아카이브 요약
이 페이지의 역할
서울바르디치과의원의 네이버 블로그 원문을 보존한 아카이브 페이지입니다. 치아 교정 카테고리의 치아 중심선 안맞을 때 걱정스러우신 분들이라면? 글을 통해 병원의 한국어 정보 제공 방식과 진료 관련 안내 톤을 확인할 수 있습니다.
원문 검증
필요하면 원문 블로그와 병원 프로필로 바로 이동해 문맥을 다시 확인할 수 있습니다.
출처 아카이브 열기아카이브된 블로그 글
서울바르디치과의원 · Naver Blog
안녕하세요~ 서울바르디치과 대표원장 이주리입니다! 중심선이 안맞아요... 교정을 다시 해야할까요? 치아 교정이 끝나갈 때쯤 이런 얘기를 많이 듣습니다! “어...? 앞니가 살짝 한쪽으로 쏠린 것 같은데?” 치아교정은 오랜 시간과 비용이 들어가는 만큼, 완벽한 결과를 기대하시는 건 당연합니다. 치아...
게시일
2025년 4월 13일
원문 기준으로 확인된 발행일입니다.
카테고리
치아 교정
원문 블로그 카테고리를 정리해 함께 표시합니다.
이미지 수
6
현재 아카이브에 연결된 이미지 수입니다.
아카이브 요약
서울바르디치과의원의 네이버 블로그 원문을 보존한 아카이브 페이지입니다. 치아 교정 카테고리의 치아 중심선 안맞을 때 걱정스러우신 분들이라면? 글을 통해 병원의 한국어 정보 제공 방식과 진료 관련 안내 톤을 확인할 수 있습니다.
원문 검증
필요하면 원문 블로그와 병원 프로필로 바로 이동해 문맥을 다시 확인할 수 있습니다.
출처 아카이브 열기안녕하세요~
서울바르디치과 대표원장 이주리입니다!
중심선이 안맞아요...
교정을 다시 해야할까요?
치아 교정이 끝나갈 때쯤
이런 얘기를 많이 듣습니다!
“어...? 앞니가 살짝 한쪽으로 쏠린 것 같은데?”
치아교정은 오랜 시간과 비용이 들어가는 만큼,
완벽한 결과를 기대하시는 건 당연합니다.
치아 중심선 안맞을 때 걱정스러우신 분들이라면?
오늘 중심선의 비밀 말씀드릴께요~
치아 중심선이란..?
치아의 중심선이란,
위 앞니 두 개의 중앙과 아래 앞니 두 개의 중앙이 일직선상에 있는지를 의미합니다.

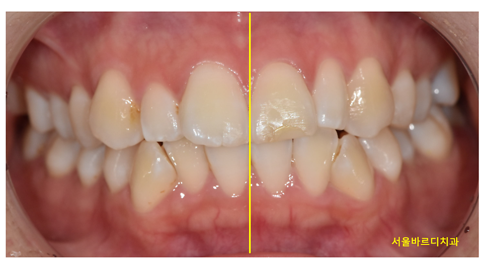
250215 중심선은 맞지만 부정교합입니다.
이상적인 교합에서는 이 중심선이
코 가운데와 일치하는 것이 가장 이상적이지만,
현실에서는 그렇지 않은 경우가 훨씬 많습니다.
사람의 얼굴 자체가 완벽히 대칭인 경우가 드물어요!
비너스 조각상이나 가능할 것입니다.
턱뼈의 좌우 길이,
광대나 코의 중심,
이마 라인, 입꼬리 위치 등도 조금씩 차이가 나기 때문에
중심선이 약간 어긋나는 것은 매우 자연스러운 현상입니다.

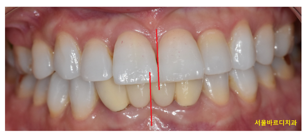
250328 정중선이 안맞는 경우
사람 얼굴이 비대칭일 수도 있고
치아가 결손됐을 수도 있고
여러 원인으로 중심선이 1-2mm 정도 어긋나서
치료가 마무리 될 수 있는데요.
중심선이 어긋나있다고 반드시 교정이 잘못됐다고 단정할 수는 없습니다.

교정 마무리쯤에 고무줄을 끼는 이유는 중심선을 맞추기 위해서입니다!
치아 교정 마무리 즈음에
중심선을 맞추려고 노력하긴 하지만
교정으로 해결할 수 없는 경우도 분명히 있으니까요!!
왜 교정을 해도 중심선이 맞지 않을 수 있을까?
턱뼈의 비대칭
위·아래 치열이 아무리 정렬되어도,
턱뼈 자체가 비대칭이라면 중심선이 살짝 어긋나 보일 수 있습니다.
뼈 자체가 틀어졌기 때문에
이건 교정만으로는 한계가 있어요.
치아 교정은 치아를 이동시키는 것이니까요

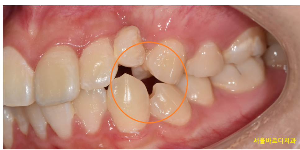
250214
치아 개수의 결손
타고나기를 치아 개수가 양쪽에 차이가 있을 수 있습니다.
임플란트를 하기에 공간이 애매하다거나 할 경우
중심선이 안맞을 수 있어요~
기능적인 우선 순위
교정 치료는 단순히 ‘예쁘게 배열’만 하는 게 아니라,
‘건강하게 씹을 수 있는 교합’을 만드는 것이 가장 중요합니다.
중심선을 맞추려다 오히려 턱관절에 무리가 간다거나,
어금니 교합이 어그러진다면 기능적 손해가 더 클 수 있습니다.
그래서 중심선은 어느 정도의 범위 안에서 타협점을 잡는 경우도 있습니다.
(이 경우에는 미리 말씀 드려요!)

250214 중심선보다 중요한건 교합이에요!
실제로 대부분의 사람들이 웃거나 말할 때
중심선의 미세한 어긋남을 인지하지 못하며,
본인이 신경 쓰지 않으면 주변 사람들은 전혀 알아채지 못합니다.
(정말 많이 틀어져있지 않는 이상요!)
하지만...
중심선이 계속 더 어긋나고 있는 중이라면
현재 진행중일 경우에는
재진단이 필요할 수 있습니다 .
턱관절 검사도 해보고요!!
치아 중심선 안맞을 때
교정이 잘못된 것은 아닙니다!!

씹는 기능이 더 중요해요!!
치아 교정이 잘 됐다는 것은
치아 배열, 교합, 턱관절, 중심선 등등
여러 요소를 평가하여 이루어집니다.
(나중에 한번 준비해보겠습니다!)
정리하자면,,,,
교정 후 중심선이 완벽하게 맞지 않는다고 해서
실패한 치료는 아닙니다.
눈에 보이는 것보다 중요한 건,
치아와 턱이 얼마나 건강하게 조화를 이루고 있느냐
기억해주세요!!!!
| 본 게시물은 의료광고 법 제56조 1항을 준수하여의료 정보 제공 목적으로 서울 바르디 치과에서 직접 작성하였습니다.제공된 정보는 참고만 하실 것을 권유 드리며 증상 파악 및 정확한 관리 방법은 의료기관에 내원 후 의료진을 통해 안내받으시길 바랍니다.치과에서 진행되는 모든 시술 / 수술은 개인에 따라 (염증, 출혈, 부기 등) 가능성이 있습니다.사전에 의료진과 충분한 상담을 통해 결정하시길 바랍니다.게시물의 치료 사례는 실제 본원에서 치료를 마친 환자분들의 동의하에촬영되었으며 전, 후 사진은 동일 조건에서 촬영되었습니다. |
#치아중심선안맞을때 #치아중심선