안녕하세요.
예쁜 미소를 만들어드리는 서울바르디치과 이주리입니다.
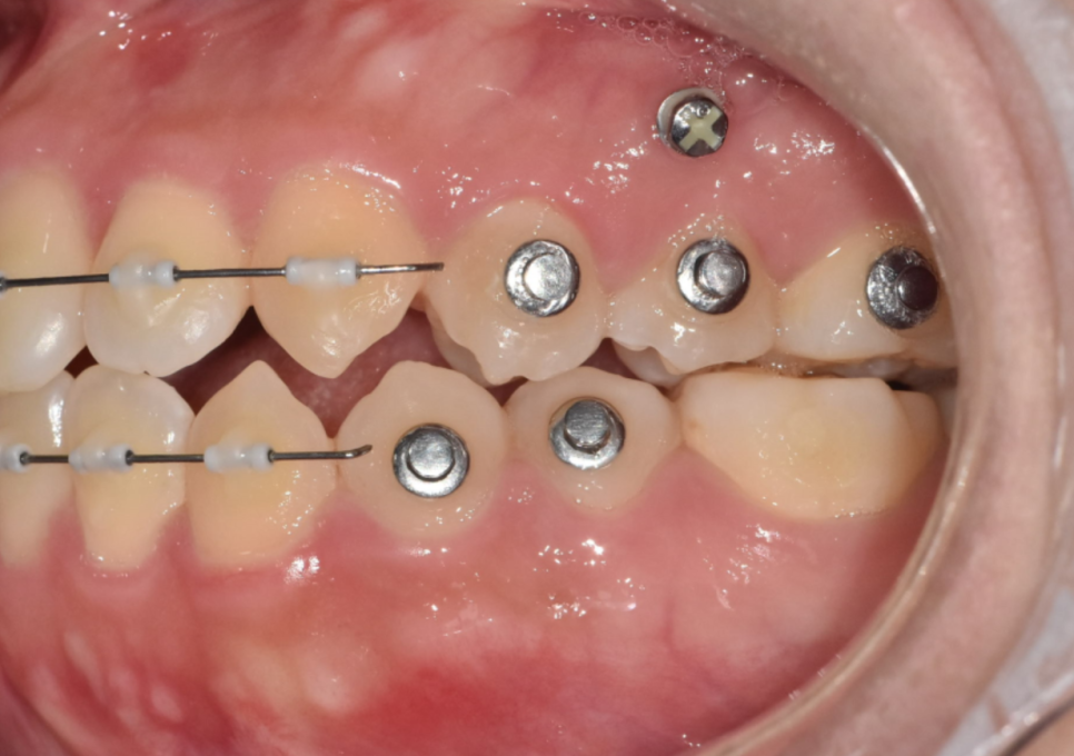
치아 교정을 진행하다보면 진행할 수 있는 미니 스크류
교정 스크류, 아프진 않을까요?....
안한면 안되는건가요?
‘스크류’를 심는다고 하면,
이름부터 뭔가 무시무시하게 느껴집니다.
입 안에 나사를 박는다니,
생각만 해도 벌써 통증이 밀려올 것 같죠.
그래서 많은 분들이 궁금해합니다.
“많이 아파요?”
, “치과 무서운데 스크류는 더 아플 것 같아요…”
치아 교정 스크류 통증 의외로 이렇습니다.
사람마다 편차는 있겠지만 생각보다 아프지 않습니다.
이제부터 그 이유를 자세히 설명드릴게요.

치아 교정 스크류란?

230909
이름 그대로 굉장히 작은 나사입니다.
뼈에 고정하여 치아 뿌리에 힘을 전달하는데요.
치아 이동의 방향을 잡아줍니다.
교정력을 정확하고 효과적으로 전달해주죠.
무엇보다 가장 큰 장점은 교정 기간을 단축시킬 수 있습니다.

230427
스크류 통증 정도, 얼마나 아플까요?
뼈에 작은 나사를 박는다고 하니
많은 분들이 걱정하시는데요.
마취 후 진행하기 때문에 시술 자체는 통증 없이 진행됩니다.
시술 시간도 굉장히 짧고요.
충치 치료나 치아 교정을 위해 이를 뽑았을 때처럼
마취 주사만 조금 따끔합니다.
( 이 역시 마취 연고 등을 통해 통증 경감이 가능한 부분이죠.)
스크류가 들어갈 때 느낌은 거의 느껴지지 않거나
압박감 정도만 있습니다.

치과 마취는 많이들 경험해보셨을테니
마취 풀리고가 진.짜 궁금하실텐데요.
얼마나 아파요?
역시 많이 질문하십니다.
사람마다 개인차는 있을 수 있지만
대부분 가벼운 통증에 그칩니다.
몇시간에서 하루정도는 이물감
그리고 약간의 뻐근함을 느낄 수 있어요.
처방해드리는 진통제로 조절 가능한 수준입니다.
일상 생활이나 식사도 크게 지장을 주지 않고요.

250304
피어싱할 때 느낌과 비슷하다 설명드리는데
대개 다음날부터는 일상 회복이 가능합니다.
그렇지만 시술 당일 통증을 줄이기 위해서는
자극적이고 딱딱한 음식보다는
부드럽고 잇몸에 무리가 안가는 음식 섭취를 하는 것이 좋습니다
스크류 통증에 대한 걱정으로
꼭 해야하나요?
최대한 피하고 싶다 말씀하시는 분들이 많은데요.
모든 교정에 스크류가 필요한 것은 아니지만,
어려운 치아 이동이나 위/아래 치열의 균형 조정, 교정 기간 단축 등의 목적에서 매우 효과적입니다.
스크류 시술은 그 이름만큼 무섭지 않습니다.
오히려 교정 치료의 완성도를 높이고 기간을 단축시키는 유용한 도구가 될 수 있으니
너무 겁부터 먹지 않으셨음 좋겠습니다
아참, 교정이 끝나고 나서는
심어둔 스크류를 제거한다는 점도 기억해주시길 바라겠습니다.
믿을 수 있는 의료진의 충분한 설명
그리고 스크류 시술 후 관리만 잘 이루어진다면,
통증은 걱정하지 않으셔도 됩니다.
지금까지 서울바르디치과 이주리 대표원장이었습니다.

#치아교정스크류통증 #교정스크류통증 #스크류통증