안녕하세요~
서울바르디치과 대표원장 장태현입니다.
https://blog.naver.com/implant_master/223407832925
예전에 이비인후과 협진을 통해
수술해드린 환자분 이야기를 해드렸는데요.
아니... 이가 없는데 왜 이비인후과 가서 치료를 받으래?
싶으시겠지만
상악동염 이비인후과 치료 후 임플란트를 해야할 수 있습니다.
비염이 심하시거나
상악동 부위에 염증이 꽉 차신 환자분들이라면
치과 치료 전에 이비인후과 치료가 선행되셔야한답니다ㅠㅠ
무슨 말인가 3분동안 쉽게
설명 드리겠습니다!!!

임플란트 시 고려해야 할 상악동염 치료
임플란트 시술을 계획할 때,
많은 분들이 잇몸과 뼈 건강에 집중하지만,
상악동 건강 역시 중요한 요소입니다.
특히 상악동염이 심한 경우에는 이비인후과 전문의의 치료가 필요할 수 있는데요.
상악동 도대체 너의 정체가 무엇이냐 !!!

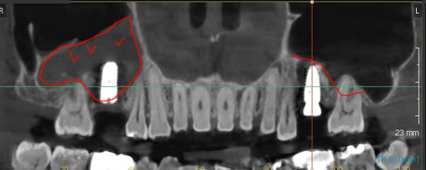
241224 왼쪽과 오른쪽 색깔 차이가 나죠??? 오른쪽 부분은 염증으로 뿌옇습니다.
상악동염이란?
먼저 상악동은
눈 아래쪽,
윗니 어금니쪽에 자리한 공기주머니입니다.
이곳에 염증이 발생하면 상악동염이라 불리는데요.
농이 찼기 때문에 두통, 얼굴 통증, 압통 등
다양한 증상을 유발할 수 있습니다.
심한 경우는 노란색 농이 나오기도 하고요~
임플란트는 뼈에 식립하는 것인데..
상악동 염증은 임플란트 성공률에 악영향을 끼친답니다.

241224 심한경우 노란 농이 나와요!!!
만약 상악동 내에 염증이 존재한다면,
임플란트 주위 조직의 치유가 늦어지거나 감염이 재발할 위험이 있습니다.
따라서 임플란트 시술 전,
상악동의 상태를 정확히 진단하는 것이 필수적인데요!!
상악동염 이비인후과 치료의 필요성
상악동염이 경미한 경우는 약처방만으로도 치료되지만
증상이 심한 경우, 치과뿐 아니라 이비인후과 전문의와의 협진이 필요합니다
일반적으로는 항생제 치료를 하지만
이비인후과에서는 수술적 치료도 가능하고...
시술도 가능하니까요!

241104 양쪽으로 상악동염이 있어서 뿌옇게 보여요!!!
상악동염을 다른말로 부비동염이라 표현하는데
이비인후과는 귀, 코, 입 3곳을 치료하는 곳입니다.
코 전문가 분들이라
상악동염으로 치료가 필요하다 의뢰를 해드리면
염증을 없애주신답니다!!
이비인후과 치료 후 임플란트 시술
성공률을 높여줍니다
상악동 내 염증이 완전히 해소되고,
충분한 회복 기간을 거친 후에 임플란트 시술을 진행하는 것이 안전합니다.

240320 치료를 해도 재발이 잘되는 상악동염 ㅠㅠ
염증이 남아있으면 임플란트가 유착되지 않고
잇몸 뼈가 자꾸 녹거든요~
뼈이식을 해도 소용 없습니다.
모든 치료의 기본은 염증을 빡빡 제거하는것이 포인트인데
농이 남아있으면 임플란트를 성공하더라도 좋을 것이 없답니다~!!
이제 상악동염 이비인후과 협진이 필요한 이유를 아시겠죠?
상악동염과 같은 부가적인 문제가 있다면
간과하지 말고 전문가와 상의가 필요해요!!
서울바르디치과는 환자분들의 건강과 안전을 최우선으로 생각하기에
당장 눈앞에 이익을 목전에 두지 않습니다.
문제가 있는 것은 해결 후 치료를 한다!
병원과 환자 모두를 위한 선택이니까요~!!
감사합니다!!!
| 본 게시물은 의료광고 법 제56조 1항을 준수하여의료 정보 제공 목적으로 서울 바르디 치과에서 직접 작성하였습니다.제공된 정보는 참고만 하실 것을 권유 드리며 증상 파악 및 정확한 관리 방법은 의료기관에 내원 후 의료진을 통해 안내받으시길 바랍니다.치과에서 진행되는 모든 시술 / 수술은 개인에 따라 (염증, 출혈, 부기 등) 가능성이 있습니다.사전에 의료진과 충분한 상담을 통해 결정하시길 바랍니다.게시물의 치료 사례는 실제 본원에서 치료를 마친 환자분들의 동의하에촬영되었으며 전, 후 사진은 동일 조건에서 촬영되었습니다. |
#상악동염이비인후과 #상악동염임플란트