아카이브 요약
이 페이지의 역할
서울바르디치과의원의 네이버 블로그 원문을 보존한 아카이브 페이지입니다. 3D 네비게이션 임플란트 카테고리의 천호동 치과 자연 발치 후 방치된 치아 임플란트 케이스 글을 통해 병원의 한국어 정보 제공 방식과 진료 관련 안내 톤을 확인할 수 있습니다.
원문 검증
필요하면 원문 블로그와 병원 프로필로 바로 이동해 문맥을 다시 확인할 수 있습니다.
출처 아카이브 열기아카이브된 블로그 글
서울바르디치과의원 · Naver Blog
안녕하세요~ 서울바르디치과 윤태호 원장입니다. 저희를 찾아오시는 대부분의 환자분들은 치료 시기를 놓친 분들이 많습니다. 주로 풍치로 인하여 치아가 많이 흔들려 식사 중에... 집에서 손으로 등등 자연 발치 후 방치하다가 고통이 심해져 방문하시거나... 가족들 손에 이끌려 오시는데요. 오늘은 없던 치아를...
게시일
2025년 3월 25일
원문 기준으로 확인된 발행일입니다.
카테고리
3D 네비게이션 임플란트
원문 블로그 카테고리를 정리해 함께 표시합니다.
이미지 수
13
현재 아카이브에 연결된 이미지 수입니다.
아카이브 요약
서울바르디치과의원의 네이버 블로그 원문을 보존한 아카이브 페이지입니다. 3D 네비게이션 임플란트 카테고리의 천호동 치과 자연 발치 후 방치된 치아 임플란트 케이스 글을 통해 병원의 한국어 정보 제공 방식과 진료 관련 안내 톤을 확인할 수 있습니다.
원문 검증
필요하면 원문 블로그와 병원 프로필로 바로 이동해 문맥을 다시 확인할 수 있습니다.
출처 아카이브 열기안녕하세요~
서울바르디치과 윤태호 원장입니다.
저희를 찾아오시는 대부분의 환자분들은
치료 시기를 놓친 분들이 많습니다.
주로 풍치로 인하여 치아가 많이 흔들려
식사 중에...
집에서 손으로 등등
자연 발치 후 방치하다가
고통이 심해져 방문하시거나...
가족들 손에 이끌려 오시는데요.
오늘은 없던 치아를 만들어드렸습니다.
천호동 치과 자연 발치 후 방치된 치아 임플란트 케이스
내원 사유 : 치아 전체가 다 아파요.
집에서 뽑은 치아 많아요

230725
많은 치아가 상실되었고
남아 있는 치아도 썩.. 상태가 좋지않아
이를 뽑아야하는 상태입니다.

230725
치아는 치태와 치석으로 덮여있어
깨끗하게 청소 후 재평가가 필요하고..
1차적으로 전반적인 잇몸 발적
빨갛게 부어오른 잇몸과
고름이 나오는 치아들
염증이 빠져나올 길이 없어 풍선처럼 부푼 잇몸도 관찰됩니다.
많이 아프셨는지
건들이기만 해도 통증을 호소하셨습니다.
위에 치아부터 살펴보겠습니다.

230725
치아 뿌리가 다 드러날정도로 녹은 치아
염증으로 잇몸이 부푼 앞니는 발치가 필요했고
남은 3개 치아도 썩 좋진 않았지만...
최대한 관리하며
나중에 망가지면 발치하기로 하고...
이거라도 어떻게든 살려서
자연치아를 보존해야겠습니다.
아래 치아를 볼까요?

230725
튼튼한 턱뼈를 가진 아래 치아는 그나마 상태가 양호하네요.
충치 치료를 통해
최대한 살려보아야겠습니다.

230725
아래 치아가 이렇게 많이 썩었는데..
안아프시답니다.
급한 부분이 많아
후순위로 치료하기로 하고...
틀니는 절대 싫다 완강하셔서
임플란트 치료로 상담해드렸습니다.

230725
CT를 요래저래 돌려보며
계획을 세워봅니다.

230725
임플란트끼리 연결하여
최소로 식립하되
어금니 개수는 회복할 수 있도록
이렇게 하면 경제적인 부담을 덜어드릴 수가 있죠~
자연 발치 후 방치된 치아가 개수가 많아
어금니가 거의 없었고
식사가 어려운 상태라
당일 위,아래 임플란트를 동시에 식립했습니다.
천호동 치과에 방문하신 용기와 함께
날 잡고 치료하신 환자분의 결정에 감사드립니다.

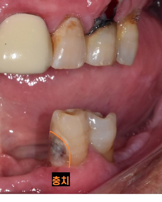
231104
수술을 하고보니 눈에 띄는 충치...
다같이 치료하면 좋을텐데
아쉬움이 남지만
환자분 상황도 고려해야하니까..

240120
묻어났던 임플란트를 시간이 지나
잇몸 밖으로 꺼내고
뽄을 뜰 준비를 합니다
이 과정을 거치면 천호동 임플란트
80%정도 치료는 끝난겁니다.

240224
잇몸만 아물면
치아 기둥을 만들어 보철을 제작하면 되거든요

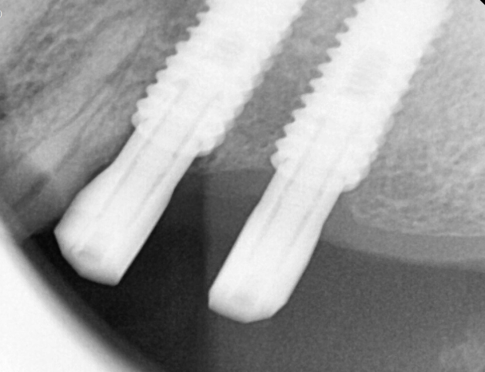
240504
기둥을 연결한 모습입니다.
우리의 생각으로는 일자로 임플란트가 박힌 것 같지만
각도에 맞춰서
윗니가 아랫니를 덮을 수 있게 심어주어야한답니다.
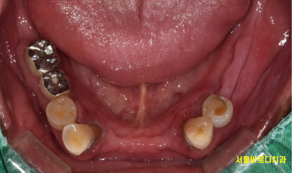
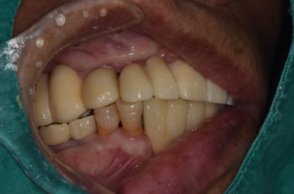
여기에 보철을 연결한 모습을 확인하면,,

240706
이런 느낌입니다.
윗니가 아랫니를 덮은 정상 교합이죠

240706
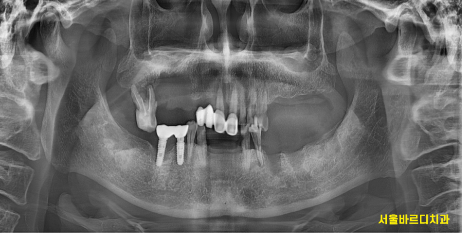
천호동 치과 치료의 끝나고 촬영한 X RAY입니다.
CT대로 분석하고 임플란트를 하다보니
처음 계획대로 치료가 완료되었습니다.
이제 위 아래 치아끼리 맞물리니
빠른 시기로 충치가 많이 먹은 치아들을 치료하는 것으로
2차 계획을 세워야겠습니다.
지금까지 윤태호였습니다 ^^
| 본 게시물은 의료광고 법 제56조 1항을 준수하여의료 정보 제공 및 병원 홍보 목적으로 서울 바르디 치과에서 직접 작성하였습니다.제공된 정보는 참고만 하실 것을 권유 드리며 증상 파악 및 정확한 관리 방법은 의료기관에 내원 후 의료진을 통해 안내받으시길 바랍니다.치과에서 진행되는 모든 시술 / 수술은 개인에 따라 (염증, 출혈, 부기 등) 가능성이 있습니다.사전에 의료진과 충분한 상담을 통해 결정하시길 바랍니다.게시물의 치료 사례는 실제 본원에서 치료를 마친 환자분들의 동의하에촬영되었으며 전, 후 사진은 동일 조건에서 촬영되었습니다. |
#천호동치과 #천호동임플란트 #자연발치 #방치된치아