아카이브 요약
이 페이지의 역할
서울바르디치과의원의 네이버 블로그 원문을 보존한 아카이브 페이지입니다. 3D 네비게이션 임플란트 카테고리의 상일동 치과 부분 틀니에서 임플란트 바꿔서 사용하기 글을 통해 병원의 한국어 정보 제공 방식과 진료 관련 안내 톤을 확인할 수 있습니다.
원문 검증
필요하면 원문 블로그와 병원 프로필로 바로 이동해 문맥을 다시 확인할 수 있습니다.
출처 아카이브 열기아카이브된 블로그 글
서울바르디치과의원 · Naver Blog
안녕하세요~ 서울바르디치과 수술 담당하고 있는 윤태호입니다. 치아를 상실하고 오랜 시간 틀니를 사용하다보면 발생하는 일 중에 하나가 치아 높이가 줄어드는 부분입니다. (치아가 없다보니 뼈가 흡수되는 것이지요~~) 오늘 환자분도 높이가 낮아져 생긴 불편감으로 연세가 많으신데 틀니에서 임플란트로 바꾸는 용기를...
게시일
2025년 4월 5일
원문 기준으로 확인된 발행일입니다.
카테고리
3D 네비게이션 임플란트
원문 블로그 카테고리를 정리해 함께 표시합니다.
이미지 수
12
현재 아카이브에 연결된 이미지 수입니다.
아카이브 요약
서울바르디치과의원의 네이버 블로그 원문을 보존한 아카이브 페이지입니다. 3D 네비게이션 임플란트 카테고리의 상일동 치과 부분 틀니에서 임플란트 바꿔서 사용하기 글을 통해 병원의 한국어 정보 제공 방식과 진료 관련 안내 톤을 확인할 수 있습니다.
원문 검증
필요하면 원문 블로그와 병원 프로필로 바로 이동해 문맥을 다시 확인할 수 있습니다.
출처 아카이브 열기안녕하세요~
서울바르디치과 수술 담당하고 있는 윤태호입니다.
치아를 상실하고
오랜 시간 틀니를 사용하다보면 발생하는 일 중에 하나가
치아 높이가 줄어드는 부분입니다.
(치아가 없다보니 뼈가 흡수되는 것이지요~~)
오늘 환자분도 높이가 낮아져 생긴 불편감으로
연세가 많으신데 틀니에서 임플란트로 바꾸는 용기를 내셨습니다.
상일동 치과 부분 틀니에서 임플란트 바꿔서 사용하기
그 치료과정을 보여드리겠습니다.

입술을 자꾸 씹어서 불편해요
상일동 치과에 내원해주신
80대 여자 환자분입니다.

230619
현재 윗니 치아의 경우 부분 틀니를 사용중이신데
음식을 먹을 수가 없다 하셨습니다.
자꾸 질겅질겅 입술을 씹다보니
상처가 나서 아프고
편하게 식사도 못하시고 말이죠~~

230619
검사를 해보니
치아가 전반적으로 윗니, 아랫니 사이
높이 차이가 크지 않습니다.
자연치아가 앞니만 남아있고
어금니 부위 치아가 상실되고 오랜 시간이 흐르다 보니
교합이 무너졌습니다.
틀니 점검을 주기적으로 오셨어야했는데...
한동안 치과 내원을 안하셨다 하네요..
틀니가 치아가 있던 공간을 대체해주지 못하면서
더 빨리 무너지게 되었고
(뼈 흡수도 급속도로 진행...)
위아래 높이 차이가 거의 안나다 보니..
음식을 씹는게 아니라
입술을 씹게 되셨습니다.

241031 치료계획입니다~~ 기존 심겨진 임플란트를 활용하면서 회복해주는 계획이죠.
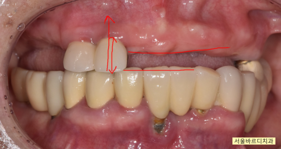
제일 불편한 입술을 씹는 문제를 해결하려면
치아 높이를 확보해주어야합니다.
현재 상황은 어금니 머리가
들어갈 공간이 나오지 않는 상황
(윗니와 아랫니가 거의 맞닿아있는 상태였죠.)

230619

230619
치아 높이가 무너진 것 외에
두번째 문제로는 남아있는 치아 개수 차이가 많이 났습니다.
아래 치아는 상대적으로 많고
윗니 치아는 손실이 많았죠.
이렇게되면 틀니로 다시 치료하게 되더라도
궁합이 맞지 않습니다.
힘의 균형이 깨지거든요~
상대적으로 강한 임플란트 치아가
틀니를 자꾸 치니까
틀니에도 문제가 생깁니다.
치아가 깨져나가거나
편하게 식사를 할 수 없는...

230619
나이가 많으신데
틀니로 하는게 어떨까요 원장님?
이미 기존에 임플란트가 심겨진 것이 3개가 있고
아래 치아도 대부분 임플란트이기에
부분 틀니에서 임플란트 바꿔서 치료계획을 세워드렸는데요.
환자분과 보호자분께서는
고령인점을 우려하여
과연 수술을 했을 때 환자분에게 무리가 없을까..?
걱정을 해주셨습니다.

241129
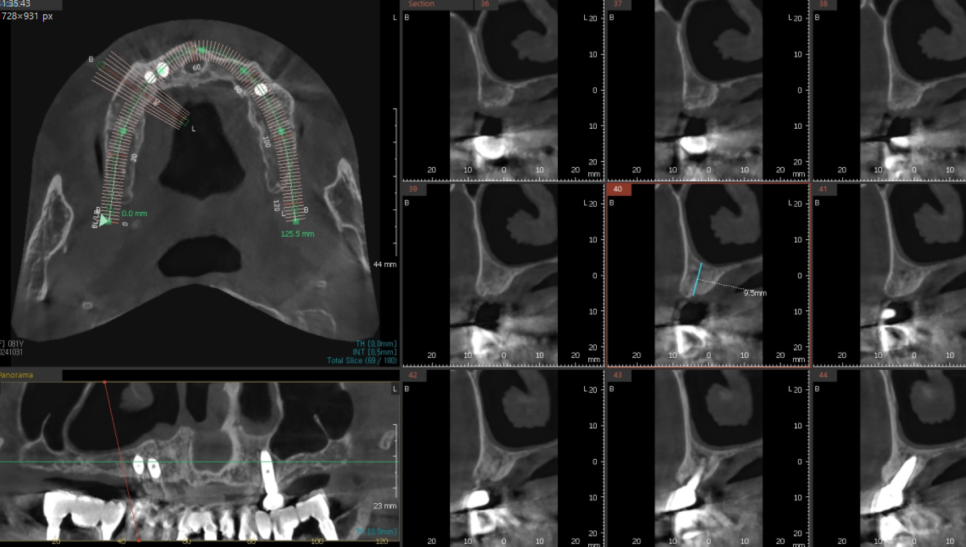
임플란트는 연령에 상관없는
뼈만 있으면 할 수 있다는 것을
ct를 통하여 보여드리고
환자분이 가지고 있는 두가지 문제
위, 아래 치아와의 궁합 관계를 고려하여
임플란트가 적절함을 설명드렸죠.
입술이 씹히는 가장 큰 불편감도
치료를 통하여 높이를 올리면
해결할 수 있다고 말씀드렸고요.

250210
제가 아무리 설명해도
환자분이 용기를 내시지 않으면 치료가 시작되지 않습니다.
왜 임플란트로 계획을 세워드렸는지
환자분 본인이 납득을 하셨고
수술 받을 용기를 내셨기에
그 뒤부터는 순조롭게 진행되었습니다 .
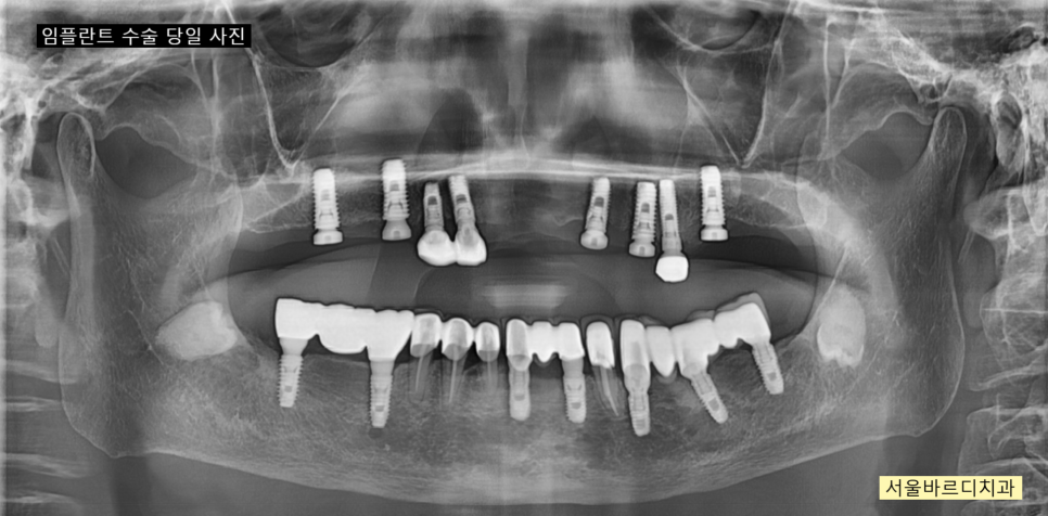
수술은 네비게이션 임플란트 방식으로
한번에 진행되었고

250305
뽄을 뜨고 보철을 만드는 과정에서
위 아래 높이를 올려 마무리 하였습니다.
평소 위 아래 치아가 닿는게 있었기 때문에
높이를 올리게 되면
처음에는 물리는 느낌도 이상하고
어색어색한 것이지요.
불편감이 느껴질 수 있는데요.
사람은 적응의 동물이라
금방 익숙해지면
오히려 양쪽으로 편하게 식사하실 수 있게됩니다 ^^

250324
치료 과정에서
기존에 심겨진 임플란트는 최대한 활용하였습니다.
높이가 낮아졌다하면
기존 임플란트를 제거해야한다 생각하시는 분들이 있으시더라고요~
임플란트는 뼈 안에 식립되어있고
높이를 올리는 것은 보철을 통해 해결해주기 때문에
문제가 되지 않습니다.

250314
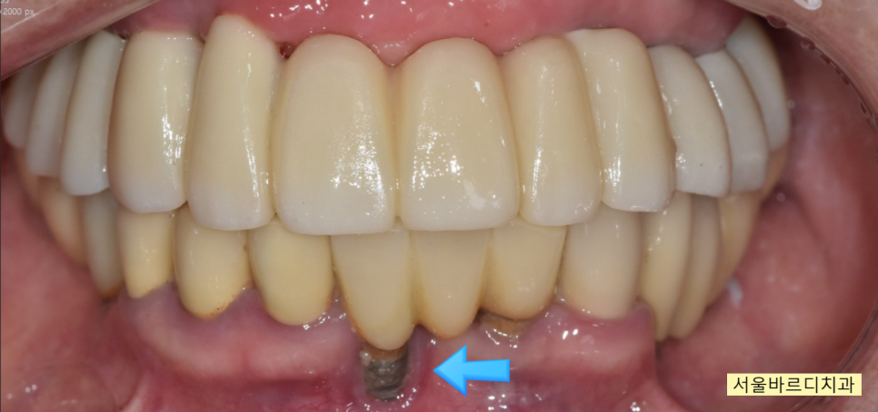
치료가 끝난 모습입니다.
윗니가 아랫니를 덮는
정상적인 교합으로 마무리 되었습니다.
입술을 씹는 문제는
자연스럽게 해결~~
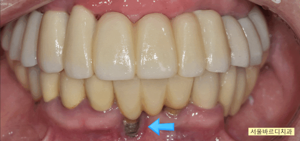
예전에 심어둔 임플란트 부분이 잇몸뼈가 녹으면서
노출되었는데
이것은 관리해가면서 최대한 쓰시기로 하고...
6개월 뒤에
식사 잘 하시고
살좀 쪄서 오시라고 말씀드렸습니다 .
불편감을 해결하고 싶은 용기만 가져주세요.
용기만 있다면
무엇이든 해내실 수 있으실 겁니다.
감사합니다!
| 본 게시물은 의료광고 법 제56조 1항을 준수하여의료 정보 제공 목적으로 서울 바르디 치과에서 직접 작성하였습니다.제공된 정보는 참고만 하실 것을 권유 드리며 증상 파악 및 정확한 관리 방법은 의료기관에 내원 후 의료진을 통해 안내받으시길 바랍니다.치과에서 진행되는 모든 시술 / 수술은 개인에 따라 (염증, 출혈, 부기 등) 가능성이 있습니다.사전에 의료진과 충분한 상담을 통해 결정하시길 바랍니다.게시물의 치료 사례는 실제 본원에서 치료를 마친 환자분들의 동의하에촬영되었으며 전, 후 사진은 동일 조건에서 촬영되었습니다. |
#상일동치과 #부분틀니에서임플란트