


교정기간: 24/1 ~ 25/1
아랫니가 삐뚤빼뚤하고
유독 커보이고 도드라져 보이던 앞니가
인비절라인라이트교정 후
치아들이 제 위치를 찾으며 윗니와 아랫니의 교합이
개선되었습니다 :)
치간삭제 없이 치료를 진행했음에도,
김승우원장님의 꼼꼼한 클린체크 디자인과
환자분의 협조도만으로도
만족스러운 결과를 얻어 낼수 있었습니다.
인비절라인은
치아에 부착되는 어태치먼트의 부착 여부, 위치, 어태치먼트의 종류 선택 등에 따라
치료결과가 확연히 달라질 수 있기때문에
"인비절라인의 본고장" 미국 뉴욕에서
3년간의 정식 교정과전문의 수련을 받고
다양하고 수많은 증례를 경험한
ABO 미국치과교정과전문의 김승우원장님에게
상담받아보시길 권유드립니다!!!

삐뚤빼뚤한 치아로 활짝 웃지 못해 고민이시라면
유펜바른치과에서
아름다운 미소를 되찾아보세요 :)
매년 점점 많은 환자분들께서 찾아주시는
'꾸준히 성장하는 치과'
유펜바른치과는
책임감을 가지고 환자분 한분 한분의
심도 있는 진료를 약속 드리고
원장님의 진료경험과 노하우, 높은 숙련도, 책임감을 통해
더 좋은 결과를 드릴 수 있도록 노력하겠습니다.
| | |
김승우 대표원장은
미국 아이비리그 명문 UPenn 치대 졸업,
뉴욕 Albert Einstein 의대 부속병원
몬테피오레 메디컬 센터(Montefiore Medical Center)에서
3년간 정식 교정과 수련을 마친
ABO 미국 치과교정과 전문의 (Diplomate of the American Board of Orthodontics, ABO) 입니다.
ABO는 국내 단 13명 (2022년 2월 기준)으로, 유펜바른치과에서 그 치료를 경험해 보실 수 있습니다.
유펜바른치과에서는 치아교정, 인비절라인교정, 일반진료, 임플란트 및 보존과 전문의, 소아치과 전문의의 협진으로 어린이 진료까지 가능합니다.

치아교정(ABO공인 미국 치과 교정과 전문의), 충치치료, 임플란트 진료 - 대표 원장님

소아전문의 원장님

보존 전문의 원장님