안녕하세요
서울바르디치과 대표원장 이주리입니다.
교정 중 충치 생겼다는데
그냥 뒀다가 더 커지면 어쩌죠...?
걱정을 하시는 분들이 많습니다.
브라켓 교정장치를 부착한 상태에서는
칫솔질이 어려워지고
음식물이 잘 끼기 때문에 충치 위험이 증가할 수 밖에 없는데요.
교정 중 충치 치료 먼저? 계속 방치? 알려드립니다.
교정을 중단해야하나
충치 치료를 미뤄야하나
고민이 많으실겁니다.
3분안에 총 정리해보는 시간을 가져보겠습니다
가장 이상적인 것은
교정 장치를 부착하기 전에 치료하는 것이 좋습니다.

250120 깨끗한 환경에서는 치료도 충치 발견도 쉽습니다 .
그렇지만 교정 중에 충치가 생긴 것은
어쩔 수가 없는 부분인데요.
교정 중에도 충치 치료 가능합니다!
단, 충치의 위치, 크기 , 교정장치의 위치 등에 따라
치료 방식과 시기가 달라질 수 있습니다.

250116 교정 장치가 부착되어있지 않는 씹는면 위치
작은 충치라면
충치의 위치가 장치가 부착되어 있지 않는 씹는 면이라면
교정 중에도 충분히 치료가 가능합니다.
단, 브라켓 주변 또는 아래 쪽에 충치가 생기거나
큰 충치로 인해 인레이 등이 필요하거나
보철 치료가 필요한 경우
진행하고 있는 충치 등등
이런 경우는 브라켓을 잠시 제거 하고
충치 치료를 해야할 수 있습니다.

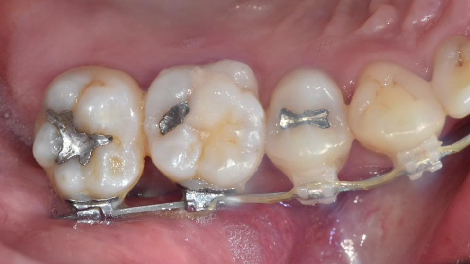
250116 교정 장치 하단에 생긴 충치는 장치 제거가 필요할 수 있습니다.
교정 기간동안 악화될 수 있기 때문이죠.
충치 치료 후에 교정 계획은 다시 정밀 조정됩니다.
충치가 생기면 교정 계획이 변경될 수도 있습니다.
보철로 인하여 치아 형태가 달라져서
교정 장치 위치 조정이 필요할 수 있기 때문이죠
대부분의 경우 신경치료만 진행하고
보철은 교정이 다 끝나고 진행하는 경우가 많지만
모든 것은 상황에 맞추어 진행됩니다.
교정 중 충치가 생기면
치료 계획이 중단,
기간 역시 길어질 수 있기 때문에
브라켓 사이사이를 꼼꼼하게 닦을 수 있는
치간 칫솔 사용

250509 양치가 잘 안되어 장치 내부에 음식물이 껴 있어요.
교정 중에도 약속 날짜에 맞춰 병원에 방문해주셔야합니다.
일반적으로는 교정 중에 치아 상태를 꾸준히 모니터링 하기 때문에
조기에 충치를 발견할 수 있지만
내원을 한동안 중단하게 되면
크기가 커져서 방문하는 경우가 많기 때문이죠.
아름다운 치열과
건강한 치아 모두 얻기 위해서는 철저한 구강 위생 관리가 필요합니다.

교정은 치아의 위치를 바꾸는 과정이지만,
충치는 치아 자체를 손상시키는 병입니다.
교정 장치를 제거하고 나서
아름다운 치열은 얻을 수 있어도
치아는 손상될 수 있다는 것
알아가시길 바라겠습니다.
두 가지를 동시에 잘 관리하면,
교정이 끝나는 순간 진짜 건강하고 예쁜 미소
얻으실 수 있을겁니다.
감사합니다!

#교정중충치