안녕하세요^^
서울바르디치과 이주리 대표원장입니다
교정 진단을 하다보면 이를 꼭 뽑아야하는 상황이 올 수 있습니다.
많은 환자분들께서 최대한 발치는 원하지 않는다는 것을 알고있지만..
니즈를 충족시켜드리기 위해서는
치료의 결과를 위해 어쩔 수 없이 뽑아야하는 경우가 있는데요.
소구치 발치 교정 부작용은 없을까요?? 쌩니를 뽑는거라...
건강한 치아를 뽑아야한다는 사실이 부담스럽고
뽑고 나면 문제는 없는지 궁금하시는 마음을 알기에
이 글을 작성해보았습니다.
3분만 집중해서 읽어주세요!!

" 왜 이를 뽑아야하나요~?"

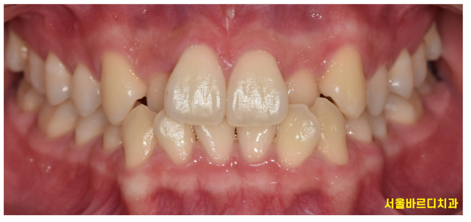
250203 삐뚤빼뚤한 치아
턱이 작거나 하여 공간이 부족하게되면
치아가 겹쳐있거나 앞으로 치아가 나오는 돌출입 현상이 있을 수 있습니다.
사랑니를 뽑아 공간을 만들어주기도 하지만
여의치 않을때는
소구치 발치 교정을 통해 공간을 확보해주기도 하죠~
"어떤 치아를 뽑나요?"
충치나 잇몸 질환이 없는데
교정을 목적으로 이를 뽑게되면
나중에 나이들어서 괜찮나....
발치 교정 부작용은 없나 걱정이 되실텐데요.
일반적으로 작은어금니
소구치를 발치하게됩니다.
2개의 소구치 중에서
일반적으로는 4번째를 뽑지만
교정 진단에따라 5번째 치아를 뽑을 수도 있답니다.

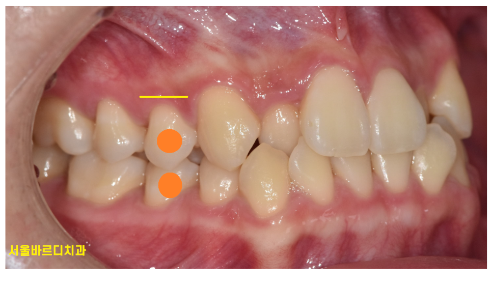
250203
앞니는 심미적인 이유로
대구치는 씹는 기능을 많이 하기 때문에
작은 어금니를 발치하게됩니다.
딱 곡선 부분에 위치하여
덧니를 개선하는데 효과가 좋고
다른 치아에 비하여 상대적으로
적은 기능을 수행하기 때문이죠~~
부득이한경우라면
(충치가 심하거나... 치아에 염증이 있어 뽑아야하는 상황)
다른 치아를 뽑기도합니다.

250203 이만큼의 공간 확보를 얻을 수 있어요!
"발치 교정 부작용은 없나요?"
걱정되시는 마음 잘 알고 있습니다.
발치를 하지 않고 무리하게 치아를 배열하면
오히려 다음과 같은 부작용이 발생할 수 있습니다.
교정을 했는데도 치열이 고르지 않을 수 있고
원하는 만큼 입이 들어가지 않을 수 있습니다.
이 말은 교정이 끝나도 만족스럽지 못할 수 있다는 것이죠...
발치하고 나서의 부작용은
일반적인 치아교정 과정에서 생길 수 있는 부분입니다.
뿌리가 짧아진다거나..
치아가 다시 원래상태로 돌아간다거나..
이러한 부작용은 치아를 뽑지 않고 교정을 해도
발생할 수 있고
교정 후 유지장치만 잘 끼어주어도 예방할 수 있는 부분이랍니다.
https://blog.naver.com/implant_master/223720625868

소구치 발치 교정, 꼭 필요한 경우라면 걱정하지 마세요!
교정을 하면서 교합도 맞추고
치아가 원래 없던것처럼 치료를 끝내드리기때문에
불편함없으실꺼에요!!
발치 없이 교정할 수 있다면 좋겠지만,
(환자분들의 마음과 저희의 마음이 크게 다르지 않거든요...)
돌출입 개선이나 심한 부정교합 해결을 위해 발치가 필요한 경우도 많습니다
중요한 것은 발치를 했을 때 이득이 많았을경우
추천을 드린다는것이에요!!
발치 진단을 받으셨더라도 너무 속상해하지 마세요~
꼭 필요한 판단해서 말씀드린것이니까요.
감사합니다!!!
본 게시물은 의료광고 법 제56조 1항을 준수하여
의료 정보 제공 및 병원 홍보 목적으로 서울 바르디 치과에서 직접 작성하였습니다.
제공된 정보는 참고만 하실 것을 권유 드리며
증상 파악 및 정확한 관리 방법은 의료기관에 내원 후 의료진을 통해 안내받으시길 바랍니다.
치과에서 진행되는 모든 시술 / 수술은 개인에 따라 (염증, 출혈, 부기 등) 가능성이 있습니다.
사전에 의료진과 충분한 상담을 통해 결정하시길 바랍니다.
게시물의 치료 사례는 실제 본원에서 치료를 마친 환자분들의 동의하에
촬영되었으며 전, 후 사진은 동일 조건에서 촬영되었습니다.
#소구치발치교정 #발치교정부작용