아카이브 요약
이 페이지의 역할
서울리멤버치과의원의 네이버 블로그 원문을 보존한 아카이브 페이지입니다. 임플란트 카테고리의 서울대입구역 치과 임플란트, 신경치료 크라운, 인레이 모두 해야 된다면 어떤 진료부터 시작해야 될까요? 글을 통해 병원의 한국어 정보 제공 방식과 진료 관련 안내 톤을 확인할 수 있습니다.
원문 검증
필요하면 원문 블로그와 병원 프로필로 바로 이동해 문맥을 다시 확인할 수 있습니다.
출처 아카이브 열기아카이브된 블로그 글
서울리멤버치과의원 · Naver Blog
치료 기간 : 2024..7.11 ~ 2024.12.03 안녕하세요, 서울대입구역 치과 박정기 원장입니다. 우리가 알고 있는 충치는 그저 치아를 삭게 만들고 깊어지면 통증을 일으킨다 생각하실 수 있으나 진행 정도에 따라 차이가 있습니다. 만약 치아의 맨 바깥층인 법랑질에 국한되어 있거나 진행 초기 단계라면 그때는...
게시일
2025년 3월 27일
원문 기준으로 확인된 발행일입니다.
카테고리
임플란트
원문 블로그 카테고리를 정리해 함께 표시합니다.
이미지 수
7
현재 아카이브에 연결된 이미지 수입니다.
아카이브 요약
서울리멤버치과의원의 네이버 블로그 원문을 보존한 아카이브 페이지입니다. 임플란트 카테고리의 서울대입구역 치과 임플란트, 신경치료 크라운, 인레이 모두 해야 된다면 어떤 진료부터 시작해야 될까요? 글을 통해 병원의 한국어 정보 제공 방식과 진료 관련 안내 톤을 확인할 수 있습니다.
원문 검증
필요하면 원문 블로그와 병원 프로필로 바로 이동해 문맥을 다시 확인할 수 있습니다.
출처 아카이브 열기
치료 기간 : 2024..7.11 ~ 2024.12.03
안녕하세요,
서울대입구역 치과 박정기 원장입니다.
우리가 알고 있는 충치는
그저 치아를 삭게 만들고
깊어지면 통증을 일으킨다 생각하실 수 있으나
진행 정도에 따라 차이가 있습니다.
만약 치아의 맨 바깥층인
법랑질에 국한되어 있거나
진행 초기 단계라면
그때는 스케일링과 구강위생관리를 통해
지켜보기도 합니다.
이것을 정지성 우식이라 부르는데
어찌 되었건 이를 치료하기 위해서는
자연치의 0.1mm는 건들 수밖에 없기에
진행 속도가 늦어 보이거나
정지되어 있는 충치는 관리 차원에서
지켜보면서 경과 관찰을 합니다.
그러나 이 이상의 단계부터는
반드시 치료가 필요합니다.
서울대입구역 치과 에서
서론에 설명드린 것과 같이
계속하여 진행되고 어느 순간 깊어져
극심한 통증을 일으킬 수 있으니 말이죠.
우식의 범위와 깊이에 따라
레진
인레이
신경치료 크라운
발치 임플란트
크게 4가지로 구분하고 있으며,
어느 시기에 어떤 진료를 하게 될지는
환자의 구강상태를 직접 검진한
담당 의사만이 평가하고 진단 내릴 수 있습니다.
먼저 전체적인 구강 상태 파악을 위해
입안을 살펴보겠습니다.

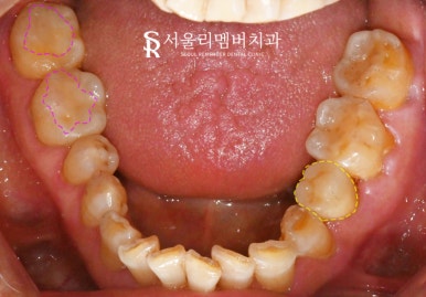
2024.07.11
하악 어금니 교합면의 깊은 굴곡을 따라
충치가 생겨있는 곳이 존재하고
눈에 잘 보이지 않는
미세한 금으로 찌릿한 통증을 유발하는
치아도 존재했습니다.

2024.07.11
상악은 보철로 덮어씌워져 있으나
오른쪽 위 어금니 부근에서
우리우리한 불편감과 통증이 있다 하셨는데요,
오늘 서울대입구역 치과 에서는
우식의 진행 정도에 따라
각기 다른 방법을 알려드리겠습니다.
*경과 관찰을 하며
지켜볼 수 있을 것이라 생각되는
초기 우식은 건너뛰고
진료를 했던 치아만 구분하여
설명드릴테니 양해 부탁드립니다.
서울대입구역 치과 에서는
구강 내 나타난 증상에 따라
어떤 진료가 좋을지
정확한 진단을 위해
파노라마 엑스레이를 찍게 되는데요,
이 과정까지 거쳐야
비로소 여러 임상검사와
엑스레이 사진,
그리고 환자가 호소하는 동통에 따른
진단을 세울 수 있습니다.

2024.07.11

2024.12.03
problem & solution
① 오른쪽 위 어금니
치조골 소실 및 이차우식
-> 발치 후 임플란트
② 크랙 의심 치아
-> 신경치료 크라운
③ 교합면 우식
-> 인레이
그럼 여기서 궁금한 게 또 한 가지
생기실겁니다.
어떤 것부터 시작해야 되나요?
직장인이라 시간 내기 힘들어서
속도는 빠르게 하면서
내원 횟수도 제일 적은 방법으로
해주실 수 있나요?
이런 질문을
서울대입구역 치과 를 운영하면서
꽤 많이 들어왔던 것 같습니다.
직장이 바쁘거나
가정이 있으신 환자들께서
주로 위와 같은 질문을 주시는데,
대게 토탈 기간이 제일 오래 걸리는
임플란트부터 하시면 됩니다.
임플란트는 잇몸뼈에 심은 인공 나사와
치조골이 단단히 결합되는 기간이 필요하기에
제일 먼저 해주시는 게 좋습니다.
서울대입구역 치과 에서
상악은 4~5개월,
하악은 3~4개월 정도 걸린다
설명드리고 있으며
이 기간은 환자마다 다르긴 합니다.
다만 식립을 하고 난 뒤
수술 부위가 잘 아물었고
덧나지 않았는지 확인차
내원하는 일정이 필요하기에
다른 부위는 그때마다 함께 진행하면
번거로운 내원 횟수를 꽤 많이 줄일 수 있습니다.
신경치료는 치아 개수에 따라 다르지만
3~5번 정도 오셔야 되고,
마지막 크라운을 씌우기까지
한 달에서 한 달 반 정도 소요됩니다.
인레이는 충치를 제거하는 날 1일,
본뜬 보철을 부착하는 날 1일 해서
2회 만에 마무리되기에
이 두 개의 진료는
환자가 시간을 낼 수 있는 날에 맞추어
진행하시면 됩니다.
다만, 절대로 중간에 임의로
내원을 중단하시면 안 됩니다.
자칫하면 치료 중인 치아가 파절되거나
약해진 부위에 자극이 가면서
통증이 생길 수 있습니다.


2024.12.03
이 케이스에서도
임플란트 수술 후 치유 기간 동안
환자의 일정에 맞추어
나머지 부위도 함께 해드렸습니다.
다수의 치아 문제를 해결하려면
시간과 비용, 인내심, 노동력 등
참 많은 것이 필요합니다.
그러나 그중에서도 제일 필요한 건
환자의 노력하려는 마음과
나아지고픈 의지가 아닐까요?
오늘도 읽어주셔서 감사합니다.
서울대입구역 치과 박정기였습니다.