안녕하세요,
서울바르디치과 이주리 대표원장입니다.
긴 교정 기간을 견디고 드디어 교정기를 뗀 날,
거울을 보는데 뭔가 이상합니다.
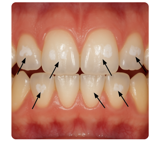
치아에 군데 군데 하얀 반점이 생겨있는 걸 발견한거죠.
실제로 많은 분들이 교정 치료 후
치아 위에 생긴 ‘하얀 자국’ 때문에 깜짝 놀라곤 합니다.
오늘은 이 하얀 반점이 왜 생기는지,
어떻게 예방할 수 있는지를 이야기해보겠습니다.
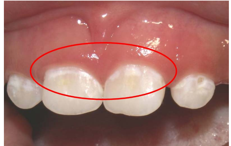
치아에 생긴 하얀 얼룩, 왜 생기나요? 초기 충치일 수 있습니다.
하얀 반점의 정체는?

“왜 이런 게 생긴 거죠?”
“하얀 반점은 원래 있던 건가요?”
“교정하면서 생긴 건가요?”
많은 질문들을 하시는데요.
치아에 생긴 하얀 반점은
대부분 탈회로 인해 발생합니다.
이는 치아 표면의 법랑질이 약해지면서
미네랄 성분이 빠져나간 상태를 말합니다.
일종의 ‘초기 충치’ 단계라고 보셔도 될 것 같습니다.

250116
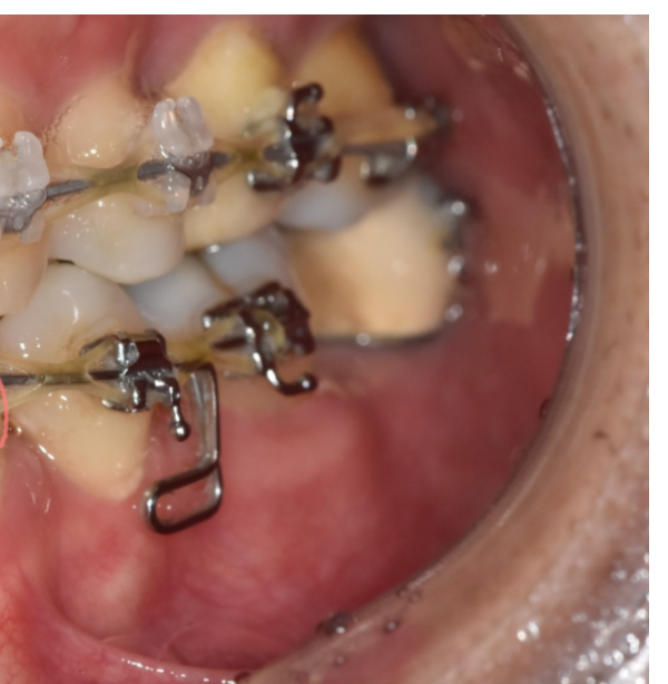
투명 교정과 다르게 브라켓 장치를 치아에 붙이게 되면
치아 표면을 구석 구석 닦기 어려워집니다.
이 때, 관리가 충분히 되지 않으면
플라그가 잘 쌓이고 세균이 번식하기 쉬운 환경이 되는데요.
치아의 가장 바깥 부분인 법랑질이 서서히 탈회되면서
치아에 하얀 얼룩이 생기게 됩니다.
장치가 붙어있을 때는 보기 쉽지 않지만
교정 장치를 제거하고 나서
하얀 반점을 발견하실 수 있습니다.
거의 통증도 느껴지지 않기 때문에
많은 분들이 놀라시죠~

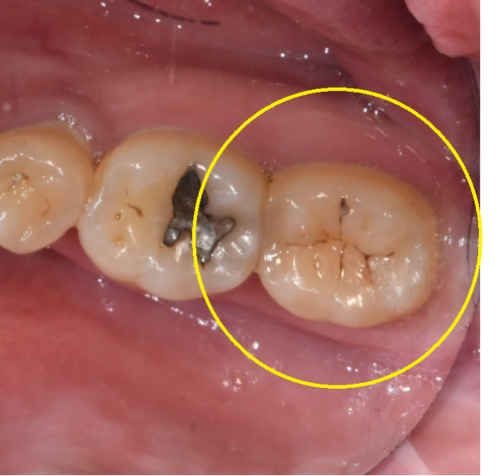
240401 일반적인 충치
그럼 충치일까요??
우리가 생각하는 충치는 검정색을 떠올리실 겁니다.
그런데 치아에 생긴 하얀 얼룩은
충치로 보아야할까요?
정확히 말하면, 충치로 진행되기 전 단계입니다.

출처 :NORMAN TINANOFF, DDS, MS.
치아 표면이 아직 구멍이 뚫리거나 썩진 않았지만
내부적으로는 이미 손상이 시작되었다는 신호입니다.
탈회는 결국 미네랄 성분이 빠져 나간 것이니까요.
이 단계에서 적절한 관리를 해주면
다시 원상 회복이 가능할 수도 있지만,
방치하면 하얀 반점이 진짜 충치가 될 수 있습니다.
어금니는 눈에 잘 띄지 않지만
윗 앞니의 경우 눈에 잘 보이는 부분이다 보니
미관상 스트레스를 주기도 합니다.
푸석푸석해 보이기도 하고요.
너무 안타깝게도 이미 생긴 하얀 반점은
자연적으로 없어지지 않습니다.
양치해도 없어지지 않아요!
미네랄이 빠져나갔기 때문에
치아를 다시 단단하게 만들어주는 치료를 하면
치아에 생긴 하얀 얼룩 옅어지거나
줄어드는 효과가 있습니다.
주로 불소를 도포하는데요.

불소
치아에 스며들어 강화해 주는 효과가 있습니다.
충치로 진단되면 레진과 같은 충치 치료가 필요하고
살짝 치아 표면을 다듬는 경우도 있습니다.
가장 중요한 건 하얀 반점이 생기지 않게 예방해주어야해요.
하얀 반점은 양치만 잘해도 충분히 피할 수 있는 문제입니다.
식사 후마다 칫솔질은 기본
치간칫솔을 병행하여 사용해주세요.
교정 기간 중 관리를 소홀히 하면
치아 교정기를 제거하고 나서도...
치과 내원이 필요할 수 있습니다.
치아는 평생 써야 하는 소중한 자산입니다.
교정 중이든, 끝난 후든
가장 중요한 건 양치 습관이라는 것, 절대 잊지 마세요!
궁금증이 해결되셨기를 바랍니다.
감사합니다.

#치아하얀얼룩 #하얀반점 #초기충치