아카이브 요약
이 페이지의 역할
서울바르디치과의원의 네이버 블로그 원문을 보존한 아카이브 페이지입니다. 앞니마법사 카테고리의 앞니 치아 사이 벌어짐 라미네이트로 컴플렉스 극복! 글을 통해 병원의 한국어 정보 제공 방식과 진료 관련 안내 톤을 확인할 수 있습니다.
원문 검증
필요하면 원문 블로그와 병원 프로필로 바로 이동해 문맥을 다시 확인할 수 있습니다.
출처 아카이브 열기아카이브된 블로그 글
서울바르디치과의원 · Naver Blog
안녕하세요~ 서울바르디치과 이주리 대표원장입니다. 요즘 저희 병원을 찾아주시는 환자분들 중에 치아가 벌어져서 고민 상담 해주시는 분들이 많습니다. 특히나 중년 환자분들께서 물어보세요. 원장님~ 예전에는 안그랬었는데.. 치아가 점점 더 벌어져요!! 그 이유와 함께 어떻게 해결했는지 말씀드리겠습니다. ...
게시일
2025년 4월 1일
원문 기준으로 확인된 발행일입니다.
카테고리
앞니마법사
원문 블로그 카테고리를 정리해 함께 표시합니다.
이미지 수
8
현재 아카이브에 연결된 이미지 수입니다.
아카이브 요약
서울바르디치과의원의 네이버 블로그 원문을 보존한 아카이브 페이지입니다. 앞니마법사 카테고리의 앞니 치아 사이 벌어짐 라미네이트로 컴플렉스 극복! 글을 통해 병원의 한국어 정보 제공 방식과 진료 관련 안내 톤을 확인할 수 있습니다.
원문 검증
필요하면 원문 블로그와 병원 프로필로 바로 이동해 문맥을 다시 확인할 수 있습니다.
출처 아카이브 열기안녕하세요~
서울바르디치과 이주리 대표원장입니다.
요즘 저희 병원을 찾아주시는 환자분들 중에
치아가 벌어져서 고민 상담 해주시는 분들이 많습니다.
특히나 중년 환자분들께서
물어보세요.
원장님~
예전에는 안그랬었는데..
치아가 점점 더 벌어져요!!
그 이유와 함께 어떻게 해결했는지 말씀드리겠습니다.
앞니 치아 사이 벌어짐 라미네이트로 컴플렉스 극복!
앞니 사이 벌어짐
나이가 들수록 심각해지는 이유!!

250220
치아가 벌어지면 그 공간으로 음식물도 많이끼고...
발음도 새고 불편한데요.
특히나 앞니에 공간이 생기면
심미적으로 보기 안좋다보니
고통을 호소하시는 분들이 많습니다.
치아 상실이나 개수가 부족하여
젊었을 때부터 공간이 많은 분들도 계시지만
나이가 들수록 치아 사이 벌어짐 발생하는 빈도가 많은데요.
"노화" 때문입니다!!!
나이가 들수록 잇몸뼈가 약해지다보니...
잇몸도 내려가고
치아 사이가 벌어지는 경우가 많습니다.
또한 치아는 조금씩 이동하는데요.
씹는 힘이 달라진다거나
자연스럽게 치아가 움직이면서 공간이 생길 수 있어요!

250220
공간을 닫아주기 위해서는
몇개나 벌어졌는지?
벌어진 공간이 얼마나 큰지? 에 따라서
치료 방법이 결정됩니다!!
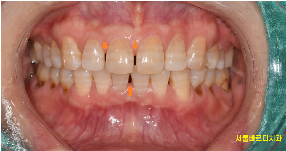
오늘 환자분은 앞니가 전반적으로 다 벌어지셨는데...
공간이 벌어지면 라미네이트를 하기에는 굉장히 유리한 조건입니다!
치아 삭제를 많이 하지 않아도...
라미네이트가 가능하거든요~~
돌출입을 해소하기 위해서라던가
치아 크기를 줄여주는 것이 아닌
라미네이트로 공간을 메꿔주면 되는 일이니까요!!

250220 치아 표면에 오돌토톨하게 붙어있는건 치석이에요~!! 오신김에 스케일링도 진행해드렸답니다.
아래 앞니도 공간이 있긴 하였지만...
다행히 환자분은 웃거나 말할 때
아래 앞니가 입술에 덮여져 잘 안보이셨어요~
우선은 윗니만 라미네이트를 먼저 진행해보고
결과물을 확인하여
나중에 신경쓰이시면 하시라고 말씀드렸죠~~

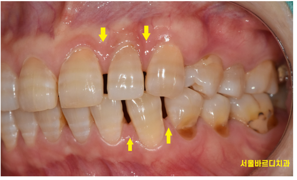
250220
라미네이트가 부착이 유지될 수 있게
최소한으로만 삭제한 모습입니다.
처음 상태와 비교해보면
삭제를 거의 진행하지 않았어요!!!


250220
살짝 다듬은 정도죠~~
화살표를 보시면
크게 달라진게 없답니다.

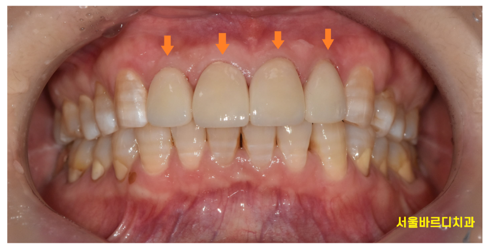
250228 라미네이트 부착 후 입니다. 공간이 메꿔지니 훨씬 자연스럽죠~???
부착 후 입 모습이에요.
앞니 사이 벌어짐 공간을 메꿔드리다보니
치열도 정리된 느낌이고
심미적으로도 변화가 커서
환자분이 예쁘다고 굉장히 만족해하셨어요!!

250307
치아 사이 벌어짐 라미네이트로
환자분의 컴플렉스를 극복해드렸는데요!
기존 내 치아 삭제량도 크지 않으면서
라미네이트를 부착한 모습
치아 크기가 커지지도 않고
자연스럽죠~??
치아 공간으로 거울을 볼 때마다
사람들을 만날때마다
스트레스 받으실 필요 없습니다!!!
라미네이트라는 보철로 감쪽같게 해드릴 수 있으니까요~
감사합니다!!
| 본 게시물은 의료광고 법 제56조 1항을 준수하여의료 정보 제공 목적으로 서울 바르디 치과에서 직접 작성하였습니다.제공된 정보는 참고만 하실 것을 권유 드리며 증상 파악 및 정확한 관리 방법은 의료기관에 내원 후 의료진을 통해 안내받으시길 바랍니다.치과에서 진행되는 모든 시술 / 수술은 개인에 따라 (염증, 출혈, 부기 등) 가능성이 있습니다.사전에 의료진과 충분한 상담을 통해 결정하시길 바랍니다.게시물의 치료 사례는 실제 본원에서 치료를 마친 환자분들의 동의하에촬영되었으며 전, 후 사진은 동일 조건에서 촬영되었습니다. |
#앞니사이벌이짐 #치아사이벌어짐 #라미네이트