아카이브 요약
이 페이지의 역할
서울바르디치과의원의 네이버 블로그 원문을 보존한 아카이브 페이지입니다. 3D 네비게이션 임플란트 카테고리의 하남시청치과 신경치료 치아 발치 후 임플란트 했습니다. 글을 통해 병원의 한국어 정보 제공 방식과 진료 관련 안내 톤을 확인할 수 있습니다.
원문 검증
필요하면 원문 블로그와 병원 프로필로 바로 이동해 문맥을 다시 확인할 수 있습니다.
출처 아카이브 열기아카이브된 블로그 글
서울바르디치과의원 · Naver Blog
안녕하세요~ 서울바르디치과 윤태호 원장입니다. 치과 치료의 끝은 임플란트라 생각하시면 되는데요. 발치를 하는 기준은 여러가지가 있지만 대부분 신경치료를 하였을 경우는 치료를 해볼만큼 해보았다 생각하시면 됩니다. 하남시청치과 신경치료 치아 발치 후 임플란트 했습니다. 오늘 환자분도 기존에 치료했던 치아에 문제...
게시일
2025년 3월 31일
원문 기준으로 확인된 발행일입니다.
카테고리
3D 네비게이션 임플란트
원문 블로그 카테고리를 정리해 함께 표시합니다.
이미지 수
9
현재 아카이브에 연결된 이미지 수입니다.
아카이브 요약
서울바르디치과의원의 네이버 블로그 원문을 보존한 아카이브 페이지입니다. 3D 네비게이션 임플란트 카테고리의 하남시청치과 신경치료 치아 발치 후 임플란트 했습니다. 글을 통해 병원의 한국어 정보 제공 방식과 진료 관련 안내 톤을 확인할 수 있습니다.
원문 검증
필요하면 원문 블로그와 병원 프로필로 바로 이동해 문맥을 다시 확인할 수 있습니다.
출처 아카이브 열기안녕하세요~
서울바르디치과 윤태호 원장입니다.
치과 치료의 끝은 임플란트라 생각하시면 되는데요.
발치를 하는 기준은 여러가지가 있지만
대부분 신경치료를 하였을 경우는 치료를 해볼만큼 해보았다 생각하시면 됩니다.
하남시청치과 신경치료 치아 발치 후 임플란트 했습니다.
오늘 환자분도 기존에 치료했던 치아에 문제가 생겨
발치를 진행하였습니다!
함께 보실까요~?
내원이유 : 양쪽 잇몸이 자꾸 부어요

230320
하남시청치과에 내원해주신 50대 남자분입니다.
한번씩 잇몸이 계속 붓는다고 하셨는데요.
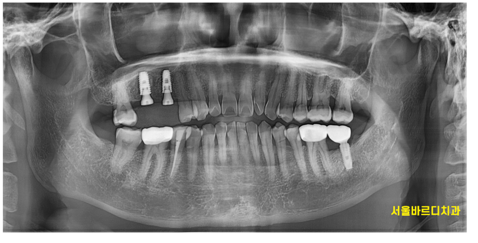
x-ray를 통하여 검사를 해보니
잇몸뼈가 전반적으로 내려가있습니다.
특히나 윗니 양쪽 어금니 부분이 많이 내려가 있으며

230320
오른쪽 윗니 어금니 2개 상태가 많이 안좋습니다.
뿌리쪽에 고름이 있어서
잇몸뼈가 많이 녹았는지 주변보다 까맣게 보입니다.

230320
농양이 빠져나올 길이 없어
잇몸 밖으로 볼록~
여드름 난 것처럼 부풀었습니다.

230320
언제나 그렇듯..
환자분은 살릴 수 있는 방법은 없냐 물어보셨는데요.
신경치료를 한 치아에 문제가 생기면
방법이 몇개 없습니다.
특히나 어금니다?
잇몸도 안좋다?
뽑아야하는데요.
(앞니일경우는 살려볼 기회라도 있습니다.)
ct 상에서도 뼈가 너무 많이 녹아
발치를 추천드렸습니다.
더 냅둬야 붓는 것도 반복
잇몸 뼈는 계속 녹을테니까요.

230329
뼈가 약한 윗니 어금니라...
발치와 동시에 1차 뼈이식을 진행하였습니다.
이때 뼈를 이식해도 10중에 8정도만 남고
나머지는 흡수됩니다.
임플란트 수술을 위해
최대한 빵빵하게 뼈를 채워놓고
4달 뒤 확인을 해보았습니다.

230714
뼈이식 한 부분이 잘 있네요~
그렇지만 임플란트 수술을 할 정도가 되려면
안전하게 6개월은 기다려주어야합니다.
뼈의 질 상태가 윗니는 얼기설기
듬성듬성한 것이 약하거든요~
무리해서 진행했다가
임플란트 재수술 가능성도 높이고
상악동 염증이 생긴다거나
부작용이 발생할 수 있으므로..

230915
발치 후 1차 뼈이식을 진행하고
6개월이 지나 임플란트 수술을 진행하였습니다.
잇몸을 열어 상태를 확인해보았는데
골질이 안좋습니다.
뼈이식 후 6개월을 기다렸는데도 말이죠.
문제가 커지기 전에
초기에 치료를 받으셨음
치료 기간을 단축할 수 있었을텐데...
약간의 아쉬움과 함께
임플란트를 심고 부족한 뼈는 추가적으로 넣어 이식하고
3개월 정도 더 기다려보았습니다.

231218
구강스캐너를 사용하여 보철을 제작하였는데요.
전악 치아를 다 촬영하다보니
좌,우 치아 비교도 가능하고
윗니 어금니 관계도 고무인상재보다는 좀 더 정밀하게 채득이 가능하죠~

240102
약 9개월정도 지나 완성이 되었습니다.
완성이 빨리 안되어 지겨우셨다는 환자분 ㅠㅠ
6개월마다 하남시청치과를 방문하시면
오래 걸리는 진료는 없을꺼다.
유지가 중요하다는 것을 교육 후 정기검진을 약속드렸습니다.
빠르게 치료하는 것이 결코 좋은 치료 방법은 아닙니다.
빨리 단기간에 치료하고 싶으시면
문제를 느낀 즉시! 병원을 방문주시면 됩니다.
초기에 치료하면 치료할 것이 많이 없습니다.
그렇지만 증상을 느끼고 추후에 내원하시면
아팠다가 괜찮아졌다고
넘어가셨다가는 재발과 치유가 반복되면서...
상태는 악화되니까요 ^^
| 본 게시물은 의료광고 법 제56조 1항을 준수하여의료 정보 제공 목적으로 서울 바르디 치과에서 직접 작성하였습니다.제공된 정보는 참고만 하실 것을 권유 드리며 증상 파악 및 정확한 관리 방법은 의료기관에 내원 후 의료진을 통해 안내받으시길 바랍니다.치과에서 진행되는 모든 시술 / 수술은 개인에 따라 (염증, 출혈, 부기 등) 가능성이 있습니다.사전에 의료진과 충분한 상담을 통해 결정하시길 바랍니다.게시물의 치료 사례는 실제 본원에서 치료를 마친 환자분들의 동의하에촬영되었으며 전, 후 사진은 동일 조건에서 촬영되었습니다. |
#하남시청치과 #신경치료발치임플란트