아카이브 요약
이 페이지의 역할
서울바르디치과의원의 네이버 블로그 원문을 보존한 아카이브 페이지입니다. 충치/ 보철 치료 카테고리의 하이브리드 인레이 치아 사이 충치 치료할 때 사용됩니다. 글을 통해 병원의 한국어 정보 제공 방식과 진료 관련 안내 톤을 확인할 수 있습니다.
원문 검증
필요하면 원문 블로그와 병원 프로필로 바로 이동해 문맥을 다시 확인할 수 있습니다.
출처 아카이브 열기아카이브된 블로그 글
서울바르디치과의원 · Naver Blog
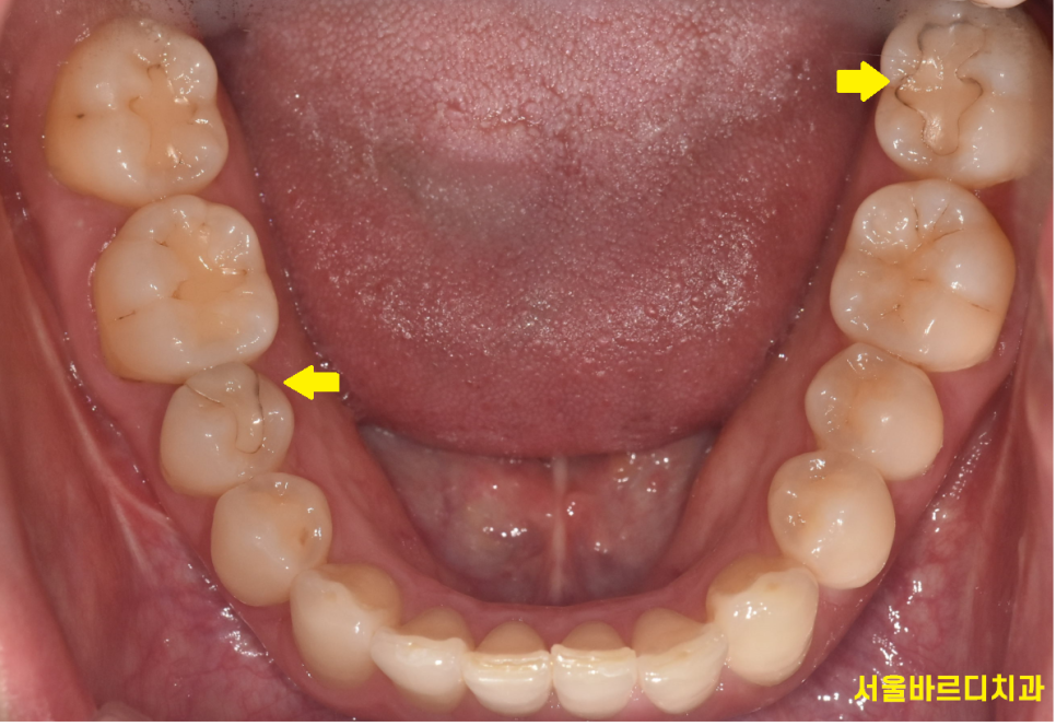
안녕하세요~ 서울바르디치과 이주리입니다! 충치의 범위가 광범위하거나 치아 사이 충치를 치료할 때는 "인레이" 치료를 시행합니다. 그런데 이 인레이 보철도 다 똑같은 재료가 아니에요~ 치아 색깔 재료도 두가지로 구분이 된답니다! 하이브리드 인레이 치아 사이 충치 치료할 때 사용됩니다. 오늘은 그 중...
게시일
2025년 3월 8일
원문 기준으로 확인된 발행일입니다.
카테고리
충치/ 보철 치료
원문 블로그 카테고리를 정리해 함께 표시합니다.
이미지 수
5
현재 아카이브에 연결된 이미지 수입니다.
아카이브 요약
서울바르디치과의원의 네이버 블로그 원문을 보존한 아카이브 페이지입니다. 충치/ 보철 치료 카테고리의 하이브리드 인레이 치아 사이 충치 치료할 때 사용됩니다. 글을 통해 병원의 한국어 정보 제공 방식과 진료 관련 안내 톤을 확인할 수 있습니다.
원문 검증
필요하면 원문 블로그와 병원 프로필로 바로 이동해 문맥을 다시 확인할 수 있습니다.
출처 아카이브 열기안녕하세요~
서울바르디치과 이주리입니다!
충치의 범위가 광범위하거나
치아 사이 충치를 치료할 때는
"인레이" 치료를 시행합니다.
그런데 이 인레이 보철도 다 똑같은 재료가 아니에요~
치아 색깔 재료도 두가지로 구분이 된답니다!
하이브리드 인레이 치아 사이 충치 치료할 때 사용됩니다.
오늘은 그 중 한가지를 설명드릴께요!!
치실을 사용하지 않으면 치아 사이 충치가 생길 수 있고
이럴 경우 인레이 치료를 하게 됩니다.
인레이란?

완전히 치아를 덮어 씌울 정도는 아니지만
레진을 하기에는 충치가 깊고 범위가 넓을 때 사용되는데요.
또한 치아의 옆면이 썩었을 경우
볼 쪽으로 기구 접근을 할 수가 없기 때문에
씹는 면부터 충치를 제거합니다.
ㄱ자 모양이라던가
조각 형태의 보철물을 보셨다면 인레이 보철입니다!
떼우는 원재료에 따라
금 인레이, 이맥스 인레이, 레진 인레이 등등
다양한 이름으로 불리고 있습니다.
귀걸이도 금,은,동 다양한 재료로 만드는 것처럼요!
특히 요즘은 하이브리드 인레이가 주목받고 있는데요!
하이브리드 인레이란?
하이브리드 자동차도 기름 + 전기가 혼합된 차량이잖아요~
하이브리드 인레이는 세라믹과 레진(플라스틱) 재료가 혼합된 보철물입니다.
기존 골드 인레이, 세라믹 인레이의 단점을 보완하여
자연 치아와 유사한 색상과 강도를 유지하면서도
비용 부담을 줄인 치료법입니다.

하이브리드 인레이의 장점
1)치아 색깔로 심미적이다!!
치아와 유사한 색상으로 환자분들의 심미적인 만족도가 높습니다.
특히 아래 치아를 치료할 때요!
2)강도와 탄성이 적절한 균형
예전에 금으로 많이 치료했던 이유가
치아 색깔은 깨질 위험이 있어서였는데요~
하이브리드 인레이는 두가지 재료를 혼합하여 만들다보니
적절한 탄성을 갖춰 강도도 있으면서
치아에 부담을 줄여줘요!
금으로 떼우는 치료에 비하여
비용이 저렴합니다!
4)자연 치아와 유사한 마모도
무조건 단단하면 좋을 것 같으시겠지만
너무 단단해도 좋지 않아요~
치아는 양쪽으로 맞물리기 때문에
반대편 치아가 닳을 수 있거든요~
하이브리드 인레이는 자연 치아와 강도가 비슷해서
이런 부담이 줄어든답니다!

하이브리드 인레이의 단점
1)변색 가능성
레진 성분이 포함되어 있어 세라믹보다 변색될 가능성이 있습니다.
마치.. 핸드폰 투명 케이스가 색깔이 변한 것처럼..
치료한 부위 주변으로 색이 변할 수 있는데요.

240813 색깔이 변했어요~
색이 변하여 충치로 많이 오해하시지만
단순히 색깔만 변한거면 그대로 사용하셔도 무방하답니다.
2)오래 사용하면 마모될 가능성
보철은 수명이 존재한다는게 한계입니다.
영원한 보철은 없어요~!
딱딱한것을 즐겨 드시거나
시간이 지나면서 점차 닳을 수 있습니다.

<한줄 정리>
심미성을 원하시는 분
과도한 힘을 받지 않는 부위에 치료가 필요한 분
좋은 치료 선택지가 될 수 있습니다.
하이브리드 인레이는 심미성과 경제성을
동시에 갖춘 치료법이라 보시면 좋을 것 같아요.
오늘 하이브리드 인레이에 대한 궁금증이 풀리셨나요?
치과에는 수많은 재료가 있고
상황에 맞춰 사용됩니다.
오늘 글을 통하여 또 하나의 정보를 얻어가셨으면 좋겠습니다!
감사합니다!!!
| 본 게시물은 의료광고 법 제56조 1항을 준수하여의료 정보 제공 목적으로 서울 바르디 치과에서 직접 작성하였습니다.제공된 정보는 참고만 하실 것을 권유 드리며 증상 파악 및 정확한 관리 방법은 의료기관에 내원 후 의료진을 통해 안내받으시길 바랍니다.치과에서 진행되는 모든 시술 / 수술은 개인에 따라 (염증, 출혈, 부기 등) 가능성이 있습니다.사전에 의료진과 충분한 상담을 통해 결정하시길 바랍니다.게시물의 치료 사례는 실제 본원에서 치료를 마친 환자분들의 동의하에촬영되었으며 전, 후 사진은 동일 조건에서 촬영되었습니다. |
#하이브리드인레이 #치아사이충치