잇몸(치은, Gingiva)
서울대입구역 치과

'치은'이라는 또 다른 명칭을 갖고 있는 잇몸은
치아와 구강 주변 뼈를 덮고 있는 연조직인데요.
외부 충격이나 세균으로부터 치아와 구강을 보호합니다.
또한 저작 시 발생하는 마찰력을 줄여주며,
이가 흔들리지 않도록 단단히 고정시키는 역할을 하죠.
치은은 강하지만 한번 망가지면 회복되기 어려운 곳입니다.
나이가 들거나 염증, 충치가 생길 때 제일 먼저 변화가 나타나는 곳이기도 한데요.
건강한 잇몸은 치아와 치근의 경계인 '치경부'를 감싸는 형태로 이루어져 있습니다.
그러나 노화, 치주 질환, 충치, 교합 외상 등의 이유로 잇몸 건강이 악화된다면
이곳이 점점 밑으로 내려앉는 '치은 퇴축으로 인해 치경부마모증'이 나타나게 되는 것이죠.
자, 이렇게 되면 어떤 문제가 생길까요?
일단 안에 있어야 될 조직이 겉으로 드러났기 때문에 이 시림이 나타나게 됩니다.
이와 더불어 심미적으로 좋지 않은 외관도 문제가 되죠.
오늘 서울대입구역 치과 에서는
이와 관련된 환자의 치료 과정을 통해
좀 더 자세한 내용을 설명드리겠습니다.
요새 음식 찌꺼기들이 너무 자주 끼네요.
스케일링이랑 검진을 같이 받고 싶어서 왔습니다.
음식 찌꺼기들이 잘 빠지지 않고 자주 낀다는 주소(c.c)로
서울대입구역 치과 를 찾아오셨습니다.
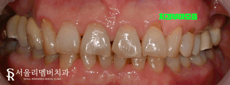
어느 때와 마찬가지로 환자의 구내를 육안으로 확인했는데요.
딱 보자마자 이런 증상을 느끼게 된 이유를 알 수 있었습니다.
앞서 말했듯이 건강한 치은은 치경부를 감싼 채,
탱탱하게 올라와 있는 모습을 나타내는데요.
이 환자의 구강을 딱 보았을 때
겉으로 드러난 치경부가 눈에 띄었습니다.

전치부에만 국한된 문제가 아닌,
전체 치아에서 관찰되고 있었는데요.
특히 임플란트를 올려놨던 치아 주변에서 심하게 나타났습니다.


치주 질환이 진행되어 치은이 밑으로 꺼지게 된 거죠.
그로 인해 벌어진 틈 사이로 음식 찌꺼기들이 끼게 되었으며
통증(식편압입, food impaction)까지 이어진 것입니다.
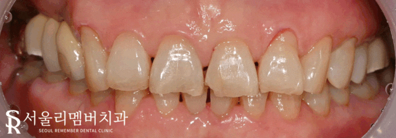
이런 문제를 해결할 수 있는 대표적인 방법으로는
'치경부 마모증 레진 충전 (서비컬 레진, Cervical Resin)' 이 있습니다.
겉으로 드러난 곳을 레진을 이용해 메꿔주는 치료 방식이죠.
서울대입구역 치과 에서도
서비컬 레진을 통해 문제를 개선하는 것으로 방향을 잡았습니다.
서비컬 레진을 올리면 통증이 사라질까?
서울대입구역 치과
리멤버에서는
방습, 본딩, 충전, 폴리싱 등 차차 과정을 거쳐
군데군데 드러나 있던 곳들을 틈이 보이지 않도록 올려드렸습니다.

이 과정은 술자의 기술력에 의해 결과 차이가 확연히 드러나는 치료인데요.
한 땀 한 땀 올려가며 형태를 잡는 방식으로 진행되기 때문에
과잉되거나 모자란 경우에는 또 다른 문제가 생길 수 있습니다.
또한 치경부는 오목한 부위에 메꿔 넣는 것이 아닌,
평평한 부위에 올려드리기 때문에 접착이 잘될 수 있도록 더! 신경을 써야 됩니다.


서비컬레진을 올리면 불편함이 아예 사라지는지 여쭤보는 분들이 계신데요.
바깥쪽으로 나와 있는 신경을
하나의 막으로 보호하는 것이라 생각하면 이해가 빠르실 겁니다.
개인에 따라 다르겠지만
이 시림이나 통증, 찌릿한 느낌을 확연히 줄여드릴 수 있습니다.
실제로 이 환자께서도
음식 찌꺼기가 자주 끼는 등의 불편함이 싹 사라지셨다는데요.
만족할 만한 결과를 안겨드릴 수 있어서 다행이네요^^
음식 찌꺼기가 끼고 잇몸이 내려앉은 듯한 느낌이 나타난다면
그 즉시 내원하여 적절한 치료를 받는 것이 중요합니다.
처음에는 대수롭지 않게 여겼던 것들이
나중에는 이가 빠져 버리는 원인으로 이어질 수 있기 때문이죠.
이와 관련하여 문의할 내용이 있는 분들은
아래 댓글 및 서울대입구역 치과 로 연락 남겨주시기 바랍니다.
감사합니다!
