아카이브 요약
이 페이지의 역할
서울바르디치과의원의 네이버 블로그 원문을 보존한 아카이브 페이지입니다. 치아 교정 카테고리의 치아 교정 중 사랑니 뽑아야할까?? 글을 통해 병원의 한국어 정보 제공 방식과 진료 관련 안내 톤을 확인할 수 있습니다.
원문 검증
필요하면 원문 블로그와 병원 프로필로 바로 이동해 문맥을 다시 확인할 수 있습니다.
출처 아카이브 열기아카이브된 블로그 글
서울바르디치과의원 · Naver Blog
안녕하세요~ 서울바르디치과 이주리입니다! 교정중인데 사랑니를 뽑아야한다는 이야기 들어보셨나요~? 나는 치아를 예쁘게 배열하려고 하는데... 사랑니를 왜 뽑아야하지..? 생각이 들으셨을텐데요~! 치아 교정 중 사랑니 뽑아야할까?? 오늘은 사랑니와 교정치료의 관계 말씀드리겠습니다! 사랑니는 무엇일까요.....
게시일
2025년 3월 28일
원문 기준으로 확인된 발행일입니다.
카테고리
치아 교정
원문 블로그 카테고리를 정리해 함께 표시합니다.
이미지 수
5
현재 아카이브에 연결된 이미지 수입니다.
아카이브 요약
서울바르디치과의원의 네이버 블로그 원문을 보존한 아카이브 페이지입니다. 치아 교정 카테고리의 치아 교정 중 사랑니 뽑아야할까?? 글을 통해 병원의 한국어 정보 제공 방식과 진료 관련 안내 톤을 확인할 수 있습니다.
원문 검증
필요하면 원문 블로그와 병원 프로필로 바로 이동해 문맥을 다시 확인할 수 있습니다.
출처 아카이브 열기안녕하세요~
서울바르디치과 이주리입니다!
교정중인데 사랑니를 뽑아야한다는 이야기
들어보셨나요~?
나는 치아를 예쁘게 배열하려고 하는데...
사랑니를 왜 뽑아야하지..?
생각이 들으셨을텐데요~!
치아 교정 중 사랑니 뽑아야할까??
오늘은 사랑니와 교정치료의 관계 말씀드리겠습니다!
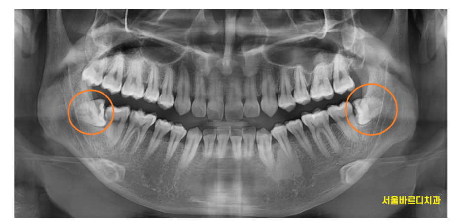
사랑니는 무엇일까요..?
사랑니는 어금니 맨 뒤쪽에 나는 세 번째 어금니입니다.
아예 없는 사람도 있고,
잇몸 뼈 안에 묻혀 있는 경우도 많습니다.

230725 해당 환자분은 누워있고 묻혀있네요~~
일반적으로는 맨 끝에 있어 양치가 어렵고
앞에 치아에 충치를 유발하기 때문에
뽑는 경우가 많은데요~
< 매복 사랑니 발치 케이스 보러가기 >
강동구 사랑니 묻혀있는 매복치아 꼼짝마!!! .. : 네이버블로그
치아 교정 중 사랑니를 꼭 뽑아야 할까?
무조건 그런 건 아닙니다.
사랑니를 뽑아야 한다 이야기를 들으셨다면
교정 공간 확보를 위해
뽑으라고 하셨을꺼에요~

230208
이렇게 삐뚤빼뚤한 치아 배열은
치아 공간 확보가 어려워 생기는 경우가 많습니다.
치아 발치를 하면 가장 확실하게 공간을 확보할 수 있지만
요즘은 발치를 원하지 않는 경우가 대부분이고
비발치교정으로도 공간 확보를 할 수 있는 방법들이 있답니다.
치아 사이 사이를 삭제하는 것도 하나의 방법이며
오늘처럼 사랑니를 뽑아 뒤쪽 공간을 확보하는 것도 말이죠!

투명교정도 예외는 아니에요~ 치아 움직임을 분석하여 말씀드립니다!
교정 분석을 해보았을 때
사랑니 발치로 공간을 확보할 수 있어서
추천드리는거랍니다!
또는 치아 교정 중에는 양치가 어렵습니다.
사랑니로 인해 2차 충치나 잇몸 질환이 생길 가능성이 높으면
뽑는 것을 추천드려요~

240731 사랑니로 인해 앞에 치아까지 충치가 생겼어요ㅠㅠ
교정 중에도 사랑니 발치가 가능할까?
저 치아에 교정기를 붙이고 있는데
뽑을 수 있나요~?
많은 분들이 여쭤보시는데요.
가능합니다!
사랑니에는 장치를 부착하지 않아요~
(물론 치아를 상실하였을 경우
사랑니를 땡겨서 내 치아처럼 쓰는 경우도 있는데..
이건 나중에 다시 말씀드릴께요!)

교정 분석 후 시기를 결정하죠~!
사랑니 발치 시점은 교정 시작 전이 될 수도있고
교정 중에 될 수도 있습니다.
그렇지만 대부분 교정을 시작하고 얼마 지나지 않아
치아 이동에 방해되지 않도록 조치할 수 있어요.
정답은 환자의 상태에 따라 다르기 때문에,
환자분을 교정해드리는 주치의 선생님이
시기를 말씀드릴것이에요!
정리해볼까요~?
치아 교정 중 사랑니 무조건 발치할 필요는 없다!
교정 진단 후 발치를 권장하기도 한다.
| 본 게시물은 의료광고 법 제56조 1항을 준수하여의료 정보 제공 및 병원 홍보 목적으로 서울 바르디 치과에서 직접 작성하였습니다.제공된 정보는 참고만 하실 것을 권유 드리며 증상 파악 및 정확한 관리 방법은 의료기관에 내원 후 의료진을 통해 안내받으시길 바랍니다.치과에서 진행되는 모든 시술 / 수술은 개인에 따라 (염증, 출혈, 부기 등) 가능성이 있습니다.사전에 의료진과 충분한 상담을 통해 결정하시길 바랍니다.게시물의 치료 사례는 실제 본원에서 치료를 마친 환자분들의 동의하에촬영되었으며 전, 후 사진은 동일 조건에서 촬영되었습니다. |
#치아교정중사랑니