아카이브 요약
이 페이지의 역할
클레어치과의원의 네이버 블로그 원문을 보존한 아카이브 페이지입니다. 김유나원장 라미네이트 시술일지 카테고리의 “치아 비대칭, 교정 말고 라미네이트로 잡을 수 있을까?” 글을 통해 병원의 한국어 정보 제공 방식과 진료 관련 안내 톤을 확인할 수 있습니다.
원문 검증
필요하면 원문 블로그와 병원 프로필로 바로 이동해 문맥을 다시 확인할 수 있습니다.
출처 아카이브 열기아카이브된 블로그 글
클레어치과의원 · Naver Blog
안녕하세요. 클레어치과 대표원장 김유나입니다. 크리스마스를 한 주 앞두고 있는 요즘이네요. 오늘은 라미네이트로 비대칭을 개선한 케이스를 소개해 드리려고 합니다. 교정 치료는 치아의 배열이나 악궁의 크기 개선에는 효과적이지만, 치아가 가진 본래의 형태 자체를 바꾸는 데에는 한계가 있습니다. 이번 환자분은 48세 여성...
게시일
2025년 12월 21일
원문 기준으로 확인된 발행일입니다.
카테고리
김유나원장 라미네이트 시술일지
원문 블로그 카테고리를 정리해 함께 표시합니다.
이미지 수
5
현재 아카이브에 연결된 이미지 수입니다.
아카이브 요약
클레어치과의원의 네이버 블로그 원문을 보존한 아카이브 페이지입니다. 김유나원장 라미네이트 시술일지 카테고리의 “치아 비대칭, 교정 말고 라미네이트로 잡을 수 있을까?” 글을 통해 병원의 한국어 정보 제공 방식과 진료 관련 안내 톤을 확인할 수 있습니다.
원문 검증
필요하면 원문 블로그와 병원 프로필로 바로 이동해 문맥을 다시 확인할 수 있습니다.
출처 아카이브 열기안녕하세요. 클레어치과 대표원장 김유나입니다.
크리스마스를 한 주 앞두고 있는 요즘이네요.
오늘은 라미네이트로 비대칭을 개선한 케이스를 소개해 드리려고 합니다.
교정 치료는 치아의 배열이나 악궁의 크기 개선에는 효과적이지만,
치아가 가진 본래의 형태 자체를 바꾸는 데에는 한계가 있습니다.
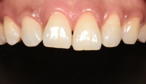
이번 환자분은 48세 여성분으로, 큰 앞니 옆 치아인 측절치가 선천적으로 맹출되지 않아
송곳니가 앞니 역할을 하게 되면서 스마일 라인이 다소 부자연스러웠던 케이스입니다.
아, 물론 교정을 받으셨다고 합니다. 하지만 만족도는 크지 않았다고 합니다.
클레어치과는 치아 성형 라미네이트에 특화된 치과로, 대표원장인 저는 언제나 최소 삭제 원칙을 고집하며
자연스러운 형태와 기능의 조화를 가장 중요하게 생각합니다.



삭제전 삭제 후 세팅후
라미네이트 4개만 시술했습니다.
시술 전에는 수줍게 웃으시던 환자분께서,
라미네이트 세팅 후에는 한층 당당하고 아름다운 미소를 보여주셨습니다.
미소의 변화가 인상 전체를 얼마나 바꿀 수 있는지 잘 보여주는 사례입니다.
그리고 왠지 좀 더 어려보이는 느낌적인 느낌? ㅎㅎㅎ제 눈엔 제 환자분들이 다 예뻐 보입니다.


삭제를 많이 할수록 라미네이트는 비교적 쉽게 예쁘게 나올 수 있습니다.
하지만 적게 삭제하면서도 자연스럽고 예쁘게 만드는 것은 실력입니다.
시술 전에 치아의 최종 모양을 미리 예측하고, 정교하게 디자인하기 때문이죠.
작은 차이가 결과를 만듭니다.
우리 모두, 어제보다 오늘 더 예뻐져요.
그럼 이만, 총총총 😊