안녕하세요~
서울바르디치과 이주리 대표원장입니다.
요즘은 일반적인 교정 대신
투명교정으로 진행을 원하시는 분들이 많습니다.
그런데 투명교정에 대한 환상을
많이 가지고 계시더라고요~~
기대가 크면 실망도 큰법
잘못된 정보나 오해로 기대와 현실의 벽 사이에서
고민을 종종 하시더라고요
오늘은 그래서 오해를 제대로!
해명해보는 시간을 가져보겠습니다.
결국 투명교정도 치아를 움직이기에
일반적인 교정과 똑같다는 것을 알려드리려고 합니다.
인비절라인 투명교정 오해 편하긴 하지만 치아를 움직이기에
5가지 관점으로 정리해보았어요!!!

- 인비절라인 투명교정은 모든 치아 문제를 해결할 수 있다?
투명교정 장치 종류 인비절라인과 시스루테크 어.. : 네이버블로그
예전에 투명교정 장치 2개를 비교하는 글을
작성했었습니다.
이때 역사와 전통이 긴 인비절라인이
어렵고 복잡한 케이스도 취급할 수 있다.
언급을 드린적이 있어요~
그렇지만... 한계는 역시나 존재한다는 것..!
모든 경우에 효과적인 것은 아닙니다.
경미한 치열 문제나 치아 간 간격 조정,
미세한 돌출입 등에는 매우 적합하지만,
양악수술을 해야할 정도의 심한 부정교합이라던가...
복잡한 교합 문제를 가지고 있을 경우에는
수술적인 치료와 함께 동반되야할 수도 있고요.
기존의 교정 방식이 더 적합할 수도 있습니다.
또한 치아교정은 치아를 움직이는 것이기에
턱 뼈의 위치를 이동시켜야하는 경우에는 한계가 있어요.
주걱턱이나 무턱이 심할 경우에요!!

블로그 글을 통해 교정 상담을 많이 해주시는데
투명교정으로 적합한지는 정밀 진단이 필요합니다..
치아를 이동한다는 것은
교합도 신경써야하고 배열도 맞춰야하고
굉장히 복잡한 과정이고
똑같은 돌출입이라도 증상의 정도가 달라서
진단은 필수랍니다!!!

230427
- 투명교정은 전혀 아프지 않다?
워낙 기존의 교정 방식은 경험해보신 분들이 많다보니
철사를 쪼이면 아프다.
입 안 상처가 난다. 이런 내용을 많이들 알고 계십니다.
인비절라인 투명교정은 역사가 짧다보니
시각적으로도 철사 같은 것이 없고 플라스틱으로 이루어져있어서
하나도 안아플꺼라 오해들을 많이 해주세요~
물론 금속 브라켓으로 인한 상처는 없을 수는 있지만
투명 교정 역시 치아 뿌리를 움직이기 때문에
불편함과 통증은 있을 수 있습니다.
사람마다 느껴지는 통증은 다를 수 있고
주로 장치를 교체할 때 발생해요~
치아에 가해지는 압력이 있다보니...
아프다는 것은 치아가 움직인다는 좋은 신호인데요!
사람은 적응의 동물이라
대부분 몇 일 내에 적응이 된답니다.
통증이 무서워 교정을 하지 않을래!!
이런 걱정은 안하셔도 될 것 같아요.
- 투명교정은 완전히 보이지 않는다?
투명교정은 육안으로 봤을 때 매우 자연스러운 편입니다.
하지만 완전히 눈에 띄지 않는 것은 아닙니다.
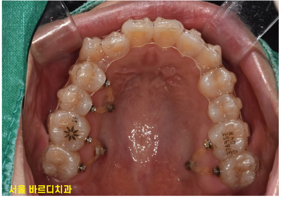
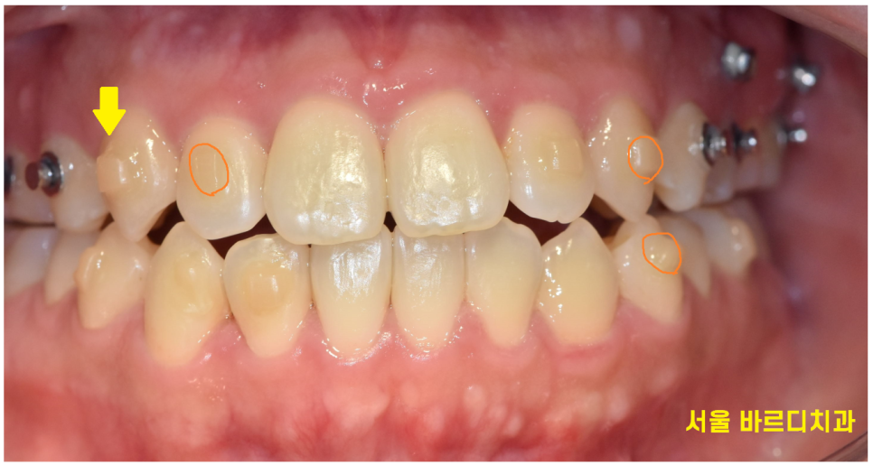
교정 효과를 극대화하기 위해 미니스크류를 심기도 하고
치아에 어태치먼트를 붙이기도 하거든요~~
여기서 치아교정 상식

241018
"어태치먼트란???"
사진을 보면 치아의 겉면에 무언가 붙어있죠~?
치아 이동을 효과적으로 돕기위해 설치한다 보시면 됩니다.
아무리 치아 색상에 맞춰 붙여드려도,,
돌출감이 있기 때문에 티가 납니다.
교정하는 티가 하나도 안나려면 설측교정으로 진행하셔야한답니다...
- 투명교정은 한 번 제작하면 끝이다?
투명교정의 또 다른 오해는 한 번 장치를 제작하면
교정이 끝날 때까지 계속 쓴다고 생각하세요.
2주마다 장치를 바꿔야한다고 말씀드리면
많이들 놀라시더라고요!!
보통 일반적인 교정이 치아에 브라켓을 부착하고
교정이 끝나야 제거해서 이런 오해들을 하시는거 같은데요~
치아는 개인마다 다른 속도로 움직이고
계획했던 치아 이동 경로와 다를 수 있어요!
장치를 오래 안끼시거나...
기타 등등의 이유로요.
그렇기 때문에 중간 중간 병원에 방문하셔서
치아 움직임이 제대로 잘 이루어지고 있는지 확인이 필요합니다.
계획도 수정할 수 있고
추가 장치 제작을 진행할 수 있어요!!

- 투명교정은 잘때만 착용한다?
투명교정은 착용 시간이 치료 결과에 직접적으로 영향을 미칩니다.
많은 환자분들이 투명교정은 "필요할 때만 착용해도 된다"고 오해하지만,
실제로는 하루 20~22시간 이상 착용해야 효과를 볼 수 있습니다.
https://blog.naver.com/implant_master/223703595418
예전에도 오랫동안 착용할 자신이 없으시면
붙이는 기존 교정 방식이 적합할꺼다 설명 드렸었는데요.
식사할 때, 양치할 때 뺴놓고는 계속...
착용하셔야한답니다.
투명교정은 그 편리함과 심미성 덕분에 매력적인 선택이 될 수 있지만,
위에서 언급한 오해
인비절라인 투명교정의 한계를 알아두셔야
만족도가 높아질 수 있다 생각합니다.
교정의 한계를 개선한 교정방식이지만
원리와 근본은 같다는 것!!
기억해주세요~~~
| 본 게시물은 의료광고 법 제56조 1항을 준수하여의료 정보 제공 및 병원 홍보 목적으로 서울 바르디 치과에서 직접 작성하였습니다.제공된 정보는 참고만 하실 것을 권유 드리며 증상 파악 및 정확한 관리 방법은 의료기관에 내원 후 의료진을 통해 안내받으시길 바랍니다.치과에서 진행되는 모든 시술 / 수술은 개인에 따라 (염증, 출혈, 부기 등) 가능성이 있습니다.사전에 의료진과 충분한 상담을 통해 결정하시길 바랍니다.게시물의 치료 사례는 실제 본원에서 치료를 마친 환자분들의 동의하에촬영되었으며 전, 후 사진은 동일 조건에서 촬영되었습니다. |
#인비절라인투명교정