Seoul Jeseng Dental Korea - English
부러진 치아를 살려서 쓰는 법 (잇몸성형과 포스트식립)
신촌에서 작은 치과를 운영하고 있는 신촌지아지킴희 전준희 원장입니다. 저는 치과보존과전문의이자 치의학박사입니다. 치과보존과는 자연치아의 병적인 상태를 진단하고 치료하는 과입니다. 충치, 파절, 균열, 마모, 통증, 흔들림 등등, 자연치아에 나타나는 모든 병적인 변화가 치과보존과의 영역에 있다고 해...
아카이브 요약
이 페이지의 역할
Seoul Jeseng Dental Korea - English, French Speaking Dentist | 서울재생치과 - 임플란트 투명교정 신경치료의 네이버 블로그 원문을 보존한 아카이브 페이지입니다. 준원장의 치과이야기 카테고리의 부러진 치아를 살려서 쓰는 법 (잇몸성형과 포스트식립) 글을 통해 병원의 한국어 정보 제공 방식과 진료 관련 안내 톤을 확인할 수 있습니다.


신촌에서 작은 치과를 운영하고 있는
신촌지아지킴희 전준희 원장입니다.
저는 치과보존과전문의이자 치의학박사입니다.
치과보존과는 자연치아의 병적인 상태를 진단하고 치료하는 과입니다.
충치, 파절, 균열, 마모, 통증, 흔들림 등등, 자연치아에 나타나는 모든 병적인 변화가 치과보존과의 영역에 있다고 해도 과언이 아닙니다.

20250304
오늘 다룰 케이스는 어느 60대 남성 환자분의 이야기입니다.
구강건강상태가 동년배의 다른 환자분들에 비해 매우 양호하신 편이십니다.
그 흔한 임플란트도 한 번 해보시지 않으셨습니다.

20250304
그런데 이를 어쩌면 좋지요.
치아 하나가 동강이 나서 오셨습니다.
다행히 충치 때문은 아닌 것 같네요.
이렇게 건치로 오래 살아오신 분들중에
치아가 수십년에 걸친 하중을 견디지 못하고
스스로 파절되어 오시는 분들이 종종 계십니다.
경우에 따라 뽑아야할 때도 있고
운 좋게 살려서 쓸 수 있는 날도 있습니다.

20250304
이 분은 운좋은 편에 속합니다.
이유는 다음과 같습니다.
-
뿌리를 타고 내려가는 충치가 없다
-
뿌리의 길이가 그리 짧지 않다
-
뿌리 주위의 염증이나 골소실이 없다 (흔들림이없다)
-
씹는 힘을 그리 크게 받는 치아가 아니다 (어금니가 아님)
반대의 경우라면 발치로 이어질 가능성이 높겠죠.

20250311
크라운이 접착될 치아 부분이 확보되는 것이 중요합니다.
따라서 잇몸을 조금 성형하여
크라운을 지지할 수 있을만큼의 치아 높이를 확보해줍니다.
치은절제술이라고도 불리는 시술인데
국소마취하에 진행하기 때문에 아프지도 않고
마취가 풀려도 크게 불편하지 않습니다.
가끔 해당 부위가 며칠 욱신거리거나 쓰라리다고 말씀하시는 분들도 계십니다.

20250318
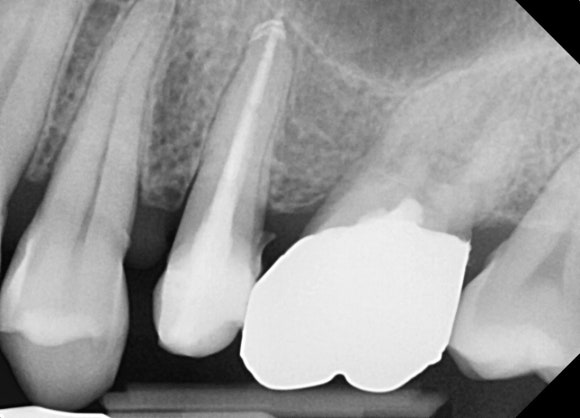
해당 치아를 신경치료하였습니다.
그리고 뿌리에서부터 머리까지 지지해주는
레진파이버 포스트를 뿌리에 식립해줍니다.
고층 건물의 철골 구조라고 보시면 됩니다.
머리에 얹은 크라운이 이탈하는 확률을 줄여줍니다.

20250325
새로이 만들어진 머리에 크라운을 씌워주면 치료는 종료됩니다.
그리 복잡하거나 어려운 치료가 아닙니다.
내원 횟수도 일반적인 신경치료 케이스와 크게 차이나지 않습니다.
결론
-
치아 머리가 부러져 뿌리만 남았더라도 경우에 따라 살려 쓸 수 있습니다.
-
발치와 임플란트를 속단하기 보다는 해당 분야의 치료 경험이 많은 선생님을 찾아보세요. 분명 근처에 있을 겁니다.
-
이렇게 치료된 치아는 다른 치아보다 수명이 짧을 수 있습니다. 충치가 생기지 않게 잘 관리해야겠지요. 단단하고 질긴 음식도 줄이는 것이 좋겠습니다.
더 보기
이 병원의 공개 콘텐츠를 계속 살펴보세요
출처 아카이브로 돌아가 더 많은 글을 보거나, 병원 프로필로 이동해 다른 공개 채널도 함께 비교해보세요.