안녕하세요~
서울바르디치과 이주리원장입니다.
교정치료가 다 끝나고 유지장치를 설명드리면
이거 꼭 해야하나요~? 질문을 많이 받습니다.
네!!! 필수입니다.
고덕동 치아교정 유지장치는 부정교합 재발을 막기위한 필수입니다!
선택권이 아니에요ㅠㅠ
오늘은 인체의 신비
치아는 왜 다시 돌아가는 현상이 있는가? 에 대한 이야기입니다.

블로그 유입을 살펴보는데
환자분이 화가나신게 여기까지 느껴지네요~ ㅠㅠ
왜 자꾸 떨어져서 환자분을 힘들게 하는지...
https://blog.naver.com/implant_master/223706424644
예전에도 글로 작성해드렸지만
치아 재발 방지를 위해 유지장치는 선택이 아닌 필수입니다!

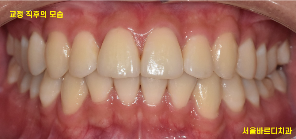
241227
고덕동 치아교정을 마친 후,
가지런해진 치아를 거울로 볼 때
환자분들이 가장 많이 묻는 질문 중 하나는 바로 이것입니다.
“이제 교정이 끝났으니 더 이상 걱정 안 해도 되죠?”
아니요ㅠ
교정은 끝난 시점부터가 중요합니다!!
정말 슬프게도.. 치아는 여전히 움직이려는 성질,
즉 재발하려는 성향을 가지고 있기 때문입니다!!
그래서 치과의사로 제일 슬픈게
예쁘게 치아 교정 마무리 해드렸더니
오랜만에 오셔서 치아가 벌어졌거나...
틀어졌거나...
이런 경우가 제일 슬퍼요ㅠㅠ

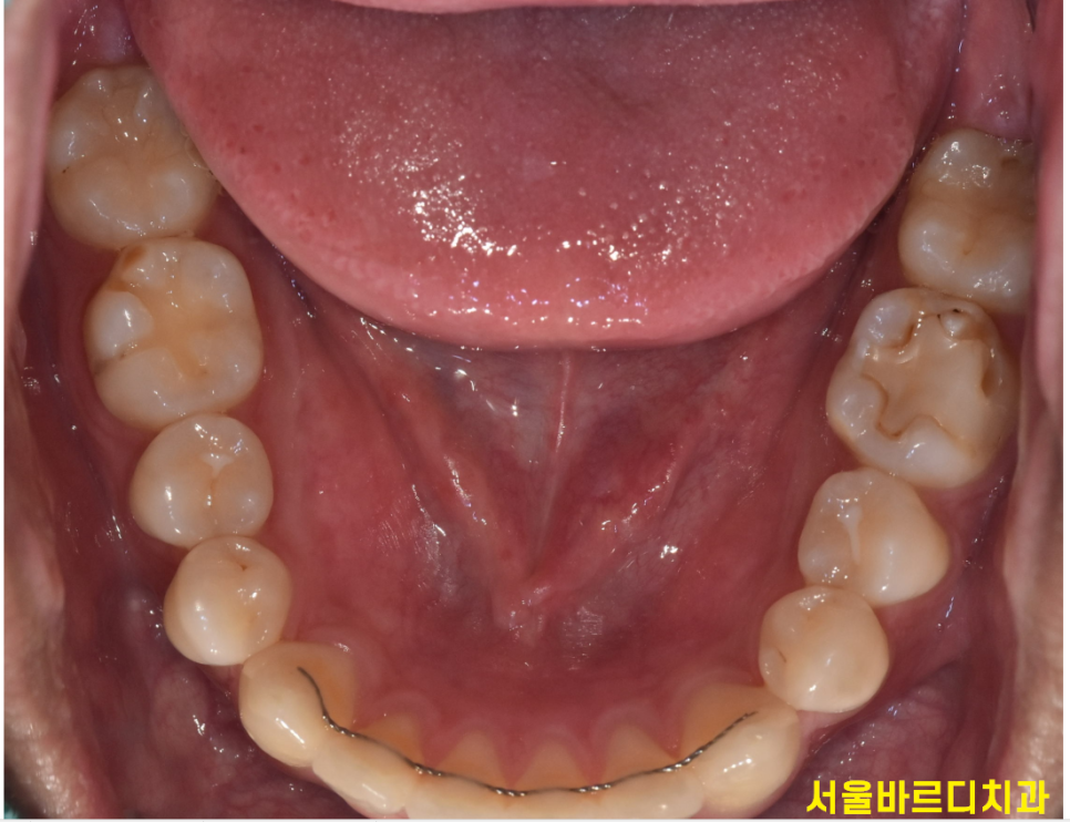
윗니도 아랫니도 철사를 붙여주어야해요!!

241227
치아가 교정된 상태를 안정적으로 유지하지 못하면,
치료 전 상태로 돌아가거나 미세한 변형이 생길 수 있습니다.
그래서 유지장치를 끼고 붙여주고 2개나 사용하는 것이고
안쪽에 붙여둔 철사가 떨어져도 또 붙이고 붙여야하는 이유랍니다!!
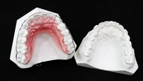
왜 유지장치가 필수일까요?
교정 후 치아는 움직였던 자리에서 안정되기까지 시간이 필요합니다.
처음 유지장치를 제작해드리고 1년동안은 되도록..
24시간동안 끼고 있으셔야한다 설명드리는데요
(어렵다는거.. 잘 알고있습니다...)
사실상 밥먹는 시간 빼고는 끼셔야한다는 말씀입니다.

붙이는거 말고도 꼈다 뺐다하는 유지장치도 필수!!
교정 중 치아를 둘러싼 뼈와 잇몸 조직은 새로운 위치에 적응하게 되는데,
이 과정은 한순간에 이루어지지 않습니다.
시간이 지나면서 치아를 둘러싼 조직이 안정화되지만,
그 전까지는 치아가 원래 자리로 돌아가려는 힘이 작용합니다.
특히, 교정 후 처음 몇 개월은 재발 가능성이 가장 높은 시기로,
유지장치 착용은 선택이 아닌 필수입니다.
몇일만 유지장치를 안껴도
오랜만에 끼려고 하면 그새 움직여
잘 안들어가지고 굉장히 빡빡한 것이
치아가 움직여서 그래요~


유지장치는 이런 치아의 이동을 억제하고
안정된 위치를 유지할 수 있도록 도와줍니다.
철사로 사실상 치아가 움직이지 못하게 묶어두는거죠~
꽁꽁~
처음에는 누구나 열심히 유지장치를 끼시는데요
교정이 끝나고 1년,, 2년,,이 지나면
관리를 소홀히 하시더라고요~
한번 안끼기 시작하면 그때부터는 정말 안끼시더라고요ㅠㅠ
돈과 시간을 투자해 얻은 가지런한 치열이
서서히 예전 모습으로 되돌아가는데
부정교합이 심할수록
더 빠르게 재발한답니다!!
최악의 경우 2차교정
다시 교정을 시작해야하는 불상사가 발생할 수 있어요.

유지장치 착용, 꾸준함이 답입니다!!
꾸준함은 정말 치아 교정에서도
생활습관에서도 정답입니다!!
지금의 아름다운 미소를 오래도록 간직하고 싶다면,
의사 지시에 따라 유지장치를 꾸준히 착용해 주세요! 😊
대표원장 이주리였습니다!!!
| 본 게시물은 의료광고 법 제56조 1항을 준수하여의료 정보 제공 및 병원 홍보 목적으로 서울 바르디 치과에서 직접 작성하였습니다.제공된 정보는 참고만 하실 것을 권유 드리며 증상 파악 및 정확한 관리 방법은 의료기관에 내원 후 의료진을 통해 안내받으시길 바랍니다.치과에서 진행되는 모든 시술 / 수술은 개인에 따라 (염증, 출혈, 부기 등) 가능성이 있습니다.사전에 의료진과 충분한 상담을 통해 결정하시길 바랍니다.게시물의 치료 사례는 실제 본원에서 치료를 마친 환자분들의 동의하에촬영되었으며 전, 후 사진은 동일 조건에서 촬영되었습니다. |
#고덕동치아교정 #치아교정재발 #부정교합재발