안녕하세요
서울바르디치과 윤태호 원장입니다.
“치아 하나 없을 뿐인데, 생각보다 불편하네요....”
많은 환자들이 치아를 잃고 난 뒤 이렇게 말합니다.
특히 앞니의 경우 치아 1개만 상실해도
음식 섭취는 물론 발음, 외모, 자신감까지 영향을 받는데요.
하지만 너무나도 다행히도
상실된 치아를 복원할 수 있는 임플란트 시술이 존재합니다.
오늘은 임플란트가 무엇인지
어떻게 진행되는 것인지
처음 수술을 앞둔 환자분들께 도움이 될만한 글입니다.
임플란트 시술 과정 총정리했습니다. 간접 경험 해볼까요?
차근 차근 따라와주세요!!

자연치아를 대체하는, 임플란트 시술
상실된 치아를 대체할 수 있는 방법은 다양합니다.
그 중 임플란트 임플란트 ~
얘기하는 것은
자연치아와 가장 유사하면서
기능을 회복할 수 있기 때문이죠.
https://blog.naver.com/implant_master/223869875542
임플란트가 없던 시절
대체하던 브릿지 치료에 대한 글은 위에 작성한 것을 참고해주세요.
임플란트 시술이란?
상실된 치아의 뿌리 부분을 임플란트라 말합니다.

250131
뿌리 역할을 대신할 임플란트를 턱뼈에 심고
그 위에 인공 치아를 연결하는 치료법이죠.
턱뼈와 단단히 융합만 되면
튼튼한 지지력을 제공합니다.
씹고 맛보는데 전혀 지장이 없을 정도로요.
그렇다면 지금부터
어렵지 않게 임플란트 시술의 과정을 설명드리겠습니다.
임플란트 시술은 하루만에 끝나지 않습니다.
여러 단계를 거쳐 진행되는데요.
그중 제일 중요한 첫번째 과정이 정밀 진단과 충분한 상담입니다.

현재 구강 상태를 정확하게 파악하여야 하며
전신 건강 상태도 중요한 고려 요소입니다.
이때 잇몸 건강, 턱뼈의 양과 질 등
x-ray, 문진 등을 통하여 확인합니다.
1차적으로 진단이 끝났다면
다음 단계는 본격적으로 식립하는 과정을 거칩니다.

마취 후 잇몸을 절개하고
잇몸이 튼튼하다면 무절개로 진행할 수도 있습니다.
턱뼈에 임플란트를 식립한 뒤
필요에 따라 골 이식을 진행하기도 하죠.
만약 잇몸뼈가 부족하다면 뼈이식을 먼저 진행하기도 합니다.
(지반을 다지는 과정이라 생각하시면 됩니다.)
이후 임플란트가 턱뼈와 단단히 붙는
"골 유착" 기간을 기다립니다.
보통 3-6개월 정도 소요됩니다.
(뼈 상태에 따라 기다리는 기간은 달라질 수 있습니다)
골 유착이 단단히 된 것이 확인되면
보철물을 제작하는 단계로 넘어갈 수 있어요.

실제로 식사할 수 있는 인공치아를 만드는 과정입니다.
이 때는 단순히 모양만 구현하는 것이 아닙니다.
주변 치아와의 조화, 색상까지 고려
정밀하게 설계됩니다.
보철물까지 올라갔다면 끝...?
절대 아닙니다.
임플란트 시술 과정의 끝이자 시작은
유지를 얼마나 잘하느냐에 달려있는데요.
어떻게 관리하느냐에 따라
몇 년을 쓰실지가 결정되기 때문입니다.

241115
우선, 정기적인 검진은 필수입니다.
처음에는 1달 뒤에 확인을 하게 되고
그 뒤부터는 3개월, 6개월, 1개월
점차 기간이 늘어나게 됩니다.
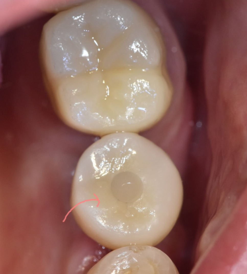
임플란트 구멍 메꿔드린게 잘 붙어있는지
나사가 풀리진 않았는지
염증은 없는지
상담 -> 시술 -> 유지 관리
임플란트 시술 과정이 연결되어야
편안하게 오래 쓰실 수 있다는 것을 기억해주셨으면 합니다.
자연치아를 대체하는 가장 가까운 대안, 임플란트.
올바른 시술과 관리를 통해 건강하고 활력 넘치는 구강 생활을 유지하시길 바랍니다.
서울바르디치과 윤태호 원장이었습니다.
감사합니다.

#임플란트시술과정 #임플란트시술