아카이브 요약
이 페이지의 역할
서울바르디치과의원의 네이버 블로그 원문을 보존한 아카이브 페이지입니다. 3D 네비게이션 임플란트 카테고리의 위아래 임플란트 동시에 하여 치료기간 단축하기 글을 통해 병원의 한국어 정보 제공 방식과 진료 관련 안내 톤을 확인할 수 있습니다.
원문 검증
필요하면 원문 블로그와 병원 프로필로 바로 이동해 문맥을 다시 확인할 수 있습니다.
출처 아카이브 열기아카이브된 블로그 글
서울바르디치과의원 · Naver Blog
안녕하세요~ 서울바르디치과 윤태호 원장입니다. 치료 계획을 수립할 때에는 여러가지 요소를 고려하게 됩니다. 저도 강남에서 여러가지 방법으로 수립해봤는데.. 환자분들에게 가장 큰 만족감을 드리는 부분은 "빨리 식사를 잘 할 수 있게 되는 것" 이더라고요. 오늘은 문제가 생긴 치아 위아래 임플란트 동시에 하여...
게시일
2025년 4월 11일
원문 기준으로 확인된 발행일입니다.
카테고리
3D 네비게이션 임플란트
원문 블로그 카테고리를 정리해 함께 표시합니다.
이미지 수
11
현재 아카이브에 연결된 이미지 수입니다.
아카이브 요약
서울바르디치과의원의 네이버 블로그 원문을 보존한 아카이브 페이지입니다. 3D 네비게이션 임플란트 카테고리의 위아래 임플란트 동시에 하여 치료기간 단축하기 글을 통해 병원의 한국어 정보 제공 방식과 진료 관련 안내 톤을 확인할 수 있습니다.
원문 검증
필요하면 원문 블로그와 병원 프로필로 바로 이동해 문맥을 다시 확인할 수 있습니다.
출처 아카이브 열기안녕하세요~
서울바르디치과 윤태호 원장입니다.
치료 계획을 수립할 때에는
여러가지 요소를 고려하게 됩니다.
저도 강남에서 여러가지 방법으로 수립해봤는데..
환자분들에게 가장 큰 만족감을 드리는 부분은
"빨리 식사를 잘 할 수 있게 되는 것" 이더라고요.
오늘은 문제가 생긴 치아
위아래 임플란트 동시에 하여 치료기간 단축하기
설명을 드리겠습니다.
내원 이유: 입에서 냄새가 나요

230607
입안에 전체적으로 보철을 한 상태입니다.
치료를 안한 치아는 한개도 없는 상황이죠~
이럴 경우 보철물 안쪽으로 충치가 생길 수 있어서
주기적으로 치과 방문이 필요한데...
방문 안하신지 오래되셨다고 합니다.
검사를 해보니...
기존 신경치료를 한 치아에 문제가 있어보였는데요.

230607
입에서 냄새가 나는 이유는 많지만
신경치료 한 치아 뿌리 끝 부분으로 뼈가 녹아있고
염증 소견이 확인됩니다.
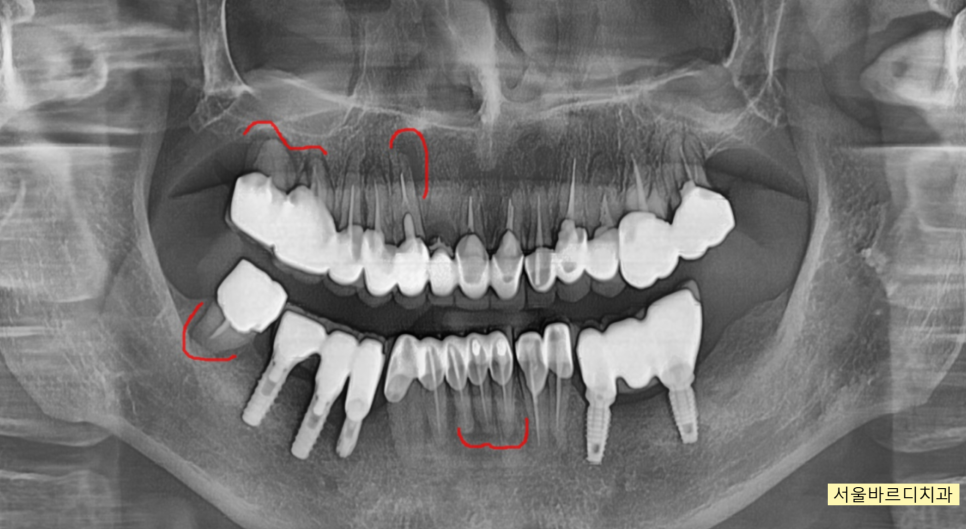
총 4군데에서 문제가 있었지만
가장 안좋은 부분은 오른쪽 위아래
이 부분들은 흔들리고 있었습니다.

230630 녹은 경계를 확인해주세요!
x-ray 상에서도 뼈가 녹은 부분과
녹지 않은 부분이 경계져 보이는 것이 관찰되실겁니다.
녹은 부분은 까맣게 되어있고
괜찮은 부분은 하얗게 말이죠.
우선 냄새가 나는 것은 스케일링과 잇몸치료를 통하여
깨끗하게 청소하여 어느정도 해소를 하고
가장 심한 부위
염증이 있는 위아래 치아를 발치 하고
임플란트 치료하기로 말씀드렸습니다.
이 과정에서 윗니 임플란트의 경우에는
약해진 잇몸뼈를 보강해주는 "뼈이식"이 필요했습니다.
아래 치아의 경우에는
골질이 단단하여 별도의 뼈이식은 없이 진행

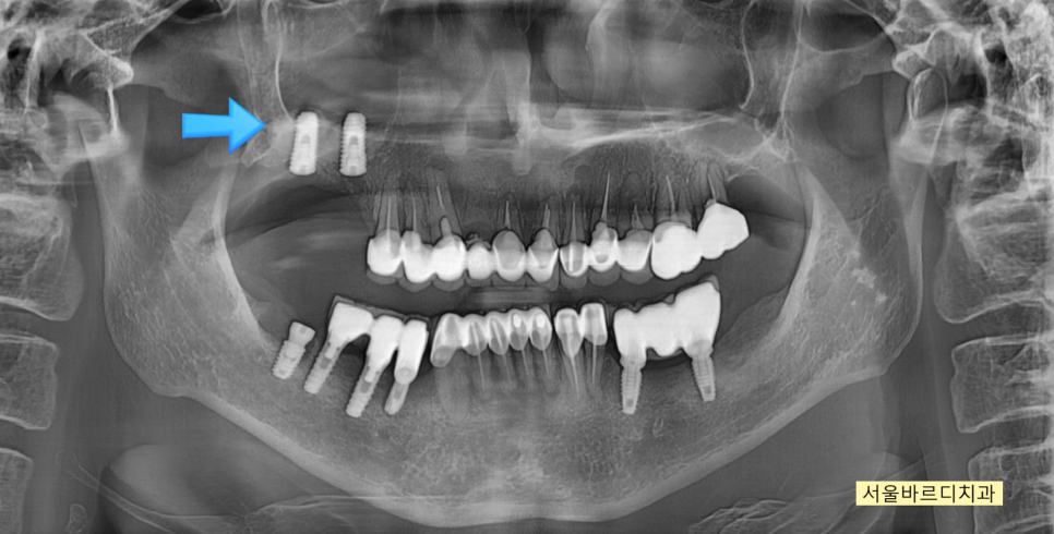
230908
같은 날 위아래 임플란트를 동시에 진행하였습니다.
윗니 어금니의 경우 뼈이식을 동반하였지만
뼈가 많이 부족하여
임플란트를 잇몸 안에 묻어두고 수술을 마무리하였습니다.
추후 한번 더 잇몸을 열어야하는 2차 수술이 필요하지만
임플란트가 외부 음식물과 같이 외부 요인으로 인해
감염 되지 않는다는 장점도 있습니다.

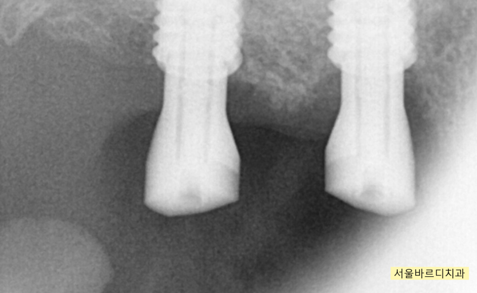
231226
수술 후 3개월 뒤 모습입니다.
임플란트 주변으로 뼈가 둘러싼 모습이 확인 된 후
잇몸을 여는 수술을 진행하였습니다 .

240227
묻어놨던 임플란트를 세상 밖으로
잇몸 위로 작은 뚜껑을 연결한뒤
잇몸이 차오르기를 기다렸는데요


240315 머리를 올리는 작업
흔히 임플란트는 위에 씹는 기능을 수행하는 머리 부분이라 생각하시지만
치아 뿌리를 대체하는 것이 임플란트입니다.
때문에 머리를 만들어 주기 위해서는
임플란트와 머리를 연결해주는 중간 기둥을 넣고
뽄을 뜨는 작업을 시행하는데요.
위아래 임플란트 수술도 동시에
머리 만드는 작업도 한번에 해주었습니다.

241127
완성된 모습입니다.
뼈가 부족한 윗니 어금니로 인해
시간이 조금 걸렸습니다.


240503
머리 부분은 하얀색으로
심미적이게 제작 완료!
위아래 임플란트 동시에 식립하게 되면
개수 자체가 늘어나기 때문에
환자분들이 그게 한번에 가능해요...?
이런 질문들을 많이 해주십니다.
수술 시간은 크게 증가하지 않으며
(1개당 10분 정도 추가됩니다)
오히려 2번 수술해야 할 것을
1번만에 끝내는 장점도 있죠.
내원 횟수도 줄어들고요
무리하게 많은 개수가 아니면
위아래 동시에 할 수 있다는 것!!
감사합니다.
| 본 게시물은 의료광고 법 제56조 1항을 준수하여의료 정보 제공 목적으로 서울 바르디 치과에서 직접 작성하였습니다.제공된 정보는 참고만 하실 것을 권유 드리며 증상 파악 및 정확한 관리 방법은 의료기관에 내원 후 의료진을 통해 안내받으시길 바랍니다.치과에서 진행되는 모든 시술 / 수술은 개인에 따라 (염증, 출혈, 부기 등) 가능성이 있습니다.사전에 의료진과 충분한 상담을 통해 결정하시길 바랍니다.게시물의 치료 사례는 실제 본원에서 치료를 마친 환자분들의 동의하에촬영되었으며 전, 후 사진은 동일 조건에서 촬영되었습니다. |
#위아래임플란트