Seoul Jeseng Dental Korea - English
[앞니재치료] 얼룩덜룩한 오래된 레진, 새 이처럼 환하게 재치료하기
안녕하세요. 신촌치아지킴희 전준희 원장입니다. 깨진치아, 충치치아를 치료하는 것은 치과보존과 전문의의 전문진료분야입니다. 그래서 저희 치과에는 사고로 부러진 앞니, 충치로 파손된 앞니를 치료받으시러 오시는 분들이 많습니다. 오늘 소개해드릴 케이스 또한, 오래 전 충치치료를 받을 재치료하고자 내원하신 분입니다...
아카이브 요약
이 페이지의 역할
Seoul Jeseng Dental Korea - English, French Speaking Dentist | 서울재생치과 - 임플란트 투명교정 신경치료의 네이버 블로그 원문을 보존한 아카이브 페이지입니다. 준원장의 치과이야기 카테고리의 [앞니재치료] 얼룩덜룩한 오래된 레진, 새 이처럼 환하게 재치료하기 글을 통해 병원의 한국어 정보 제공 방식과 진료 관련 안내 톤을 확인할 수 있습니다.
![[앞니재치료] 얼룩덜룩한 오래된 레진, 새 이처럼 환하게 재치료하기 관련 이미지 1](https://pub-9f2bb3498faf4d1d8714b41df24753e3.r2.dev/content/clinics/archive/nqmm0udu86/naver_blog/honeybeevuvu/assets/by_hash/ab207d9f2e5b6fb8e9471be8c8550b6175e75cd6260f54c95d5aa433eaac5f5d.jpg)
![[앞니재치료] 얼룩덜룩한 오래된 레진, 새 이처럼 환하게 재치료하기 관련 이미지 2](https://pub-9f2bb3498faf4d1d8714b41df24753e3.r2.dev/content/clinics/archive/nqmm0udu86/naver_blog/honeybeevuvu/assets/by_hash/a310402626d992ae73f79ff97756a49099c66da5285269e9a41f35f1307c3c0d.jpg)
안녕하세요.
신촌치아지킴희 전준희 원장입니다.
깨진치아, 충치치아를 치료하는 것은
치과보존과 전문의의 전문진료분야입니다.
그래서 저희 치과에는
사고로 부러진 앞니, 충치로 파손된 앞니를
치료받으시러 오시는 분들이 많습니다.
오늘 소개해드릴 케이스 또한,
오래 전 충치치료를 받을 재치료하고자 내원하신 분입니다.
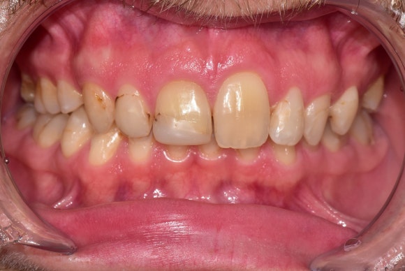
![[앞니재치료] 얼룩덜룩한 오래된 레진, 새 이처럼 환하게 재치료하기 관련 이미지 3](https://pub-9f2bb3498faf4d1d8714b41df24753e3.r2.dev/content/clinics/archive/nqmm0udu86/naver_blog/honeybeevuvu/assets/by_hash/1a455044212adec7ff743e89293c85b1438a2b207e15b4bb8abb571a8d9716d4.jpg)
20250823 (치료전)
30대 남성분이십니다.
앞니에 전반적으로 오래된 레진이 많습니다.
시간이 흐름에 따라 레진과 치아 사이에 틈이 생겨서
노랗고 갈색의 착색이 발생합니다.
웃을 때 마다, 대화를 나눌 때 마다
여간 신경쓰이는 일이 아니겠지요.
![[앞니재치료] 얼룩덜룩한 오래된 레진, 새 이처럼 환하게 재치료하기 관련 이미지 4](https://pub-9f2bb3498faf4d1d8714b41df24753e3.r2.dev/content/clinics/archive/nqmm0udu86/naver_blog/honeybeevuvu/assets/by_hash/dd8d770b185a9e68eeb0b5f96312f8f227f7fbc7cbcd712faec3f80310485d27.jpg)
20250906 (치료 후)
가벼운 국소마취하에
기존 수복물들을 섬세하게 제거합니다.
루뻬라고 불리는 확대경의 도움을 받으면
보다 정교한 제거가 가능하겠지요.
또한 환자분께 어울리는 레진의 색상을
면밀하게 조사하여 각 부위에 어울리는 레진을 쌓아올립니다.
해당 환자분의 한 치아 내에 여러 크로마가 존재하는 케이스로,
다른 분들보다 시간이 오래걸리고 어려웠던 케이스입니다.
하지만 들인 시간과 노력만큼
환자분의 미소도 환하게 빛났기에
뿌듯한 치료 경험이 아닐 수 없습니다.
- 한동안 진료보느라 포스팅이 뜸했습니다.
포스팅할 재미난 케이스들이 쌓여있는데
조금씩 공유해보겠습니다^^
#치과보존과전문의
#신촌치아지킴희전준희원장
#앞니레진재치료
더 보기
이 병원의 공개 콘텐츠를 계속 살펴보세요
출처 아카이브로 돌아가 더 많은 글을 보거나, 병원 프로필로 이동해 다른 공개 채널도 함께 비교해보세요.