안녕하세요.
보라매 치과 박정기 원장입니다.
좋은 인상을 주기위해서는
하얀 치아가 필수인 시대가 오고있습니다.
그에따라서 미백을 찾는 사람들도 덩달아
증가하고 있는데요.
곰곰히 생각해보면 어릴때부터 이가
누렇지 않던 사람도 살다보면
어느순간 이가 누래져 있는걸 볼수 있습니다.
이가 누래지는 주된 이유가
'외인성 변색'인데요.
짙은 색소가 포함된 음식을 먹거나,
담배의 니코틴 성분속에 있는
착색 분자가 이 겉면에 흡착되어
발생하게 됩니다.
이런 외인성 변색을 일으키는 식품은
커피, 녹차, 초콜릿, 와인, 콜라, 담배가 있으며
원인에 따라
생활치미백과 실활치미백으로 구분할수 있습니다.
보라매 치과 에서 간단하게 설명드리면,
1)생활치미백은
이 겉면에 착색된 분자를 분해하는 원리로
과산화수소 성분이 포함된 약제를 치아겉에
도포하고 분해과정에서 생성된 활성
산소가 착색을 제거합니다.
2)실활치미백은
외상이나 엔도로 인해 변색되었을때
약재를 넣고 주기에 맞게 관찰하며
경과를 지켜봅니다.
(크라운, 레진, 임플란트는 반응이 없습니다)
또한 이를 실천하는 주체에따라서
자가와 전문가로 나뉘게 되는데
스스로 집에서 하는경우
병원 내원하여 맞춤형
트레이를 제작하고
약제를 짜넣은후 치아에 끼워서 진행하되
매일 4~6시간정도 꾸준히 실행해야 합니다.
그러나
보라매 치과 에 내원하여 하는경우
치아 표면에 약제를 바르고 강한 빛, 열을
가하는 방법으로 진행되며
보통 1회에 30분정도 시간이 걸리며
충분히 하얗게 됩니다.
변색이 심하거나, 중요한 일을 앞두고 있을때
단기로 하더라도 충분합니다.
이후로도 누래지는것을 예방하자면
금연, 커피와 차를 오래 머금지 않고 섭취하며
음료를 마실대 이를 거치지 않기 위해 빨대를
사용하는게 좋으며 섭취후
생수로 구강을 헹구면 좋습니다.
또한 한번 시행했다고 그 효과가
영원한것은 아니며 6개월에서 12개월마다
정기 검진를 받는것이 도움이 됩니다.
구내사진

-
- 04
구강내 사진을 보면 별다른 문제는
없어보이지만 전체가 누렇게 보이는면이
있습니다.
그건 양옆으로 갈수록 심한데요.

쉐이드 가이드를 봤을 때
A3에 가까운 색조를 확인할 수 있었습니다.
미백 과정
환자들이 사용하기에 위험한
고농도 미백제를 이용하여
치료를 진행합니다.
치료 방법
- 러버댐으로 잇몸을 감싸 보호한 후
약품을 도포해 줍니다.
- 특수 광선을 사용해 15분씩 총 3회
시술을 진행합니다.
- 약품을 깨끗이 없앤 후 변화를 확인합니다.
이와 같은 과정을 통해 진행되는데요,
환자와 충분한 상담이 사전에 이루어져야 합니다.

-
- 30

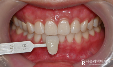
기존 A3였던 환자의 이는
B1까지 밝아졌습니다.
구강내 치아들의 전체 톤이 환해진것을
확인할수 있습니다.
미백치료 후에는
식습관과 주의사항을 알려드리는 것이 필요합니다.
마치면서
미백 치료 과정은
안전하게 전문가와 상의 후
치료 기간을 준수하여 진료받으시길 바랍니다.
긴 글 읽어주셔서 감사합니다.
보라매 치과 박정기 원장이었습니다.

치료기간 : 2025. 01. 04 ~ 2025. 01. 30