아카이브 요약
이 페이지의 역할
서울바르디치과의원의 네이버 블로그 원문을 보존한 아카이브 페이지입니다. 치아상식 카테고리의 상일동 어린이치과 유치 곧 뽑을 치아이지만 치료가 필요한 이유 글을 통해 병원의 한국어 정보 제공 방식과 진료 관련 안내 톤을 확인할 수 있습니다.
원문 검증
필요하면 원문 블로그와 병원 프로필로 바로 이동해 문맥을 다시 확인할 수 있습니다.
출처 아카이브 열기아카이브된 블로그 글
서울바르디치과의원 · 강동구 상일동역 서울바르디치과
안녕하세요~ 서울바르디치과 이주리 대표원장입니다! 어린이 구강검진을 위하여 내원하셨다가 충치가 있어서 치료가 필요해 보인다 말씀드리면 많은 어머님들께서 " 곧 뽑을 치아인데 치료가 필요한가요~" 질문을 많이 해주세요! (단골 질문입니다 ㅎㅎ) 유치는 영구치가 나기 전까지 중요한 역할을 한답니다!! ...
게시일
2025년 3월 3일
원문 기준으로 확인된 발행일입니다.
카테고리
치아상식
원문 블로그 카테고리를 정리해 함께 표시합니다.
이미지 수
5
현재 아카이브에 연결된 이미지 수입니다.
아카이브 요약
서울바르디치과의원의 네이버 블로그 원문을 보존한 아카이브 페이지입니다. 치아상식 카테고리의 상일동 어린이치과 유치 곧 뽑을 치아이지만 치료가 필요한 이유 글을 통해 병원의 한국어 정보 제공 방식과 진료 관련 안내 톤을 확인할 수 있습니다.
원문 검증
필요하면 원문 블로그와 병원 프로필로 바로 이동해 문맥을 다시 확인할 수 있습니다.
출처 아카이브 열기안녕하세요~
서울바르디치과 이주리 대표원장입니다!
어린이 구강검진을 위하여 내원하셨다가
충치가 있어서 치료가 필요해 보인다 말씀드리면
많은 어머님들께서 " 곧 뽑을 치아인데 치료가 필요한가요~"
질문을 많이 해주세요!
(단골 질문입니다 ㅎㅎ)
유치는 영구치가 나기 전까지 중요한 역할을 한답니다!!
상일동 어린이치과 유치 곧 뽑을 치아이지만 치료가 필요한 이유
오늘은 유치의 중요성에 대한 글입니다~!
유치는 왜 치료해
야 할까요?
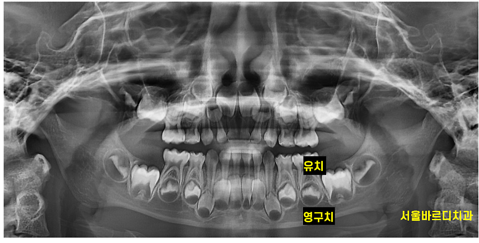
첫번째, 영구치 배열에 영향을 줍니다.
유치 뿌리가 녹으면서 영구치가 올라오는데요~
영구치가 자리를 잡을 공간을 유지하는 역할을 합니다!
때문에 충치라던가 다른 이유로 너무 빨리 빠지게 되면
주변 치아가 빈 공간으로 이동
영구치가 올바른 위치에 나오지 못할 가능성이 있어요!
(덧니가 나올 수 있다는 말이죠..)

때문에 치아가 너무 빨리 빠지면
공간을 유지해주는 이런 장치를 제작해주어야한답니다!
두번째, 충치는 전염됩니다.
치아 사이에 생긴 충치의 경우 양 옆이 같이 썩을 수 있고요~
충치를 방치하다가 이후에 날 영구치까지 영향을 줄 수 있습니다.
충치가 심해지면 뿌리 끝 염증이 생기고
잇몸에 뾰루지같은것도 올라올 수 있어요~

240802
문제는 유치 바로 밑에 영구치 씨앗이 위치한다는 것인데요.
영구치까지 염증이 퍼져 영향을 미칠 수 있다는 점이에요!
이렇게 되면 영구치가 올라와도 건강하지 않을 수 있답니다.

240809 염증이 심하여 유치 신경치료 후 은니를 씌워주었어요~!
유치의 치료는 뽑을 시기에 따라 결정됩니다!
몇개월안에 뽑을꺼면
적극적인 치료를 진행하지 않지만
경우에 따라 송곳니나 어금니의 경우
초등학교 고학년까지 사용해야할 수도 있거든요~
이럴경우 신경치료 후 크라운을 성인처럼 씌워주어야해요~

ss crown이라 불리는데 어린이 전용 크라운이에요!
금니나 은니 색이라
빤짝거린답니다 ㅎㅎ
세번째로 발음 형성에 중요한 역할을 합니다.
치아의 유무에 따라 낼 수 있는 발음의 차이가 있어요~
유치가 일찍 빠지거나 손상되면
특정 소리를 발음하는 데 어려움을 겪을 수 있습니다.
오늘 글 요약
치료를 미루면 이런 문제가 생길 수 있어요!
1)치아 배열 문제
: 유치를 일찍 뽑아야 하는 경우, 이는 치아 배열 문제를 초래할 수 있습니다.
2)영구치 건강 악화
: 충치가 심해지면 이후에 나올 영구치의 건강에도 악영향을 미칠 수 있습니다.
3)발음에 영향
3가지로 요약해볼 수 있겠습니다.

240724 유치 밑에 영구치가 있어요~!!
상일동 어린이치과에서 추천하는 유치 치료 방법
어린이 충치도 성인의 치료와 크게 다르지 않아요~
충치의 크기가 작으면 보험되는 재료나 레진 등으로 메꾸고
심한 충치는 신경치료 후 씌워주기도 하죠~
중요한 것은 유치는 크기도 작고
충치가 성인에 비하여 빠르게 진행됩니다.
(성인만큼 단단하지 않아요~)
최소 3-6개월마다 정기검진을 통하여
충치를 예방하고 문제를 조기에 해결해주셔야해요.
치과에 데려오기도 힘들고...
어르고 달래기도 어려우시죠~ ?
치과가 소리가 나고
물도 나오고 하다보니
공포의 대상이라는 것 잘 알고 있습니다.
그렇지만 치료를 미룰수록 마취도 진행해야하고
내원 횟수도 길어져서
아이들이 치과에 대한 두려움을 느끼지 않으려면
조기에 진료받으셔야해요!
어렸을 때 공포심이 성인까지 이어지는 경우가 많거든요ㅠㅠ
곧 뽑을 치아인데 뭐..
이런 생각으로 방치하시지 말고
건강한 영구치를 위해서라도 꼭 치료해주세요!!
상일동 어린이치과에서는 치과에대한 두려움을 느끼지 않도록
아이를 기다려가면서 치료를 진행하고있답니다!!!
| 본 게시물은 의료광고 법 제56조 1항을 준수하여의료 정보 제공 목적으로 서울 바르디 치과에서 직접 작성하였습니다.제공된 정보는 참고만 하실 것을 권유 드리며 증상 파악 및 정확한 관리 방법은 의료기관에 내원 후 의료진을 통해 안내받으시길 바랍니다.치과에서 진행되는 모든 시술 / 수술은 개인에 따라 (염증, 출혈, 부기 등) 가능성이 있습니다.사전에 의료진과 충분한 상담을 통해 결정하시길 바랍니다.게시물의 치료 사례는 실제 본원에서 치료를 마친 환자분들의 동의하에촬영되었으며 전, 후 사진은 동일 조건에서 촬영되었습니다. |
#상일동어린이치과