Seoul Jeseng Dental Korea - English
치과에서 미백치료를 받은 후에 치아에 하얀 반점이 생기고 얼룩덜룩해졌어요.
따뜻해진 날씨에 나들이와 여행을 많이들 계획하고 계신가봅니다. 겨울 대비 미백치료를 위해 내원하시는 환자분들이 많이 늘어난 것을 보니 말입니다. 오늘은 미백치료 후 나타날 수 있는 아주 흔하지만, 처음 보시는 분이라면 깜짝 놀랄 수도 있는 합병증을 소개해드리고자 합니다. 합병증이라고 하니 좀 무섭게 들리지만...
아카이브 요약
이 페이지의 역할
Seoul Jeseng Dental Korea - English, French Speaking Dentist | 서울재생치과 - 임플란트 투명교정 신경치료의 네이버 블로그 원문을 보존한 아카이브 페이지입니다. 준원장의 치과이야기 카테고리의 치과에서 미백치료를 받은 후에 치아에 하얀 반점이 생기고 얼룩덜룩해졌어요. 글을 통해 병원의 한국어 정보 제공 방식과 진료 관련 안내 톤을 확인할 수 있습니다.


따뜻해진 날씨에
나들이와 여행을 많이들 계획하고 계신가봅니다.
겨울 대비 미백치료를 위해 내원하시는
환자분들이 많이 늘어난 것을 보니 말입니다.
오늘은 미백치료 후 나타날 수 있는
아주 흔하지만, 처음 보시는 분이라면 깜짝 놀랄 수도 있는 합병증을 소개해드리고자 합니다.
합병증이라고 하니 좀 무섭게 들리지만,
시간이 지나면 서서히 사라진답니다.
그리고, 해결할 수 있는 방법도 있습니다.
그 이름은 바로,
화이트스팟 (White spot)입니다.
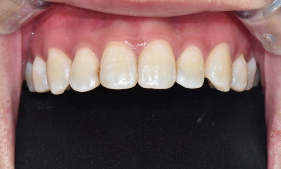
다양한 구강 내 화이트 스팟

20240628

20250327

20250326

20250331
치아 미백 후 white spot(화이트 스팟) 이 생기는 이유는 치아 표면의 탈회(탈석회화) 또는 기존에 있던 화이트 스팟이 미백 과정에서 더 두드러지게 보이기 때문입니다.
가장 먼저 아셔야할 것은,
치아가 단일의 덩어리 (monobody)가 아니라
작은 결정들의 집합체라는 것입니다.
한 치아에서도
결정들이 더 촘촘하게 모인 곳이 있고,
조금 더 듬성듬성한 곳이 있습니다.
화이트스팟은 비단 미백 후에만 발생하는 것이 아닙니다.
유전이나 태생적인 환경으로 인해
일부의 결정조직이 더 느슨한 곳이 있을 수 있고,
산성음식이나 초기 충치로 인해
치아의 석회질이 부분적으로 소실된 곳이 있을 수 있습니다.
이들을 총칭하여 화이트스팟이라고 부릅니다.
그럼 이들이 왜 미백치료 이후에 두드러져 보이는지
아래에서 그 원인과 메커니즘을 자세히 설명해드리겠습니다:
화이트 스팟의 원인
- 기존의 탈회 병소:
-
화이트 스팟은 치아 표면의 에나멜(법랑질)에서 무기질이 손실된 탈회 병소로 인해 발생합니다.
-
미백 전에는 치아 표면의 색조와 유사하여 잘 보이지 않던 화이트 스팟이, 미백 후 주변 치아 색이 밝아지면서 상대적으로 더 두드러져 보일 수 있습니다.
- 미백제의 작용:
-
미백제(전문가용 미백에서는 과산화수소가 사용됩니다. 매우 강력하게 색소 분자를 분해합니다)는 치아 내부의 색소를 분해하지만, 동시에 치아 표면의 수분과 무기질 균형을 일시적으로 변화시킬 수 있습니다.
-
이로 인해 미백 직후 일시적으로 탈수가 발생하면서 치아 표면이 더 불균일해 보이고, 화이트 스팟이 부각될 수 있습니다.
-
- 구조의 불균일성:
-
치아 표면의 미세한 구조적 결함이나 불균일한 광학적 특성이 미백 후 더욱 강조될 수 있습니다.
화이트 스팟, 사라지나요?
-
일시적인 경우:
-
미백 직후 치아 표면의 탈수로 인해 나타난 화이트 스팟은 시간이 지나면서 타액과 접촉하여 치아가 재수화되면 사라질 수 있습니다. 보통 며칠에서 몇 주가 걸립니다.
-
지속적인 경우:
-
기존의 탈회 병소가 원인이라면 화이트 스팟이 지속될 가능성이 높습니다. 이 경우 추가적인 치료가 필요할 수 있습니다.
화이트 스팟은 어떻게 관리하나요?
치료가 필요한가요?
- 자연 회복:
- 미백 후 타액의 재광화 작용으로 일부 화이트 스팟이 자연스럽게 개선될 수 있습니다. 이를 돕기 위해 충분한 수분 섭취와 구강 위생 관리가 중요합니다.
- 재광화치료
-
불소 도포: 치과에서 불소를 도포하여 에나멜의 재광화를 촉진합니다.
-
CPP-ACP(카제인 인산 칼슘): 화이트 스팟의 재광화를 돕는 전문 치약이나 젤을 사용할 수 있습니다.
-
나노 하이드록시아파타이트(Nano-HAp): 치아 표면의 광택과 재광화를 돕는 성분입니다.
- 미세 침습적 치료:
-
아이콘(Icon) 치료: 미세 침습적인 레진 침투법으로, 화이트 스팟 병소를 레진으로 메워 시각적으로 개선합니다.
-
미세 연마: 치아 표면을 미세하게 연마하여 화이트 스팟을 줄일 수 있습니다.
- 추가 미백:
- 치아 색조를 더 균일하게 하기 위해 추가 미백을 고려할 수 있습니다. 하지만 과도한 미백은 치아 손상을 유발할 수 있으므로 신중해야 합니다.
예방은 어떻게?
유전적으로, 태생적으로 생긴 부분적인 탈회가 아닌 경우, 대부분 구강위생관리 미흡, 잘못된 식습관 등으로 탈회가 발생합니다.
-
철저한 구강 위생 관리와 불소 사용이 중요합니다.
-
미백 전 상담: 미백 치료 전에 화이트 스팟의 존재 여부를 치과에서 평가받고, 필요한 경우 미백 전후 재광화 치료를 병행하는 것이 좋습니다.
결론
화이트 스팟은 미백 후 주변 치아 색이 밝아지면서 상대적으로 더 두드러져 보이거나, 미백 과정에서 치아 표면의 일시적인 변화로 나타날 수 있습니다. 대부분의 경우 시간이 지나면서 개선되지만, 지속적인 문제가 될 경우 치과에서 추가적인 치료를 고려해야 합니다.
더 보기
이 병원의 공개 콘텐츠를 계속 살펴보세요
출처 아카이브로 돌아가 더 많은 글을 보거나, 병원 프로필로 이동해 다른 공개 채널도 함께 비교해보세요.