안녕하세요~
서울 바르디치과 대표원장 이주리입니다.
요즘 라미네이트 치료와 관련하여
환자분들의 관심이 뜨겁습니다!
아무래도 심미적으로 잘 보이는 앞니와 관련하여
스트레스를 받고 계신 분들이 많은데
치아 삭제를 안해도 된다는 소문까지 있으니
오.. 나도 한번 해볼까?
생각들을 많이 가지시더라고요~
상일동역 라미네이트 치아 무삭제 정말 가능한가요?
전문가의 입장에서 속시원하게 답변 드릴께요!

무삭제 라미네이트????

일반적인 보철 치료는 치아를 깎아서 제작을 해야합니다.
기존 치아 사이즈라는게 있는데
무언가를 덧붙이면 크기가 더 커지니까요~
특정 치아 크기가 크면 비정상적으로 보이고
눈에 더 튀어 보일겁니다~
무삭제 라미네이트는 치아를 깎지 않고도 예쁜 앞니를 가질 수 있습니다.
분명 매력적이지만,
과연 이 시술이 모든 환자에게 적합할까요?
아쉽게도 무삭제 라미네이트는 모든 상황에서 적용할 수 없습니다.
앞에서 힌트를 드렸다 싶이
특정 케이스에는 적용할 수 있겠네요~

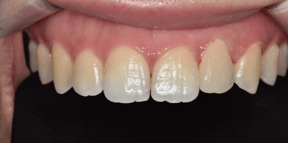
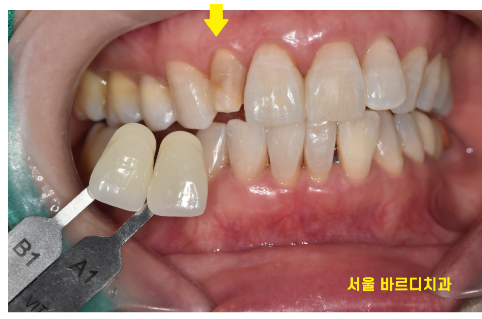
241123 무삭제라미네이트 적용이 가능한 왜소치!!
원래 치아 크기가 작았다거나
앞니 벌어짐이 있었다거나
이럴 경우는 치아를 거의 깎지 않거나
전혀 깎지 않고도 심미성을 개선해줄 수 있어요~
모든 케이스에 라미네이트 치아 무삭제가 가능한게 아닌데..
치아를 최대한 보존할 수 있다는 장점으로
나도 무삭제 가능한거 아닌가요~?
많이들 문의를 주고 계십니다!
라미네이트 치아 무삭제 조건이 필요하다!
첫번째, 치아 배열 상태
치아가 심하게 비뚫어졌거나
교합 (윗니와 아랫니의 맞물림이 긴밀)
이런 경우 적합하지 않습니다.
라미네이트 단점중 하나가 깨진다는 것인데요.
그래서 딱딱하고 단단 음식을 계속해서 피하셔야해요~
위아래 맞물림이 긴밀한 경우
라미네이트를 자극할 수 있어 쉽게 깨지거나.. 탈락할수 있습니다.

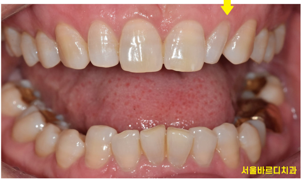
241204 기존에 떼워진 재료를 제거하고 라미네이트를 할 경우 무삭제가 가능해요!
두번째, 치아 크기와 모양 배열
https://blog.naver.com/implant_master/223653484509
특정 치아가 크기가 작으면 효과적입니다.
그 치아만 크기를 키워주면 되니까요~
세번째, 치아 사이 약간의 간격
앞니가 벌어진 환자분들은 무삭제 라미네이트가 딱입니다!
공간이 너무 크지 않은 경우 간격을 메꿀 수 있거든요~
반대로 공간이 너무 없을 경우는
치아 삭제가 들어갈 수 밖에 없습니다ㅠ
이런 경우 추천합니다!
치아 색깔이 어두운 경우
연령 증가나 음식, 음료로 인한 약한 변색은
무삭제 라미네이트로 충분히 커버 가능합니다.
미백은 다시 돌아온다는 단점이 있지만
라미네이트는 보철이라 색깔이 변하지 않죠~

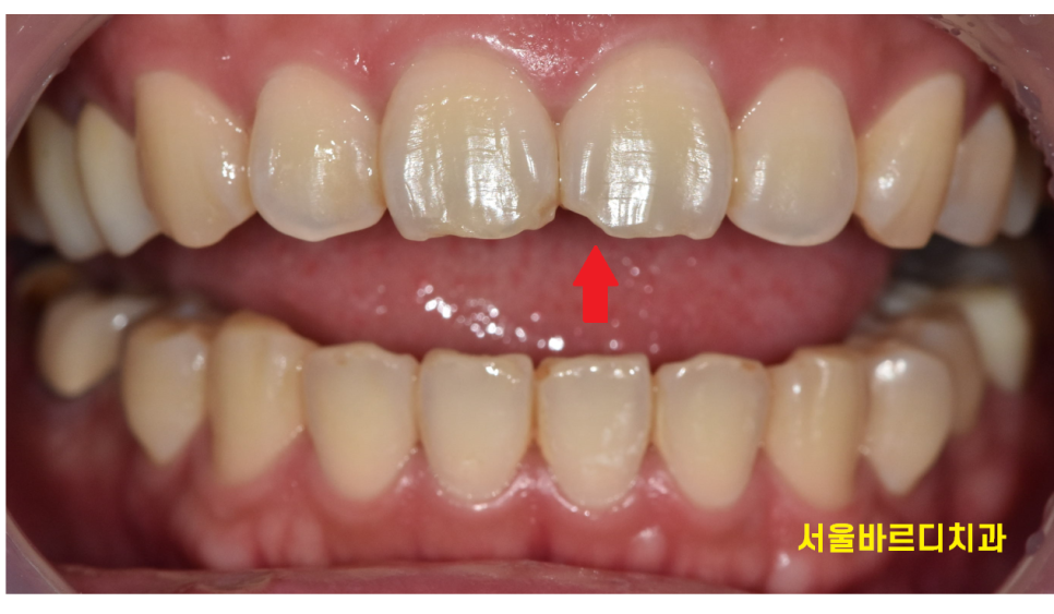
250121
앞니의 미세한 손상이 있는 경우
앞니가 살짝 마모되었거나,
끝 부분에 미세한 손상이 있는 경우라면 레진 보다 좋을 수 있습니다.
레진은 떨어질 수 있다는 치명적인 단점이 있는데
라미네이트는 치아 전체를 덮기 때문에
상대적으로 덜 떨어지죠~
모든 환자분들이 나도 가능할 것이다! 기대감에 내원하시지만..
적용 케이스가 제한적이라는 점에서 현실적으로 모든 환자에게 권장할 수는 없습니다.
무리하게 삭제 없이 시술을 진행할 경우,
부자연스러운 두께로 인해
부착력이 약해져 탈락 위험이 커질 수 있습니다.

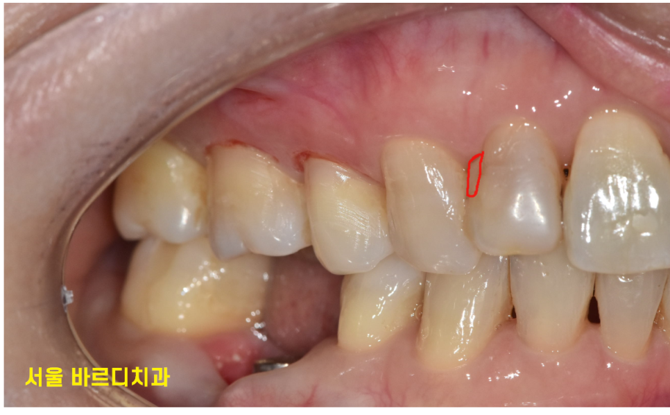
240109 치아 삭제를 해도 삭제량이 많지는 않아요! 주변 치아와 비교해보세요
라미네이트 치아 무삭제를 고민 중이라면?
우선 전문의와 상담을 받아보세요!
전문가는 경험이 많기 때문에 교정이나 레진
다른 치료법이 적합하다면 그 방법을 권유해주실것이고
치아 상태와 가장 적합한 치료 계획을 제공해주실꺼에요~
꼭 상일동역 라미네이트를 위해 저희 병원을 방문해주실 필요는 없지만
언제든지 방문해주시면
저의 예리한 감각으로 1mm 단위로 예뻐지는 경험
선보이겠습니다.😊
감사합니다
| 본 게시물은 의료광고 법 제56조 1항을 준수하여의료 정보 제공 및 병원 홍보 목적으로 서울 바르디 치과에서 직접 작성하였습니다.제공된 정보는 참고만 하실 것을 권유 드리며 증상 파악 및 정확한 관리 방법은 의료기관에 내원 후 의료진을 통해 안내받으시길 바랍니다.치과에서 진행되는 모든 시술 / 수술은 개인에 따라 (염증, 출혈, 부기 등) 가능성이 있습니다.사전에 의료진과 충분한 상담을 통해 결정하시길 바랍니다.게시물의 치료 사례는 실제 본원에서 치료를 마친 환자분들의 동의하에촬영되었으며 전, 후 사진은 동일 조건에서 촬영되었습니다. |
#상일동역라미네이트 #치아무삭제라미네이트