Seoul Jeseng Dental Korea - English
[재신경치료] 10년전에 한 신경치료가 뭔가 불편해요...
안녕하세요. 신촌의 치아지킴희 전준희 원장입니다. 저는 치과보존과 전문의입니다. 자연치아와 관련된 거의 모든 케이스가 저의 전문분야라고 보시면 됩니다. 그중에서도 가장 많이 하는 것은 충치치료, 신경치료, 그리고 재신경치료입니다. 20240805 오늘 살펴볼 케이스는 20대 남성 환자분의 재신...
아카이브 요약
이 페이지의 역할
Seoul Jeseng Dental Korea - English, French Speaking Dentist | 서울재생치과 - 임플란트 투명교정 신경치료의 네이버 블로그 원문을 보존한 아카이브 페이지입니다. 준원장의 치과이야기 카테고리의 [재신경치료] 10년전에 한 신경치료가 뭔가 불편해요... 글을 통해 병원의 한국어 정보 제공 방식과 진료 관련 안내 톤을 확인할 수 있습니다.
![[재신경치료] 10년전에 한 신경치료가 뭔가 불편해요... 관련 이미지 1](https://pub-9f2bb3498faf4d1d8714b41df24753e3.r2.dev/content/clinics/archive/nqmm0udu86/naver_blog/honeybeevuvu/assets/by_hash/e6d9199f0b1fd8843ad09190067b69ead85dad27ee5433a63654ebaf129390a3.jpg)
![[재신경치료] 10년전에 한 신경치료가 뭔가 불편해요... 관련 이미지 2](https://pub-9f2bb3498faf4d1d8714b41df24753e3.r2.dev/content/clinics/archive/nqmm0udu86/naver_blog/honeybeevuvu/assets/by_hash/240ef874c67960b73323b70f6d10e443f3bb6b464e8d1c4e7d9fa9a3cc95df26.jpg)
안녕하세요.
신촌의 치아지킴희 전준희 원장입니다.
저는 치과보존과 전문의입니다.
자연치아와 관련된 거의 모든 케이스가
저의 전문분야라고 보시면 됩니다.
그중에서도 가장 많이 하는 것은
충치치료, 신경치료, 그리고 재신경치료입니다.
![[재신경치료] 10년전에 한 신경치료가 뭔가 불편해요... 관련 이미지 3](https://pub-9f2bb3498faf4d1d8714b41df24753e3.r2.dev/content/clinics/archive/nqmm0udu86/naver_blog/honeybeevuvu/assets/by_hash/f39b1e7da04a19d755d8226aa249cf8a3e14a43513eb822df9223f8b679f51e8.jpg)
20240805
오늘 살펴볼 케이스는 20대 남성 환자분의 재신경치료입니다.
10년전에 한 치료가 왠지 모르게 불편해서
저에게 오셨습니다.
![[재신경치료] 10년전에 한 신경치료가 뭔가 불편해요... 관련 이미지 4](https://pub-9f2bb3498faf4d1d8714b41df24753e3.r2.dev/content/clinics/archive/nqmm0udu86/naver_blog/honeybeevuvu/assets/by_hash/5bfbaed7353218df78a58374cd6160692b0ba06cb8422ca5918d85496a018e23.jpg)
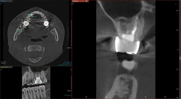
20240805
CT를 찍어보니 오른쪽 위 신경치료한 치아에서
염증이 발생한 것을 알 수 있었습니다.
치아 내부에 원인이 있는 경우,
염증은 대개 뿌리 끝에 동그랗게 잡히게 됩니다.
CT를 면밀히 분석한 결과,
이전에 받은 신경치료에서
놓친 부위가 있다는 것을
확인할 수 있었습니다.
![[재신경치료] 10년전에 한 신경치료가 뭔가 불편해요... 관련 이미지 5](https://pub-9f2bb3498faf4d1d8714b41df24753e3.r2.dev/content/clinics/archive/nqmm0udu86/naver_blog/honeybeevuvu/assets/by_hash/dc26622b37a54454d089b6effd85b509bf573c53ce7670a4cab78f09c3520b6f.jpg)
20240905
놓친 부위를 찾아서 청소해주니
막혀있던 고름이 치아를 통해
분수처럼 솟아나는 것이 보입니다.
이유를 알 수 없었던 치아와 볼 주위의
압박감과 불편감이 사라질 겁니다.
![[재신경치료] 10년전에 한 신경치료가 뭔가 불편해요... 관련 이미지 6](https://pub-9f2bb3498faf4d1d8714b41df24753e3.r2.dev/content/clinics/archive/nqmm0udu86/naver_blog/honeybeevuvu/assets/by_hash/3e4df8fd1c4415968b287fe6670269fe3393786a0b85060f21da73a9690f5b4f.jpg)
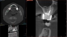
20240926
여러 번의 소독과 청소 끝에
신경치료를 꼼꼼하게 마무리하였습니다.
머리끝부터 말끝까지 물샐틈 없이
밀봉하였습니다.
![[재신경치료] 10년전에 한 신경치료가 뭔가 불편해요... 관련 이미지 7](https://pub-9f2bb3498faf4d1d8714b41df24753e3.r2.dev/content/clinics/archive/nqmm0udu86/naver_blog/honeybeevuvu/assets/by_hash/4d84a29d050fafaa5c324d246bf1663242805b1a306791d9ef2747b0a0798d58.jpg)
20240930
신경치료의 마무리는 튼튼한 크라운입니다.
크라운으로 씹는 면을 확실히 보호해주어야
치아 내부가 다시 감염되거나
파절되는 일을 방지할 수 있습니다.
![[재신경치료] 10년전에 한 신경치료가 뭔가 불편해요... 관련 이미지 8](https://pub-9f2bb3498faf4d1d8714b41df24753e3.r2.dev/content/clinics/archive/nqmm0udu86/naver_blog/honeybeevuvu/assets/by_hash/f0e7d3ada5fcee7102ec28194fd273e0483a119cac0dba0ab114a6815e0e166e.jpg)
20250411
치료가 끝나고 6개월 정도가 경과했을 때,
정기검진을 위해 다시 내원하셨습니다.
뿌리 주위가 깔끔해진 것을 확인할 수 있습니다.
![[재신경치료] 10년전에 한 신경치료가 뭔가 불편해요... 관련 이미지 9](https://pub-9f2bb3498faf4d1d8714b41df24753e3.r2.dev/content/clinics/archive/nqmm0udu86/naver_blog/honeybeevuvu/assets/by_hash/f8b0735f5cee37fe1ebc533d05cf56fc739e761404d9f435d1a633bb5dce120a.jpg)
![[재신경치료] 10년전에 한 신경치료가 뭔가 불편해요... 관련 이미지 10](https://pub-9f2bb3498faf4d1d8714b41df24753e3.r2.dev/content/clinics/archive/nqmm0udu86/naver_blog/honeybeevuvu/assets/by_hash/7472e2dd9154ec33313831ea3048056f905715f6d99352179c605a7bbad92d72.jpg)
치료 전 / 치료 후
평균 수명은 점점 길어지고,
임플란트 또한 평생가지 않습니다.
가능하면 자연치아를 오래오래 쓰는 것이
현명한 선택입니다.
인내심을 가지고 치료에 적극 협조해주신
환자분께 감사인사를 전합니다.
#치과보존과
#재신경치료
더 보기
이 병원의 공개 콘텐츠를 계속 살펴보세요
출처 아카이브로 돌아가 더 많은 글을 보거나, 병원 프로필로 이동해 다른 공개 채널도 함께 비교해보세요.