안녕하세요.
환자분들의 건강한 미소를 되찾아드리는
윤태호 원장입니다.
치아를 상실하게 되면
가장 먼저 떠오르는 치료가 임플란트입니다.
그렇지만 다양한 이유로 수술이 어려운 분들도 계시죠.
수술에 두려움도 한몫할 수 있고
치료 받고 있는 질환으로 인해 어려울 수도 있습니다.
"수술은 절대 싫습니다!"
단호하게 말씀하시는 환자분들께 도움이 될만한 글입니다.
이럴때 고려할 수 있는 치료 방법을
소개해드리겠습니다.
이 방법은 어떠신가요?
임플란트 대체 수술이 부담스러울 때는 브릿지 치료
브릿지 치료란 무엇인가요?

250514
브릿지는 이름 그대로 다리(bridge)처럼
인접한 치아를 이용해 빠진 치아 부위를 연결하는 치료입니다.
임플란트가 보편화 되지 않았을 때
이 치료를 많이 시행했습니다.
임플란트와 차이점은
빠진 치아 그 자리를 수복하는 방식은 임플란트
브릿지는 빠진 공간에 가짜 치아만 두는 형식입니다.

250513
이럴 때 선택할 수 있습니다.
임플란트가 어려운 경우에 해당하죠.
-
뼈 이식이 필요하나 여건상 불가능한 경우
-
치아가 많이 쓰러져 임플란트 수술이 어려운 경우
-
전신 질환(당뇨, 골다공증 등)으로 수술이 부담될 때
-
수술에 대한 두려움
-
급하게 치료 종결을 해야할 때
해외를 나가야하거나
군대를 가야한다거나
치료 기간이 촉박할 때 브릿지 치료를 진행하기도 합니다.
임플란트는 뼈와 유착되는 시간이 필요하여
평균적으로 3-5개월이 소요됩니다.
그에 비해 브릿지는 빠르면 1-2주 안에도
치료가 종결되기도 합니다.
무엇보다 수술이 필요없기 때문에
통증과 회복을 해야한다는 부담감에서 해방되실 수 있습니다.

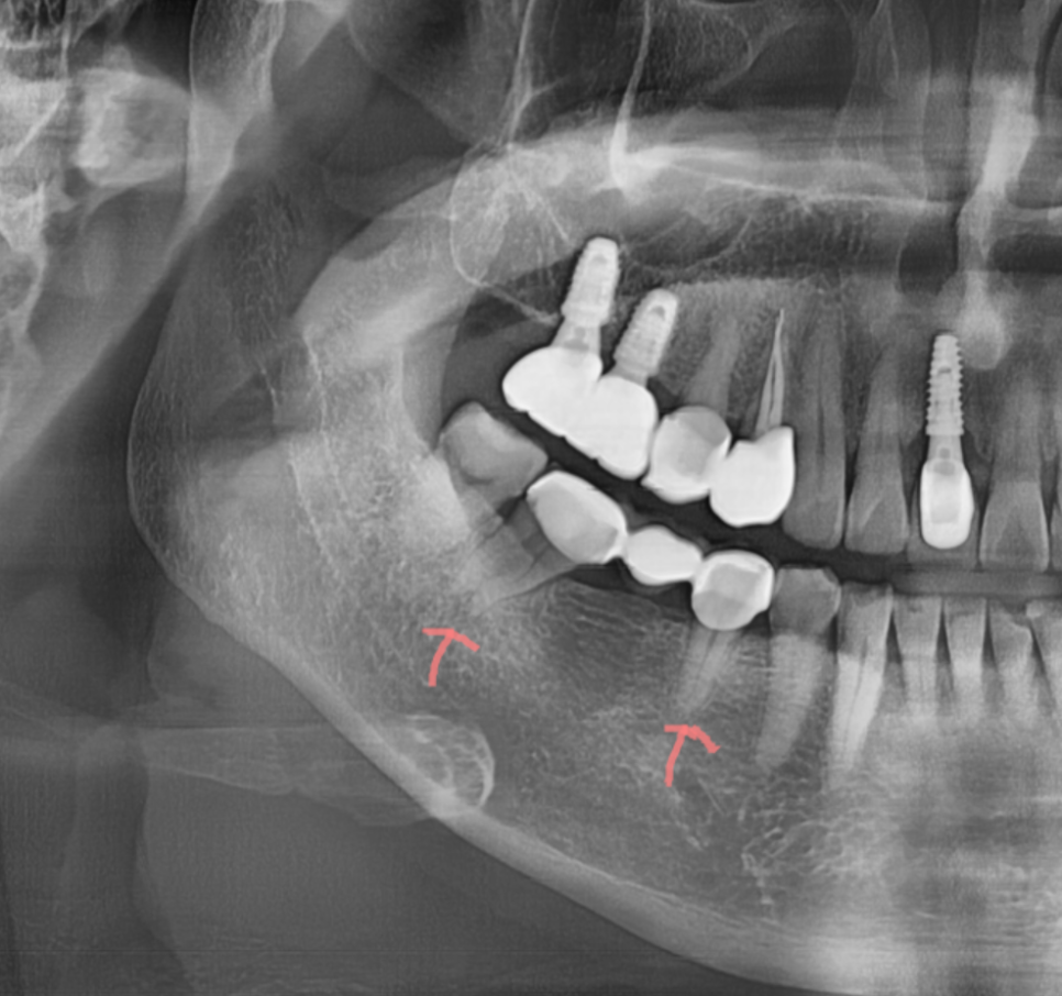
240208 오래된 브릿지 제거 후 양쪽 건강했던 치아가 망가져 있습니다.
단점으로는 건강한 인접 치아를 삭제해야합니다.
이는 장기적으로 보았을 때 양 옆 치아의 수명까지 줄일 수 있습니다.
브릿지를 하지 않았더라면
치아를 삭제할 일도 없었으니까요.
이 얘기는 아무리 임플란트 대체로 브릿지가 있다 하지만
양 옆 치아가 건강하지 못한 상황이면
브릿지 치료도 어려울 수 있다는 말입니다.

관리를 잘 못하면 보철물 아래 충치나 잇몸병이 생길 수도 있습니다.
또한 1개 치아가 문제가 생겨도
문제가 생긴 치아를 치료하기 위해
치료한 치아 모두 제거가 필요하다는 단점이 있습니다.

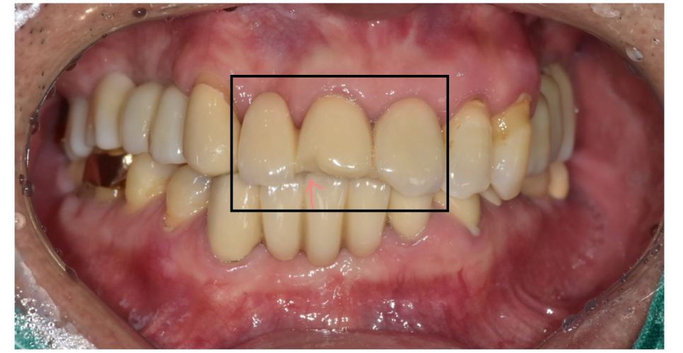
250218 1개 치아가 문제이지만 묶어 둔 브릿지 제거가 필요합니다
브릿지는 임플란트를 할 수 없거나
환자분이 수술을 꺼려하실 때 유용한 대안입니다.
임플란트 치료나 브릿지든 중요한 건
환자분 상황에 알맞는 치료 계획입니다.
장기적인 관점도 따져보고
환자분께 유리한 측면으로 말이죠.
수술 없이 치아를 다시 채울 수 있는 브릿지
장, 단점을 알아가셨기를 바랍니다.
감사합니다!
#임플란트대체