아카이브 요약
이 페이지의 역할
클레어치과의원의 네이버 블로그 원문을 보존한 아카이브 페이지입니다. 김유나원장 라미네이트 시술일지 카테고리의 치아 모양이 안예뻐서 속상해요 글을 통해 병원의 한국어 정보 제공 방식과 진료 관련 안내 톤을 확인할 수 있습니다.
원문 검증
필요하면 원문 블로그와 병원 프로필로 바로 이동해 문맥을 다시 확인할 수 있습니다.
출처 아카이브 열기아카이브된 블로그 글
클레어치과의원 · Naver Blog
오늘 역대급 한파라고 합니다. 다들 무탈하신지요? “원장님, 치아가 안 예뻐서 웃을 때마다 신경 쓰여요.” 상담실에서 가장 자주 듣는 말 중 하나입니다. 오늘 오신 환자분도 통증이나 기능 문제보다 **‘치아 모양 때문에 자신감이 떨어진다’**는 점이 가장 큰 고민이었습니다. 문제는 ‘치아 크기’보다 ‘비율’이었...
게시일
2025년 12월 27일
원문 기준으로 확인된 발행일입니다.
카테고리
김유나원장 라미네이트 시술일지
원문 블로그 카테고리를 정리해 함께 표시합니다.
이미지 수
2
현재 아카이브에 연결된 이미지 수입니다.
아카이브 요약
클레어치과의원의 네이버 블로그 원문을 보존한 아카이브 페이지입니다. 김유나원장 라미네이트 시술일지 카테고리의 치아 모양이 안예뻐서 속상해요 글을 통해 병원의 한국어 정보 제공 방식과 진료 관련 안내 톤을 확인할 수 있습니다.
원문 검증
필요하면 원문 블로그와 병원 프로필로 바로 이동해 문맥을 다시 확인할 수 있습니다.
출처 아카이브 열기오늘 역대급 한파라고 합니다.
다들 무탈하신지요?
“원장님, 치아가 안 예뻐서 웃을 때마다 신경 쓰여요.”
상담실에서 가장 자주 듣는 말 중 하나입니다.
오늘 오신 환자분도 통증이나 기능 문제보다
**‘치아 모양 때문에 자신감이 떨어진다’**는 점이 가장 큰 고민이었습니다.
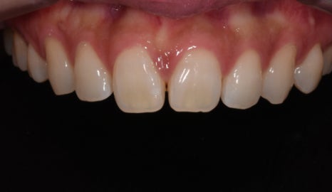
문제는 ‘치아 크기’보다 ‘비율’이었습니다
치아가 길죽길죽한 모양이고 틈이 벌어져 있어서 전체 인상이 다소 날카로워워 보이는 느낌이 있었습니다.
이런 경우 얼굴형, 입술 라인, 잇몸 노출량까지 함께 고려한 디자인이 훨씬 중요합니다. 그리고 환자분은 하얗게 아주 티나게 원했습니다.
많이 깎지 않아도 해결 가능한 케이스
다행히 치아 배열과 교합은 안정적인 상태였습니다.
그래서 교정이나 큰 삭제 없이도
라미네이트로 충분히 개선 가능하다고 판단했습니다.
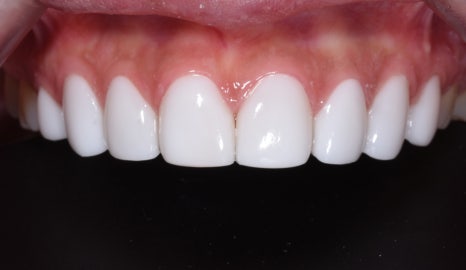
제가 가장 중요하게 본 포인트는 3가지였습니다.
앞니 중앙선 정렬
치아 길이와 폭의 황금비율
웃을 때 보이는 치아 곡선(Smile line)
환자분이 가장 강조하신 말은 이거였습니다.
자연스럽지만 남들이 알아봐줬음 좋겠어요!!!
원래 예쁘고 하얀 치아였던 것처럼 보이게 디자인했습니다.
치아 끝 라인은 부드럽게
측절치는 살짝 볼륨감 있게


오늘도 뿌듯한 하루였습니다.
그럼 이만 총총총