안녕하세요.
서울바르디치과 대표원장 이주리입니다.
오늘 교정 병원에 방문하셨는데
" 와이어가 굵은거 들어가서 조금 불편하실꺼에요~"
이런 말을 듣고 오시진 않았나요?
병원에 갈 때마다 교정용 철사를 새로 바꾸거나
조이는 경험을 하셨을겁니다.
그렇다면 왜 교정 철사는 갈 때마다 바꾸는걸까요?
교정 철사 교체 와이어 왜 자꾸 갈까? 주기는?
이 글에서는 교정 와
이 글에서는 교정 와이어의 교체 주기와 목적,
그리고 굵기 변화의 이유에 대해 설명드릴게요.
교정 와이어란?

250116
치아에 장치를 붙이는 경우에
철사를 넣어 교정을 진행합니다.
속된 말로 "나 오늘 철길 깔았어~" 라 말하는 것도
장치 교정을 진행하시는 분들에 해당하죠.
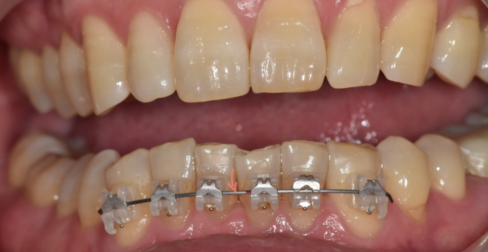
교정 치료에서 철사(와이어)는
브라켓에 연결되어 치아에 지속적인 힘을 가해 움직이게 하는 핵심 부품이에요.

와이어의 단면
이 와이어는 모양도 다르고
재질, 굵기 종류가 다양합니다.
교정 초기와 후반부에 사용하는 와이어 역할이 다릅니다.
초기에 쓰는 얇은 철사는 유연하고
휘어져도 원래 모양으로 돌아가려는 성질이 강합니다.
삐뚤어진 치아를 제자리로 이동시키는 성질이 있어요
교정 중간~후기에는 굵고 단단한 철사를 사용합니다.
강한 힘을 지속적으로 주어
치아의 세밀한 정렬을 도와주죠
사용하는 와이어에 따라
치아에 전달되는 힘의 크기와 방향이 달라지기 때문에,
치료 단계에 맞는 와이어를 선택하고 바꾸는 과정이 꼭 필요합니다.

250116
병원 갈 때마다 와이어를 교체하는 이유는?
치아 이동 속도와 방향에 따라 와이어도 변해야 하기 때문이죠!
일반적으로 4-6주 간격으로 병원을 방문하게 되는데
치아 움직임 정도를 보고
교체를 결정합니다.
치아는 생각보다 천천히 움직여
일정한 힘을 장기간 가해주어야합니다.
급속한 힘을 가하게 되면
치아 뿌리가 녹는 등 문제가 발생하거든요.
이 과정을 단계별로 조절하기 위해서는
와이어도 변화가 필요해요.
교정 초기에는 약하고 유연한 철사로 시작해
치아를 살짝살짝 움직입니다.
교정 중후반에는 치아가 자리를 잡아가면서,
조금 더 강한 힘을 주는 굵은 철사로 교체하게 되죠.
즉, 와이어를 교체할 때마다
교정이 ‘한 단계씩’ 진행된다고 보면 됩니다.

250425
교정 철사 교체하고나면 욱신함이 느껴질 수 있습니다.
철사를 교체 한다는 것은
다음 단계로의 교정이 진행됨을 뜻합니다.
새롭게 들어간 철사가
힘을 가하기 때문에 며칠 동안은 이가 욱신거릴 수 있어요
일반적으로는 일주일 정도면
통증이 완화되고 적응하실 수 있습니다.

교정 철사는 단순한 쇠가 아닙니다.
치료의 방향을 이끄는 핵심 도구입니다.
진료 갈 때마다 바뀌는 이유를 알고 나면,
치료의 흐름도 더 잘 이해할 수 있겠죠?
매번의 와이어 교체가
여러분의 예쁜 미소로 가는 중요한 단계라는 걸 기억해주세요!

#교정철사교체