Seoul Jeseng Dental Korea - English
[앞니치료] 앞니에 씌운 도자기가 깨졌을 때, 새로 만드는 대신 수리해서 쓰는 법 (도자기파절, 레진치료)
안녕하세요. 신촌의 치아지킴희 전준희 원장입니다. 앞니는 심미적으로 중요한 부위이고 안모의 일부를 담당하기 때문에, 큰 충치나 파절이 있을 때 도자기 소재의 라미네이트나 크라운으로 씌워주는 경우가 많습니다. 하방으로 충치가 생기지 않는다면 10년도 훨씬 넘게 쓸 수 있지만,...
아카이브 요약
이 페이지의 역할
Seoul Jeseng Dental Korea - English, French Speaking Dentist | 서울재생치과 - 임플란트 투명교정 신경치료의 네이버 블로그 원문을 보존한 아카이브 페이지입니다. 준원장의 치과이야기 카테고리의 [앞니치료] 앞니에 씌운 도자기가 깨졌을 때, 새로 만드는 대신 수리해서 쓰는 법 (도자기파절, 레진치료) 글을 통해 병원의 한국어 정보 제공 방식과 진료 관련 안내 톤을 확인할 수 있습니다.
![[앞니치료] 앞니에 씌운 도자기가 깨졌을 때, 새로 만드는 대신 수리해서 쓰는 법 (도자기파절, 레진치료) 관련 이미지 1](https://pub-9f2bb3498faf4d1d8714b41df24753e3.r2.dev/content/clinics/archive/nqmm0udu86/naver_blog/honeybeevuvu/assets/by_hash/3c541870461ef7f98bd2230c7ab8073e333d9cddcb3ae1f06e8be483483e2d3b.jpg)
안녕하세요.
신촌의 치아지킴희 전준희 원장입니다.
![[앞니치료] 앞니에 씌운 도자기가 깨졌을 때, 새로 만드는 대신 수리해서 쓰는 법 (도자기파절, 레진치료) 관련 이미지 2](https://pub-9f2bb3498faf4d1d8714b41df24753e3.r2.dev/content/clinics/archive/nqmm0udu86/naver_blog/honeybeevuvu/assets/by_hash/a310402626d992ae73f79ff97756a49099c66da5285269e9a41f35f1307c3c0d.jpg)
앞니는 심미적으로 중요한 부위이고
안모의 일부를 담당하기 때문에,
큰 충치나 파절이 있을 때
도자기 소재의 라미네이트나 크라운으로
씌워주는 경우가 많습니다.
하방으로 충치가 생기지 않는다면
10년도 훨씬 넘게 쓸 수 있지만,
젓가락이나 음식을 잘 못 씹어
도자기가 깨져버리는 안타까운 사고도 일어날 수 있지요.
오늘 소개드리는 환자분께서는
젓가락을 씹어서 도자기 일부가 파절되었다고 하셨습니다.
보철물의 생존과 큰 관련이 없는 위치에 발생한
상대적으로 부피가 적은 파절이었기에,
크라운을 제거하고 새로 만드는 대신
레진으로 도자기를 대체하여 수리하는 법을 제안해드렸습니다.
![[앞니치료] 앞니에 씌운 도자기가 깨졌을 때, 새로 만드는 대신 수리해서 쓰는 법 (도자기파절, 레진치료) 관련 이미지 3](https://pub-9f2bb3498faf4d1d8714b41df24753e3.r2.dev/content/clinics/archive/nqmm0udu86/naver_blog/honeybeevuvu/assets/by_hash/bde8b8e8fc8fc12f03988b06c5aa61c97105ddc7ed7c4f7560f84adbd4135bac.jpg)
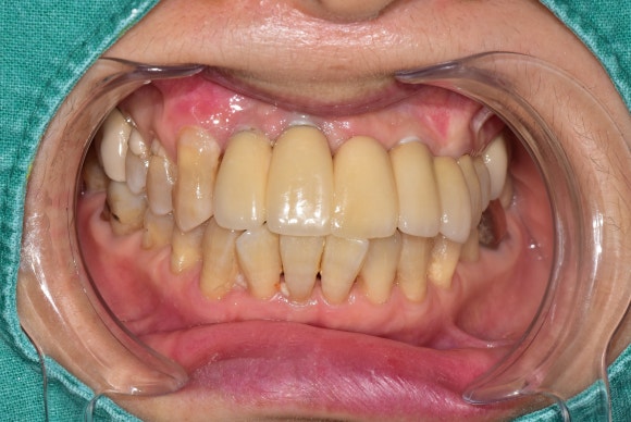
20250318
도자기의 끝부분이 약간 떨어져나간 상태입니다.
크라운 전체의 수명을 위협할 수준이 아니기 때문에,
보철물을 재제작 하는 대신 레진으로 수리해드리겠다고 설명드렸지요.
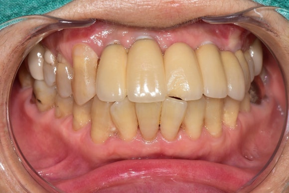
결과는 다음과 같습니다.
![[앞니치료] 앞니에 씌운 도자기가 깨졌을 때, 새로 만드는 대신 수리해서 쓰는 법 (도자기파절, 레진치료) 관련 이미지 4](https://pub-9f2bb3498faf4d1d8714b41df24753e3.r2.dev/content/clinics/archive/nqmm0udu86/naver_blog/honeybeevuvu/assets/by_hash/bfe37db2519c3ea51150f5a64e1e30ad211d79875850d6cb487a9bdbff4502fb.jpg)
20250318
비용과 시간에 대한 우려 때문에
근심스러운 얼굴로 오셨던 환자분께서
거울을 보고 굉장히 만족하시면서 기뻐하셨습니다.
시간은 20분이면 충분합니다.
#치아지킴희전준희원장
#치과보존과전문의
더 보기
이 병원의 공개 콘텐츠를 계속 살펴보세요
출처 아카이브로 돌아가 더 많은 글을 보거나, 병원 프로필로 이동해 다른 공개 채널도 함께 비교해보세요.