아카이브 요약
이 페이지의 역할
서울재생치과의원 신촌본원의 네이버 블로그 원문을 보존한 아카이브 페이지입니다. 준원장의 치과이야기 카테고리의 얼룩덜룩한 흰반점, white spot을 치료하는 법 (무삭제 충치치료) 글을 통해 병원의 한국어 정보 제공 방식과 진료 관련 안내 톤을 확인할 수 있습니다.
원문 검증
필요하면 원문 블로그와 병원 프로필로 바로 이동해 문맥을 다시 확인할 수 있습니다.
출처 아카이브 열기아카이브된 블로그 글
서울재생치과의원 신촌본원 · 신촌 치아지킴희 전준희
안녕하세요, 신촌치아지킴희 전준희 원장입니다. 20250211 가지런한 치아와 환한 미소가 아름다운 20대 남성 환자분이 오셨습니다. 치아 끝에 두드러지는 흰 색 반점을 없애고 싶다고 하셨습니다. 어떻게 치료하는게 좋을까요? 요즘 유행하는 무삭제 라미네이트? 크라운? 흰 곳만 파내고 비슷한 색깔로...
게시일
2025년 4월 3일
원문 기준으로 확인된 발행일입니다.
카테고리
준원장의 치과이야기
원문 블로그 카테고리를 정리해 함께 표시합니다.
이미지 수
9
현재 아카이브에 연결된 이미지 수입니다.
아카이브 요약
서울재생치과의원 신촌본원의 네이버 블로그 원문을 보존한 아카이브 페이지입니다. 준원장의 치과이야기 카테고리의 얼룩덜룩한 흰반점, white spot을 치료하는 법 (무삭제 충치치료) 글을 통해 병원의 한국어 정보 제공 방식과 진료 관련 안내 톤을 확인할 수 있습니다.
원문 검증
필요하면 원문 블로그와 병원 프로필로 바로 이동해 문맥을 다시 확인할 수 있습니다.
출처 아카이브 열기

안녕하세요,
신촌치아지킴희 전준희 원장입니다.

20250211
가지런한 치아와 환한 미소가 아름다운
20대 남성 환자분이 오셨습니다.
치아 끝에 두드러지는 흰 색 반점을 없애고 싶다고 하셨습니다.
어떻게 치료하는게 좋을까요?
요즘 유행하는 무삭제 라미네이트?
크라운?
흰 곳만 파내고 비슷한 색깔로 채워넣기?
정답은 ICON 레진 침투법입니다.

DMG America
DMG사의 Icon 레진이라면 가능합니다.
치아를 삭제하지 않고
흰 반점 부분에 레진을 침투시켜
색상을 조화롭게 만드는 거죠.
향후 치아미백치료를 하더라도
색깔이 다르게 보이거나 하진 않습니다.
아래 사진들은 DMG 사에서 게시하고 있는
ICON 레진 침투시술의
시술 전 후 사진들입니다.

DMG America

DMG America

DMG America

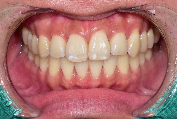
20250211
다시 우리 환자분으로 돌아와서....
1회 시술하는 데 15~20분 밖에 걸리지 않습니다.
치료해야 할 치아가 여러 개더라도
동시에 진행하면 되기 때문에 문제가 되지 않습니다.
흰색 반점의 범위가 너무 넓은 경우
1회 시술로 불충분할 수 있습니다.
필요한 곳은 1회 시술을 더 추가하면 됩니다.

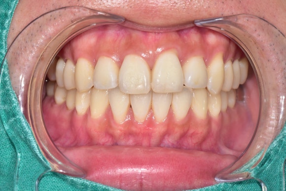
20250226
1회 시술 후 치아 색상이 한결 자연스러워진 것을 확인할 수 있습니다.
치아에 흰 반점이 있다고
무턱대고 치아를 삭제하거나
라미네이트같은 고가의 치료를 요하지 않는다는 것을 알려드리고자 본 포스팅을 기획하게 되었습니다.
이상입니다:)