안녕하세요~
서울바르디치과 장태현 원장입니다.
잇몸 질환의 가장 큰 무서움은 예고가 없다는 겁니다.
서서히 조금씩 잇몸을 무너트리다가
증상을 느끼고 방문하셨을 때에는 이미 심각한 경우가 많은데요.
고덕동 치과 잇몸 주저앉음 느낌이 들었다면 늦었을 수도 있습니다.
환자분이 자각하셨을 때에는 일이 발생한거죠~
오늘의 환자분 같이 보시죠!!

잇몸이 무너진거 같고
치아가 쏟아 내려오는 느낌이에요
예전부터 잇몸이 계속 붓긴 했었어요.
잇몸이 안좋으면 시리다, 붓는다 이런 표현도 많이 하시지만
잇몸 주저앉음, 무너짐 이런 표현들도 많이하십니다.
맞는 표현입니다~
잇몸 뼈를 건물 내부 구조에 많이 비유를 하는데
망가지면 한순간에 와르르 무너지니까
충분히 그렇게 느끼실 수 있습니다.


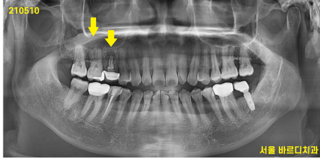
210510~230320
환자분이 예전부터 잇몸이 한번씩 붓는다고 표현해주셨는데요.
21년도 고덕동 치과를 방문하셨을 때 찍은
x-ray에서도 안좋은 부분은 관찰되었습니다.
그때부터 안좋은 시그널을 계속 보냈었는데..
기록을 보니 한번의 스케일링 이후 치과 내원 기록이 없더군요ㅠㅠ
그래서 잇몸 주저앉음 증상을 느끼고 방문하셨을 때에는
손쓸 수 없을 정도로 망가져 내원하셨습니다.
환자분들은 아프고 심각해야 오시기에
너무 속상합니다.

230320
구강 내에도 왕 뾰루지가 잡혔네요.
고름이 철철 흘러 나오는 상황

230320
ct 사진을 찍어보았는데요.
주변 치아와 다르게
뼈가 쏙 들어간게 보이실겁니다.
잇몸 뼈를 다 갉아 먹었네요ㅠ
뭐가 있어야 임플란트를 심는데
도저히 심을 수 있는 뼈가 안보입니다.
1차적으로 뼈이식으로 기반을 다져놓고
고덕동 치과에서 임플란트 수술을 하기로 하였습니다.

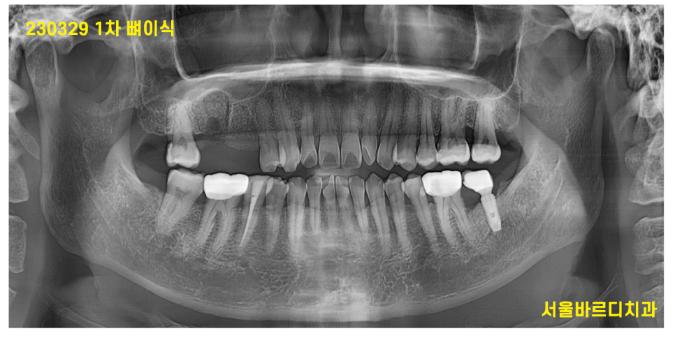
230329
우선 이를 뽑고 염증 덩어리들을 제거
깨끗해진 환경에 뼈 이식을 진행하였습니다.
이때만 해도 이 뺀 곳에 뼈가 녹은 흔적들이 그대로 보이네요~~

230529
약 2달 뒤 뼈가 잘 찼는지
확인하러 고덕동 치과를 방문해주셨는데요.
점점 잘 차오르고 아무는게 보입니다.
잇몸 뼈가 만들어 지는데 왜이렇게 오래걸리나요~?
질문을 해주시는데요.
건설 용어로 공그리 치는거랑 똑같습니다.
시멘트가 굳어야 하잖아요~
잇몸뼈도 단단해져야 임플란트 식립이 가능합니다.

230529
ct에서도 뼈이식한 흔적들이 잘 보입니다.
그렇지만 아직은 부족하여
2달을 더 기다립니다.
잇몸 주저앉음 증상을 느끼면
심각한겁니다~
잇몸 뼈가 무너지는것은 한순간이지만
회복은 정~말 오래 걸려요.

230714
두달 뒤 고덕동 치과 재방문
이때도 수술하지 못했습니다.
2달을 또 기다렸습니다.
뼈이식만 해놓고 6개월을 기다린거죠~
아직 임플란트는 심지도 못했는데ㅠㅠ

230915
드디어 심었습니다.
길고 긴 시간을 지나
6개월을 기다려
잇몸 뼈가 너무 없으면
수술하기까지
환자분들이 지치세요ㅠㅠ
너무 오래 걸리니까요

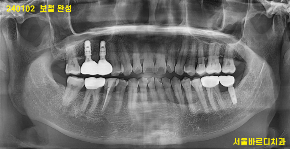
240102
9월달에 심고 이번에는 임플란트가
만들어놓은 뼈와 잘 붙어야합니다.
3개월을 추가적으로 기다렸습니다.
문제를 느끼고 치료한지 9개월이 지나
치아를 수복했네요.

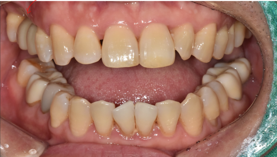
240102
빨간색 화살표가 임플란트 보철입니다.
너무나 자연스럽죠~?
환자분들께서는 임플란트 해 넣은 치아인지
전혀 모르실꺼같아
표시 한번 해보았습니다.
9개월이라는 대장정이었습니다.
그나마 아래 뼈는 탄탄해서
뼈 손상이 심하게 되는 편은 없지만
윗니는 말이 달라집니다.
원체 뼈가 약하기도 하고 얇고
상악동과 가까이 있어서
한번 문제가 생기면 회복이 오래걸립니다.
| 정기검진 받으러 전화하고 오세요!! |
|---|
| 02-481-4278 |
이렇게까지 고생하지 마시고
잇몸에 염증이 자꾸 생긴다
문제가 없다 싶어도
최소 6개월에 한번씩은 치과 방문 바랍니다.
감사합니다!
| 본 게시물은 의료광고 법 제56조 1항을 준수하여의료 정보 제공 및 병원 홍보 목적으로 서울 바르디 치과에서 직접 작성하였습니다.제공된 정보는 참고만 하실 것을 권유 드리며 증상 파악 및 정확한 관리 방법은 의료기관에 내원 후 의료진을 통해 안내받으시길 바랍니다.치과에서 진행되는 모든 시술 / 수술은 개인에 따라 (염증, 출혈, 부기 등) 가능성이 있습니다.사전에 의료진과 충분한 상담을 통해 결정하시길 바랍니다.게시물의 치료 사례는 실제 본원에서 치료를 마친 환자분들의 동의하에촬영되었으며 전, 후 사진은 동일 조건에서 촬영되었습니다. |
#고덕동치과 #잇몸주저앉음