안녕하세요!
디지털 임플란트를 시행하는
서울바르디치과 대표원장 장태현입니다.
저희 병원은 한 두개 치료가 아닌
다발성으로 진료가 필요한 환자분들이 많이 오십니다.
감사하게도 입소문이 나서 많이들 와주시는데...
그러다보니 여기 저기 다 치료를 해야하다보면
양쪽을 동시에 치료해야할 때가 많습니다.
고덕동 치과 양쪽 어금니 임플란트 동시 진행
안산에서부터 치료받으러 와주신 환자분을
소개해드릴께요~~

정말로 뼈이식이 필요한건지 궁금해서 들러봤어요
환자분의 거주지는 안산
가족분 집에 오셨다가
서울은 뭔가 다르지 않을까 싶어
오신김에 고덕동 치과를 방문해주셨습니다.
뼈이식이 필요하다는 것은
임플란트가 필요하다는건데...
환자분이 임플란트 꼭 해야하나요?
이것이 아닌 뼈 이식 질문을 하셨다는 것은
치아가 문제가 있고 해결을 해야한다는 것을 인지하고 계신 상태라는 것을
추측해볼 수 있었는데요.

230902
x-ray를 찍어보니
치료를 결심하신 이유가 있네요.
잇몸이 내려가다보니 흔들림을 느끼셨을꺼고
충치가 심해 통증 발생
이미 뽑혀진 치아도 있네요~
양쪽 어금니 모두 브릿지 상태였는데
치료 하신지 얼마나 되셨나요~? 여쭤봤더니
언제 했는지 기억도 안나신다 하셨습니다.
윗니 양쪽 치아는 모두 발치가 필요한 상태
환자분이 궁금하신 부분은
"뼈이식"이 필요한지 여부였기 때문에
ct를 찍어 분석
답변을 드렸습니다.

230902
환자분들이 육안으로 확인이 가능한 부분이면
치료 동의율이 올라가는데...
뼈이식 같은 경우는
보이지 않는 잇몸뼈 부분을 설명해야하다보니
임플란트는 해야는걸 알겠어
근데 뼈이식은 과잉진료 아닌가? 생각하실 수 있습니다.
구강 내부 상태를 볼 수 있는 ct를 보여드리면서
최대한 자세히 설명드렸죠.
말이 길어질꺼같아 뼈이식 꼭 해야하는가?에 대하여
다음편에 해보겠습니다.
무조건 뼈이식을 해야한다! 가 아닌
안했을 경우 수술이 왜 어려운지를 납득 시켜드리니
거리가 멀어도 고덕동 치과에서
양쪽 어금니 임플란트 수술 진행을 결정해주셨습니다.
너무 감사하죠...
경기도에서 서울까지 왔다갔다 하시면서
치료 받으시니 ㅠㅠㅠ

231021
우선 문제가 되는 양쪽 브릿지 발치를 진행
잇몸뼈가 없다보니 발치와 동시에 뼈이식을 진행하였습니다.
발치 당일에 임플란트를 심을 수 없어
뼈이식부터 해놓고
치유를 기다린거죠~
https://blog.naver.com/implant_master/223718362498
비슷한 케이스분의 환자분 블로그 글 올려드릴께요!!
그리고 지속 체크를 하였고 약 2달 뒤
네비게이션 임플란트 방식을 통해
수술을 진행하기로 하였습니다.
양쪽 어금니 임플란트 동시에 하기로 하였거든요.
한쪽씩 나눠 수술하는 방식도 있지만
그렇게 되면 치료 기간 자체가 길어집니다.
윗니 어금니는 완성되기까지 4~6개월 걸리다보니...


231023
네비게이션은 미리 수술을 예측해볼 수 있고
정확도와 안전성이 높아
이렇게 수술 개수가 많고
난이도가 많은 경우 추천 드리고 있답니다~

231031
수술 후 임상적인 결과 역시 좋을 수 밖에 없습니다.
날 잡고 양쪽 어금니 임플란트 동시에
아래 상실된 부분까지 식립하여
총 7개의 임플란트를 하루에 심었습니다.
잇몸뼈가 많이 없어서
1)발치 당일 뼈이식 한번
- 수술 당일 뼈이식 한번
총 2번의 뼈이식을 진행
수술 후 6개월 뒤에 보철을 올렸습니다.
기다리시는 동안 치아가 없어서
많이힘드셨을텐데
네비게이션 임플란트의 장점
수술을 하기도 전에 예측이 가능하다는 것~

231023
치료가 끝나고 이렇게 보철이 들어갈 것이다.
곧 식사하게 해드리겠다.
환자분께 위로, 격려를 진행
고덕동 치과에서 마무리까지 순탄하게 진행할 수 있었습니다.

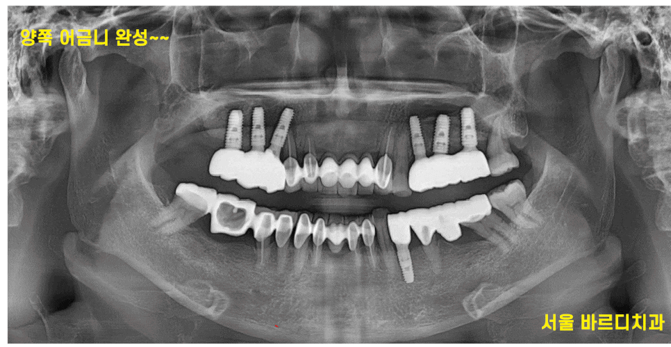
240809
임플란트 완성 사진입니다.
뼈이식을 하게 되면 치유기간이 길어지기 때문에
되도록 피하고 있습니다.
네비게이션 예측 , ct 분석 등을 통하여
정말로 어쩔 수 없는 경우에만 진행을 하고 있으니
서울바르디치과의 진단을 들어보고 싶으신분들은
언제든지 환영하겠습니다.
단,, 예약만 꼭...! 부탁드리겠습니다ㅠ
감사합니다!
| 본 게시물은 의료광고 법 제56조 1항을 준수하여의료 정보 제공 및 병원 홍보 목적으로 서울 바르디 치과에서 직접 작성하였습니다.제공된 정보는 참고만 하실 것을 권유 드리며 증상 파악 및 정확한 관리 방법은 의료기관에 내원 후 의료진을 통해 안내받으시길 바랍니다.치과에서 진행되는 모든 시술 / 수술은 개인에 따라 (염증, 출혈, 부기 등) 가능성이 있습니다.사전에 의료진과 충분한 상담을 통해 결정하시길 바랍니다.게시물의 치료 사례는 실제 본원에서 치료를 마친 환자분들의 동의하에촬영되었으며 전, 후 사진은 동일 조건에서 촬영되었습니다. |
#고덕동치과 #고덕동임플란트 #양쪽어금니임플란트