안녕하세요!
서울 바르디치과 대표원장 장태현입니다.
엑스레이 치과 올 때마다 찍는거같아요
과잉진료 아닌가요??
많은 환자분들이 방사선 촬영에 대하여
상당히 거부감을 가지고 계시더라고요~
특히 , 여러군데 병원을 다녀오신 분들은
치과를 갈 때마다 엑스레이를 찍는다
그냥은 안되는거냐 많이 물어봐주시는데요.
치과 엑스레이 꼭 찍어야하나요? 암사역 치과에서 답변드립니다.

치과 엑스레이가 방사선이 나오다보니
많이들 걱정이 되시는듯합니다.
방사선 사진 없이는 검진이 안되는것인지
나는 특별히 불편한 것도 없고
암사역 치과에 검진만 받으러 온 것인데도
왜? 엑스레이를 찍으라 하는지
많이들 궁금해하셨을텐데요~
검진은 가능합니다.

240919
육안으로 볼 수 있는 부분이 한계가 있기 때문에
엑스레이를 찍는거랍니다.
치과 내부 구조나 턱 뼈 상태, 뿌리 부분은 확인이 안되까요~
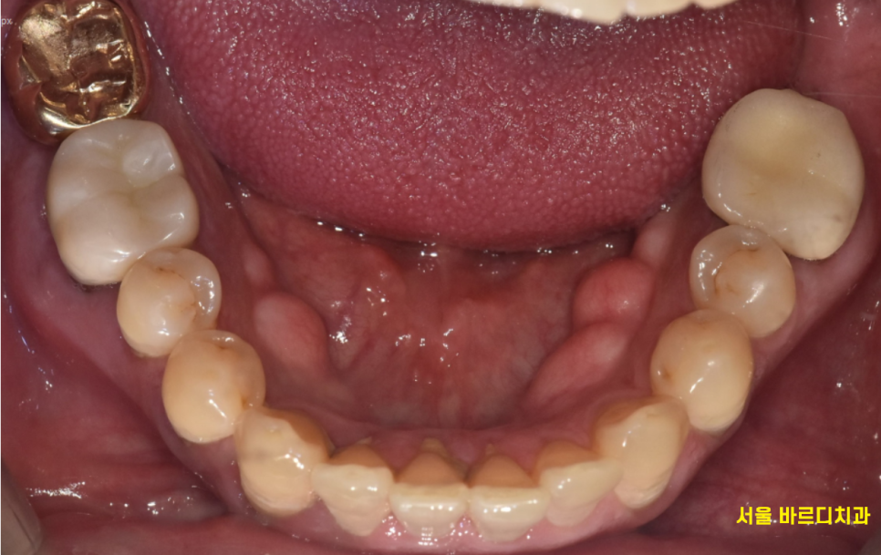
암사역 치과를 방문해주신 한 환자분 사진인데
겉으로는 멀쩡해 보이지 않나요?
피가 나는 부분도 없고
검은 점도 없어보이고 말이죠,,?

240919
겉으로는 멀쩡해보여도
엑스레이를 찍어보면 치아 뿌리 주변 염증이 있는 것을 확인할수가 있네요~

치과 엑스레이 언제 필수인가요?
모든 검진에 있어서 필수지만 그 중에서도..
진단과 치료 계획을 세우는 데 있어 매우 중요합니다!
특히 눈으로 확인이 안되는 "뼈"와 관련된 진료에서요
사랑니 발치나 임플란트 시술이 있겠네요~
턱관절이나 교통사고 같은 외상 시에도 턱뼈 부러짐을 확인해야하니까 필수겠죠?
그 외에도 신경치료

240822
신경의 길이도 재야하고
뿌리 염증이 사라졌는지 확인해야하니까 찍어야하고
사이 충치

230824
눈으로 봐서는 충치 범위 확인이 어렵기 때문에
찍어봐야해요~
충치 범위에 따라서 치료 종류가 달라지니까요
잇몸 치료도 잇몸 뼈 높이를 봐야하니 찍어야하고
교정 진료도 치아 움직임을 봐야하니 필요하고
이렇게 하나 하나 진료를 떠올려보니
치과 엑스레이 필요하지 않는 진료가 없네요~
많이 찍으면 몸에 해로운거 아닌가요?
방사선에 대한 막연한 두려움 알고 있습니다.
눈에 보이지도 않는데
방사선이 몸에 해롭다는 얘기 때문에 꺼려지죠ㅠㅠ
그렇지만 치과에서 사용하는 방사선 양은 극히 적습니다.

치과 엑스레이를 찍는 것보다
비행기를 탔을 때 노출되는 방사선의 양이 더 많거든요~
일상적으로 햇빛, 토양, 음식 등에서도 엑스레이가 분출되는데
자연 방사선과 비교하면
치과 엑스레이는 1년에 3000장 찍어도 안전합니다.

하루 100장씩 일년을 찍어도 안전하다고 해요~
또한 장비들이 디지털화 되면서
기존 필름에 비해서도 훨씬 노출량이 적어졌습니다.
노출은 적은데 화질은 선명해졌죠
또한 촬영 시에는 어쩔 수 없이 맞아야하는 방사선
최소한으로 맞을 수 있게
납 방어복을 준비해두었습니다.
복중 태아가 있는 임산부를 제외하고는
촬영해주세요오오~!!!
결론
단순히 진단을 넘어 올바른 치료를 받기 위해서는 필수적이다!
전문적인 관리 아래서 이루어지는 촬영입니다.
암사역 치과에서는1년에 몇번씩
장비에 이상이 없나 확인하고 있습니다.
무엇이든 과하면 독이되고
소량은 유익할 때가 많습니다.
소량의 방사선은 유익한 점이 더 많으니
전문가의 손길 피하지 말아주세요~
<암사역 치과 위치>
궁금하신 부분든 댓글 달아주세요!!
칼답은 아니더라도
빠르게 답변 드릴께요~!
감사합니다!
| 본 게시물은 의료광고 법 제56조 1항을 준수하여의료 정보 제공 및 병원 홍보 목적으로 서울 바르디 치과에서 직접 작성하였습니다.제공된 정보는 참고만 하실 것을 권유 드리며 증상 파악 및 정확한 관리 방법은 의료기관에 내원 후 의료진을 통해 안내받으시길 바랍니다.치과에서 진행되는 모든 시술 / 수술은 개인에 따라 (염증, 출혈, 부기 등) 가능성이 있습니다.사전에 의료진과 충분한 상담을 통해 결정하시길 바랍니다.게시물의 치료 사례는 실제 본원에서 치료를 마친 환자분들의 동의하에촬영되었으며 전, 후 사진은 동일 조건에서 촬영되었습니다. |
#암사역치과 #치과엑스레이