안녕하세요~
서울바르디치과 대표원장 장태현입니다.
치과 치료 중 환자분들의 의지가 가장 강한 부위는 앞니입니다.
아무래도 사람과 대면하다보면
제일 잘 보이는 부위라
조금만 문제가 생겨도 바로 달려와주시는데요.
오늘 환자분도 치아가 흔들려서 내원을 해주셨습니다.
상일동역 치과 윗니 앞니 흔들림 임플란트로 심미까지 잡았습니다.
어떻게 예쁘게 제작해드렸나
함께 보시죠!!


230826
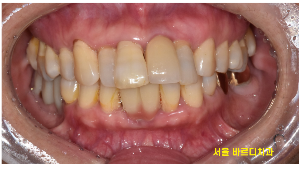
윗니 흔들림으로 방문해주신 환자분입니다.
잇몸이 약하게 태어나서
또 망가졌네요.
표현해주시더라고요.
흔들림의 원인은 크게 2가지입니다.
1)치아가 부러졌거나
2)잇몸에 문제가 있거나
환자분은 잇몸이 약해서 계속해서 하나씩 치료를 하고 계셨다했는데요.
앞니에 임플란트 한 것도 보이고
보철로 씌운것도 있더라고요~
이 글을 보시는 환자분들은 사진만 봐서는
잘 모르시겠지만
전문가의 보철한 부분이 눈으로는 다 보입니다 ㅎㅎ

230826
잇몸 뼈 확인을 위하여 x-ray를 찍어보니
역시나 치아를 붙잡고 있는 잇몸뼈가 없습니다.
이러니 윗니 앞니 흔들림이 발생하죠.

230826
ct 사진을 분석해보니
빨간색 동그라미 부분을 봐주세요.
까만 부분이 보이시죠?
이 부분이 뼈가 녹은 부위인데
한쪽 벽면이 다 녹았습니다.

윗니 앞니 흔들림 증상 외에도
뼈가 치아를 붙잡아주지 못해
치아가 자꾸 내려오고
뻐드러져 보이는 현상 발생
문제 해결을 위해서는 최소 2개 치아는 뽑아야
불편감을 해소해드릴 수 있었습니다.
상일동역 치과에서 발치 후 임플란트를 조심스레 말씀드리니
환자분께서 한가지 요청 사항이 있다고 해주셨습니다.
"앞니 뻐드러져 보이는 부분을 개선 가능할까요?"
요청해주셨습니다.
앞니가 튀어나와보이는 현상은
잇몸 뼈에서 이탈하여 생긴 것으로
임플란트로 개선 가능하다고 말씀드렸죠~
여기서 느꼈습니다.
환자분은 흔들리는 것도 신경쓰이셨겠지만
점점 달라지는 앞니 모습에 치료를 받아야겠다 다짐하셨다는 것을요.
조금이라도 변화된 모습에 환자분들은
낯설어 하신다는 것을 알기에
상일동역 치과 내원해주시는 환자분들
보철 제작 할 때 좀 더 신경써드려야겠다
다짐을 하면서...

231107
오늘 치료의 핵심은 자연스럽게 회복하자! 였습니다.
뽑고 임플란트를 해야하는 치아 사이로
이미 예전에 해둔 임플란트 치아가 있었습니다.
가운데 낀 형태죠.
새로 하는 임플란트 보철과
기존 보철을 자연스럽게 연결해주어야합니다.
나중에 만든 티가 나지 않도록
이건 보철 할 때 신경 쓰도록 하고

231107
우선 윗니 앞니 흔들림으로 내원하신게
잇몸 뼈가 없었기 때문에
임플란트 시술 시 잇몸 뼈를 두둑하게 채워넣었습니다.
앞니의 경우 잇몸 볼륨이 빵빵해야
나중에 보철을 해도 예쁘거든요~
잇몸 뼈가 푹 꺼져 보이면 나이가 들어 보일 수 있고
보기 싫어집니다.

231107
수술 직후 사진입니다.
기존 임플란트 양 옆으로
임플란트를 식립
기존 임플란트가 없었더라면
2개만 심고 3개의 머리를 만드는 형태도 가능했겠지만
이미 치료가 되어있는 상태라
최대한 활용을 해주어야죠.
기존 임플란트에 손상을 주지 않는 선에서
치료를 계속 진행했습니다.

231107
이런 난이도 높은 시술에서는
상일동역 치과가 보유한 장비를 활용하는데
네비게이션 임플란트 수술 기법을 적극 활용 합니다.
https://blog.naver.com/implant_master/223264409341
식립 각도, 사이즈
예상 보철 모양
치료 전후를 한눈에 볼 수 있기 때문에
너무 좋습니다.

231120
일반적으로 실밥은 임플란트 수술 후 일주일 정도 지나면
제거해드립니다.
앞니의 경우 잇몸이 얇기도 하고
워낙 뼈 이식을 두툼하게 해두어
오늘 환자분은 2주 정도 기다렸습니다.
임플란트가 충분히 뼈와 유착 되었을 때
보철을 제작해드려야했는데요.
여기서 다시 언급되는 자연스럽게 연결하기


240307
보철 제작을 위해
직접 만들어 주시는 소장님과 많은 회의를 했습니다.
치아 크기 배분 문제부터
색깔
잇몸 라인은 어떻게 할껀지..
보철물 두께부터
앞니는 심미적인 부위기 때문에
신경쓸께 많거든요~
환자분께서 뻐드러진 치아를 개선 원하셨고
저 역시 예쁘게 해드리고 싶었기 때문에
제작 -> 환자분과 상담 -> 재제작 -> 환자분 확인
2번씩 수정하면서
제작 완료하였습니다.

240619
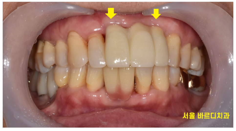
완성된 모습입니다.
환자분께서도 가지런하게 재배열된 앞니를 보시면서
거울을 계속 보셨답니다.
상일동역 치과에서는 보철 재제작을 두려워하지 않습니다.
치료를 빨리 끝내는 것이 목표가 아니라
환자분이 만족해 하시는게 저희의 사명입니다.
미세한 차이로 확! 달라지는 것을 알기에
환자분들의 요구사항
적극 받아들이겠습니다.
| 앞니 상담하러가기 |
|---|
| 02-481-4278 |
지금 고민이 있으시다면
병원으로 연락 주시길 바랍니다.
감사합니다!
| 본 게시물은 의료광고 법 제56조 1항을 준수하여의료 정보 제공 및 병원 홍보 목적으로 서울 바르디 치과에서 직접 작성하였습니다.제공된 정보는 참고만 하실 것을 권유 드리며 증상 파악 및 정확한 관리 방법은 의료기관에 내원 후 의료진을 통해 안내받으시길 바랍니다.치과에서 진행되는 모든 시술 / 수술은 개인에 따라 (염증, 출혈, 부기 등) 가능성이 있습니다.사전에 의료진과 충분한 상담을 통해 결정하시길 바랍니다.게시물의 치료 사례는 실제 본원에서 치료를 마친 환자분들의 동의하에촬영되었으며 전, 후 사진은 동일 조건에서 촬영되었습니다. |
#상일동역치과 #윗니앞니흔들림