아카이브 요약
이 페이지의 역할
서울리멤버치과의원의 네이버 블로그 원문을 보존한 아카이브 페이지입니다. 임플란트 카테고리의 사당역 치과 임플란트 주위 염증으로 픽스처 제거 후 다시 식립 재수술 필요하다면? 글을 통해 병원의 한국어 정보 제공 방식과 진료 관련 안내 톤을 확인할 수 있습니다.
원문 검증
필요하면 원문 블로그와 병원 프로필로 바로 이동해 문맥을 다시 확인할 수 있습니다.
출처 아카이브 열기아카이브된 블로그 글
서울리멤버치과의원 · Naver Blog
치료 기간 : 2025.07.14 ~ 2025.11.28 반갑습니다, 사당역 치과 서울리멤버 박정기 원장입니다. 수요가 증가할수록 이에 뒤따르는 부작용이나 문제도 늘어날 수밖에 없습니다. 특히 임플란트는 사람의 뼈, 즉 치조골에 생체친화성 소재의 티타늄 나사를 식립하는 시술이다 보니 철저한 멸균 상태에서 시행했다...
게시일
2026년 1월 27일
원문 기준으로 확인된 발행일입니다.
카테고리
임플란트
원문 블로그 카테고리를 정리해 함께 표시합니다.
이미지 수
5
현재 아카이브에 연결된 이미지 수입니다.
아카이브 요약
서울리멤버치과의원의 네이버 블로그 원문을 보존한 아카이브 페이지입니다. 임플란트 카테고리의 사당역 치과 임플란트 주위 염증으로 픽스처 제거 후 다시 식립 재수술 필요하다면? 글을 통해 병원의 한국어 정보 제공 방식과 진료 관련 안내 톤을 확인할 수 있습니다.
원문 검증
필요하면 원문 블로그와 병원 프로필로 바로 이동해 문맥을 다시 확인할 수 있습니다.
출처 아카이브 열기
치료 기간 : 2025.07.14 ~ 2025.11.28
반갑습니다,
사당역 치과 서울리멤버 박정기 원장입니다.
수요가 증가할수록
이에 뒤따르는 부작용이나
문제도 늘어날 수밖에 없습니다.
특히 임플란트는
사람의 뼈, 즉 치조골에
생체친화성 소재의 티타늄 나사를 식립하는
시술이다 보니
철저한 멸균 상태에서 시행했다 한들
개인마다 골 유착 성공 가능성에는
차이가 있습니다.
그럼에도 우리 몸에서 거부반응 없이 받아들이는
소재가 티타늄뿐이기에
실제로 뼈가 부러지거나 성형수술을 할 때에도
티타늄 소재의 장비들을 사용하는 것이죠.
이렇게 자연치를 대체하기 위해
티타늄 픽스처를 잇몸뼈에 잘 심어두었고,
뼈랑 단단히 붙었다는 말도 들었는데
흔들린다면?
오늘 사당역 치과 에서는
임플란트 흔들림과 탈락이라는 주제로
몇 가지 심도 있는 내용을 설명드리겠습니다.
사람들이 오해하는 것 중 하나가
"단단한 나사를 뼈 깊숙이 심었으니
평생 쓸 수 있을 거야"
라고 생각하시는 경우가 많습니다.
물론 반영구적인 시술이긴 하나
이것은 환자가 얼마나 관리를
철저히 해주시는지에 따라
그 기간은 천차만별로 달라집니다.

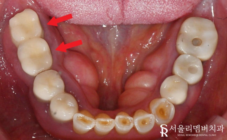
오늘 사당역 치과 에서 보여드리는 케이스를 보면
오른쪽 아래 두 개의 큰 어금니에
임플란트 브릿지 보철이 수복되어 있는데
자세히 보면 해당 부위 주변 잇몸이 부어있고
조금만 건드려도 출혈이 발생하는 상황이었습니다.
염증이 잔뜩 차오르면서
매우 적은 자극에도 반응을 일으키는 것인데요,
겉은 보철로 덮여있으니
정확한 내부 상태 파악을 위해
엑스레이를 찍어보았습니다.
그런데 파노라마에서 보이는 문제는
훨씬 더 심각했는데요,

46, 47번 픽스처 주위로
심한 골소실(boneloss)이 존재합니다.
이미 기존 픽스처의 끝까지
뼈가 다 녹아버렸으며
이 정도라면 흔들림도 매우 컸을 텐데
아마 보철을 브릿지로 만들어서
46번과 연결해두었기에
그나마 빠지지 않고 버틴 것 같습니다.
그러나 이제는 46번의 픽스처도
절반 가까이 골소실이 진행되어버렸기에
예후가 많이 불량합니다.
원인이 무엇일까요?
사당역 치과 에서
왜 이런 문제가 생겼는지
짐작해 보면
아마 제일 흔하고
중요한 원인은 바로
주변 위생관리가 청결하게 되지 않았기 때문
일 가능성이 큽니다.
임플란트는 살아있는 자연치아가 아니다 보니
신경이 없어서 통증을 느끼지 못하는데
그럼 이렇게 뼈가 다 녹아버리고
흔들리게 될 때까지
크게 아프지 않으니
모르셨던 것이죠.
또한 한번 고인 음식물이
빠져나가지 못하고 잔류하면서
계속 염증을 일으키고
결과적으로 주위염이 생겨
이렇게까지 되어버린 것 같습니다.
치료방법
사당역 치과 에서는
46, 47번의 경우
기존의 골 유착에 실패한
두 개의 픽스처를 제거하고
재식립을 하기로 결정했습니다.
그래서 임플란트 제거 전용 키트를 통해
조심스럽게 꺼냈으며
잔존 육아조직을 꼼꼼하게 제거했습니다.
이렇게 깨끗한 환경을 만들어둔 뒤
다시 새롭게 수술을 진행했는데요,

워낙 뼈가 많이 상해버렸기에
기존에 심었던 자리보다
살짝 더 뒤쪽으로 식립하여
초기고정력을 유지할 수 있게 유도했으며
임플란트도 더 두꺼운 사이즈를 선택해서
치조골에 안착시켰기에
꽤 성공적으로 마무리가 되었습니다.
내부의 감염 조직들을
모두 소파한 뒤 재수술을 하였기에
다시 청결한 환경이 되었고
뼈이식(GBR)도 많이 해두었기에
이제는 주변으로 신생골도 차올라있는 것을
확인할 수 있습니다.
사당역 치과 에서
최종 보철을 올린 모습을 보며
한 가지 더 설명드리겠습니다.

교합면에 작은 홀(hole)이
뚫려있는 게 보이시나요?
이것은 SCRP type에 해당하며
의도적으로 만들어둔 것인데요,
앞으로 오랜 시간 사용하시다 보면
나사 풀림, 보철 파절, 교합 조정 같은
여러 유지 보수가 필요한 순간이 있을 수도 있고
가끔은 내부를 깨끗하게
소독해 줘야 될 수도 있기에
일부러 보철을 제작할 때부터 만들어 둔 것이라
생각하시면 됩니다.
어차피 환자들이 보기에는
치아와 비슷한 색으로 막혀있어
잘 모르실 겁니다 ㅎㅎ
오늘 사당역 치과 에서는
임플란트 주위염으로 인하여
제거 후 재식립까지 진행한 케이스를
보여드렸는데요,
아프지 않은 게 아니라
아픈 걸 모르는 것일 수 있습니다.
그러니 구강 내 별다른 통증이나
불편감이 없더라도
정기검진을 통해
늘 살펴보는 습관을 가지시기 바랍니다.
읽어주셔서 감사합니다.
사당역 치과 서울리멤버 박정기 원장이었습니다.