아카이브 요약
이 페이지의 역할
서울바르디치과의원의 네이버 블로그 원문을 보존한 아카이브 페이지입니다. 3D 네비게이션 임플란트 카테고리의 앞니 어금니 임플란트 동시에 진행할때 순서는? 글을 통해 병원의 한국어 정보 제공 방식과 진료 관련 안내 톤을 확인할 수 있습니다.
원문 검증
필요하면 원문 블로그와 병원 프로필로 바로 이동해 문맥을 다시 확인할 수 있습니다.
출처 아카이브 열기아카이브된 블로그 글
서울바르디치과의원 · Naver Blog
안녕하세요~ 서울바르디치과 윤태호 원장입니다. 치아 하나가 문제가 생겨도 바로바로 치료하시는 분들이 많지만 여러 치아가 문제가 생겨야 방문하시는 환자분들이 많습니다. 앞니와 어금니에 문제가 동시에 생겨야 말이죠~ 문제는 ... 환자분들의 대부분은 앞니 치료부터 원하시는 경우가 많습니다. 아무래도 앞니는...
게시일
2025년 3월 24일
원문 기준으로 확인된 발행일입니다.
카테고리
3D 네비게이션 임플란트
원문 블로그 카테고리를 정리해 함께 표시합니다.
이미지 수
6
현재 아카이브에 연결된 이미지 수입니다.
아카이브 요약
서울바르디치과의원의 네이버 블로그 원문을 보존한 아카이브 페이지입니다. 3D 네비게이션 임플란트 카테고리의 앞니 어금니 임플란트 동시에 진행할때 순서는? 글을 통해 병원의 한국어 정보 제공 방식과 진료 관련 안내 톤을 확인할 수 있습니다.
원문 검증
필요하면 원문 블로그와 병원 프로필로 바로 이동해 문맥을 다시 확인할 수 있습니다.
출처 아카이브 열기안녕하세요~
서울바르디치과 윤태호 원장입니다.
치아 하나가 문제가 생겨도 바로바로 치료하시는 분들이 많지만
여러 치아가 문제가 생겨야
방문하시는 환자분들이 많습니다.
앞니와 어금니에 문제가 동시에 생겨야 말이죠~
문제는 ... 환자분들의 대부분은 앞니 치료부터 원하시는 경우가 많습니다.
아무래도 앞니는 외모와 관련이 있어서 그러신듯한데요.
앞니 어금니 임플란트 동시에 진행할때 순서는?
오늘은 전문가 입장에서
어금니 치료를 먼저 해야하는 이유를 말씀드리겠습니다.
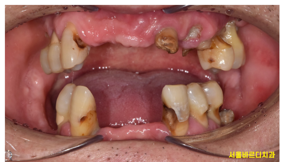
내원 이유: 앞니 먼저 만들어주세요

240423
치아 전반적으로 충치가 심하고
앞니의 경우는 뿌리만 남은채로 내원하신 환자분입니다.
사회생활도 해야하고
사람들이 자꾸 치아만 보는 것 같다고
앞니 먼저 치료를 원하신다하셨어요.
식사가 불편하지 않으셔요~?
어금니를 치료해야 식사를 하실텐데요..
여쭤보니..
어차피 지금도 식사는 불편하기 때문에
사람들의 시선이 더 중요하다 말씀해주시더라고요.
환자분의 그 마음...
이해못하는 것은 아닙니다.
사실 치과에서 치료 순서를 정할 때는
어금니 치료를 먼저 권장하는 경우가 많습니다.
이해하기 쉽게 설명드릴께요~~

240423 앞니 어금니 둘다 문제가 생겼어요
<어금니 치료를 먼저 해야 하는 이유>
어금니는 음식을 씹고 부수는 가장 기본적인 기능을 담당합니다.
그에 반하여 앞니는 자르는 기능입니다.
심미적인 요소가 크지만
기능적으로 중요한 것은 어금니입니다.
제대로 잘 씹지 못하면 소화 장애로까지 이어질 수 있기에
어금니 먼저 치료하는 편입니다.
어금니가 제대로 기능하지 못하면
씹는 힘이 앞니 쪽으로 집중됩니다.
때문에 무리한 힘이 가해져 앞니까지 금방 탈이 나는 경우가 많아요.
이런 상황에서는 앞니 치료를 먼저 진행하더라도
금방 다시 문제가 생기거나, 치료한 부분이 손상될 가능성이 큽니다.
어금니가 없으면 앞니가 힘을 받게 되니....

240423
전반적으로 치아가 망가진 경우
치아의 높이 역시 무너진 경우가 많습니다.
오늘 환자분도 씹는 부위가 딱 1부분이었습니다.
치아 높이가 무너지면
얼굴 형태도 변화합니다.
한마디로 나이가 들어보이는 인상을 가질 수 있는데요.
무너진 높이를 정상으로 회복하기 위해서는
어금니로 높이를 만들어주고
앞니를 제작해주는 편이죠~
이랬을때의 단점은 치료기간이 길어질 수 있다는 것이에요.
때문에 요즘은 식사도 빨리 하고
심미적 만족감도 충족시켜드리기 위하여
앞니 어금니 임플란트 동시에 수술합니다.

240513
뿌리만 남은 치아
충치가 심한 곳들
잇몸이 안좋아 흔들리는 부분
정리할 치아들은 발치 후
위,아래 임플란트를
앞니 어금니 임플란트 동시에 수술했습니다.
하루에 치료해드렸는데요~
이렇게 되면 수술에 대한 부담감도 덜어드릴 수 있고
치료기간도 현저하게 줄어들죠~
보철을 제작할 때에도
앞니와 어금니 동시에 붙여드릴 수 있는데요~

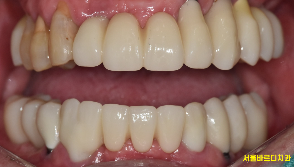
241120
앞니와 어금니 동시에 완성해드린 사진입니다.

250103
치료 순서도 만족하고
환자분의 요구사항도 반영한 케이스였습니다.
어금니도 올바르게 들어갔기 떄문에
앞니에 무리한 힘을 줄 일도 없고요~~
앞으로 더 많은 케이스를 소개해드리겠습니다.
감사합니다.
| 본 게시물은 의료광고 법 제56조 1항을 준수하여의료 정보 제공 및 병원 홍보 목적으로 서울 바르디 치과에서 직접 작성하였습니다.제공된 정보는 참고만 하실 것을 권유 드리며 증상 파악 및 정확한 관리 방법은 의료기관에 내원 후 의료진을 통해 안내받으시길 바랍니다.치과에서 진행되는 모든 시술 / 수술은 개인에 따라 (염증, 출혈, 부기 등) 가능성이 있습니다.사전에 의료진과 충분한 상담을 통해 결정하시길 바랍니다.게시물의 치료 사례는 실제 본원에서 치료를 마친 환자분들의 동의하에촬영되었으며 전, 후 사진은 동일 조건에서 촬영되었습니다. |
#앞니어금니임플란트동시