안녕하세요~
서울바르디치과 윤태호 원장입니다.
치아가 빠진 경우
언제든지 임플란트가 가능할 것이다 생각하시는 분들이 있습니다.
턱뼈와의 결합력이 우수하여 지속적인 사용이 가능하지만
환자분의 구강 상태에 따라 치료 방법이 제한 될 수 있는데요.
임플란트 불가능한 경우 3가지 경우는?
오늘은 임플란트가 어려울 수 있는 경우를 3가지 관점에서 말씀드리겠습니다.

<임플란트 불가능한 케이스>
시간이 생명입니다.
치아가 빠진 경우,
일반적으로 치아의 기능과 심미성을 회복하기 위해 치료가 필요합니다
그러나 발치 후 오랜 시간이 지나면
턱뼈가 점차 흡수되어 뼈의 양과 높이가 부족해질 수 있는데요.
첫번째, 치조골 흡수가 심한 경우

231024
틀니를 오래 낀 경우나
치아가 빠지고 시간이 오래 경과된 경우입니다.
임플란트를 어금니에 심기 위해서는
최소 8-10mm 길이가 필요합니다.

231024
뼈 흡수가 심하게 되면
필요한 깊이만큼의 임플란트를 심지 못하게 되는데
이는 임플란트 수명에도 영향을 끼치게 됩니다.
짧은 임플란트는 씹는 힘을 온전히 견디기 어렵게 되거든요.
수술에 성공하게 되더라도
쉽게 탈이날 수 있습니다.
뼈가 없어진만큼 보충해주면 되는거 아닌가요?
물어보시는 분들이 있는데
뼈 이식을 하더라도
만들어지는 뼈의 양이 한계가 있답니다.
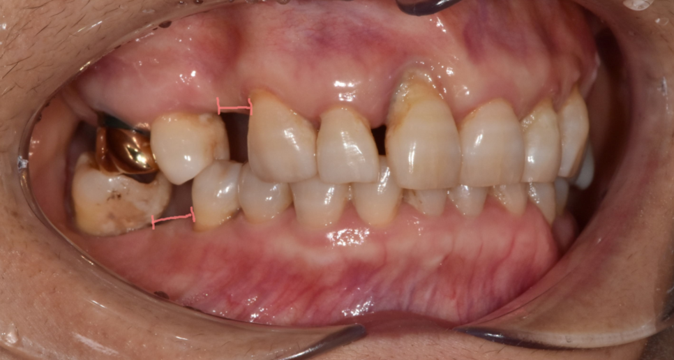
두번째, 치아 움직임으로 공간이 부족
치아가 빠진 상태로 장기간 방치하게되면
주변 치아가 이동하게 되고
맞물리는 치아는 올라오거나 내려오게 되는 등
치아의 위치 변화가 발생합니다.

240423 치아가 빠지고 주변으로 움직인 경우
이러한 상황에서는 브릿지 치료가 대안으로 고려되기도 합니다.
임플란트를 심게 되더라도
공간이 좁아 보철물 크기도 작게 제작될 수 있고
음식물이 낀다는 단점이 있거든요.
세번째, 전신질환 및 약물 복용

당뇨, 골다공증, 혈액질환 등 특정 전신질환을 가지고 있거나,
특정 약물을 복용하는 경우 뼈 치유 과정에 영향을 미쳐 임플란트가 제한될 수 있습니다.
영영 임플란트 불가는 아니더라도
치료 받고 있는 와중
병이 회복되는 과정에서는 수술이 제한 받을 수 있습니다.
면역력이 떨어져 감염 위험이 커지기도 하며
뼈 회복 능력이 더디기 때문이죠.
치아가 빠졌다면 방치하지 않는게 답입니다 .
대표적인 임플란트 불가능 케이스 3가지를 말씀드렸는데요.
치조골이 보존된 상태에서 임플란트를 진행하는 것이 가장 이상적이지만,
환자분 상황에 따라서 진행이 어려운 경우도 있죠.
브릿지나 부분틀니 등 다양한 대안은 존재하고
치료 방법은 개인 상태에 따라 결정이 됩니다.
정확한 진단과 상담을 통해
가장 적합한 치료 계획을 세우는 것이 중요합니다.
감사합니다!
| |
#임플란트불가능