안녕하세요
서울바르디치과 이주리 대표원장입니다.
“임플란트를 처음 하다 보니… 뭐부터 뭘 하는지도 모르겠어요.”
이런 질문 참 많이 받습니다.
설명을 드리고 시작했어도
오늘은 뭐하나요,,?
이런 질문도 많이하시죠.
당연해요~
막연한 두려움과 부담으로 치료를 망설이시는데
과정을 알고나면
의외로 단순하고
편안하게 받을 수 있습니다.
오늘은 임플란트 첫 상담부터 보철이 완성되기까지
전체 과정을 A부터 Z까지 정리해드립니다!
상일동 임플란트 수술 과정 시작부터 끝까지 따라와주세요!

- 첫 내원 , 검사 & 상태 진단
상일동 치과에 내원하셨다면
첫번째 과정은 정밀한 진단입니다!
잇몸 뼈 상태는 어떤지
전신 병력은 어떤지
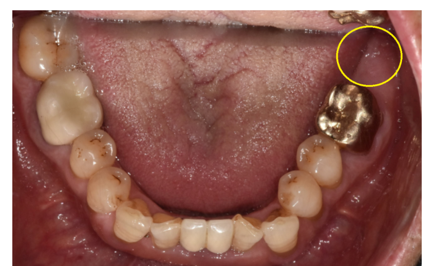
구강 내 사진을 촬영하고
x-ray 촬영이 동반됩니다!

230622
-
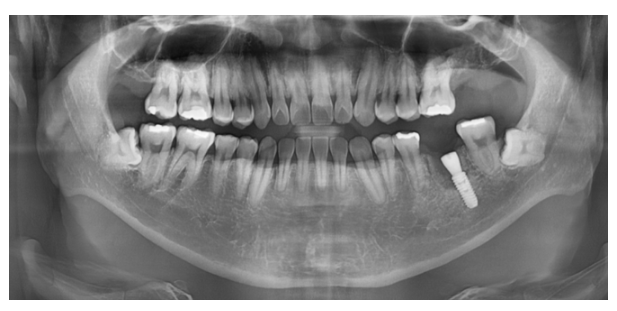
파노라마 X-ray
-
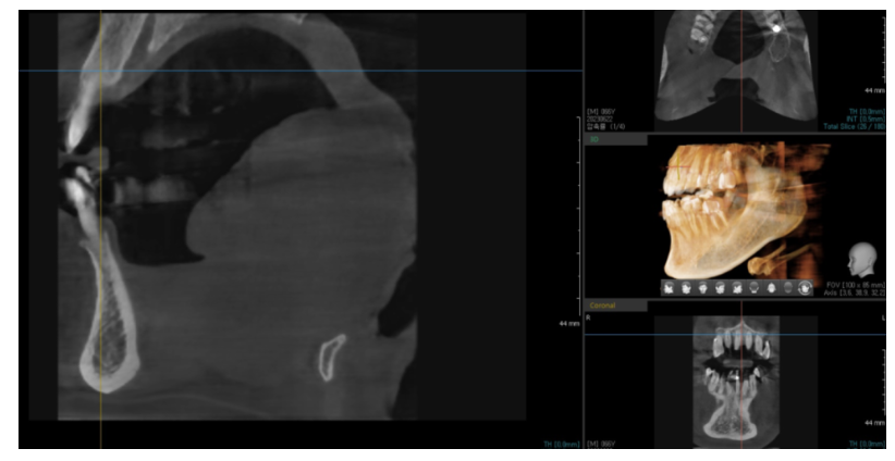
3D CT 촬영 (뼈 두께·높이 확인)
-
구강 내 사진 및 잇몸 상태 검사
-
건강 상태 및 병력 체크
잇몸뼈가 부족하면 뼈이식이 필요하다 설명 드리죠.

230622
- 시술 계획 수립
진단을 바탕으로 구체적인 계획을 수립합니다.
이때, 치료 기간과 방식도 대략적으로 결정됩니다.

221214
-
몇 개 심을지, 어떤 방식으로 할지 결정
-
발치 여부, 즉시 식립 가능성 판단
-
뼈이식, 상악동 거상술 여부 결정
예를들면...
발치 후 뼈이식만 먼저 진행할 것인지
발치와 동시에 수술이 진행할 수 있을지 여부가 말이죠.
또한 내비게이션 임플란트와 같은 디지털 방식으로 할지도
결정할 수 있습니다.
충분한 상담 후 환자분이 동의해주시면
실제 수술이 들어갑니다.

240125
- 임플란트 식립 수술
-
국소마취 후 잇몸 절개
-
뼈에 임플란트(픽스처) 삽입
-
필요 시 뼈이식 병행
-
봉합 후 회복
실제 수술 시간은 1시간 내외입니다.
마취 후 진행하기 때문에
통증은 크지 않습니다.
잇몸뼈가 충분하면 무절개 방식으로
잇몸을 절개하지 않아도 수술이 가능하고요!
- 유착 기간 (골유착)
-
뼈와 임플란트가 단단히 붙는 시간
-
중간 점검으로 경과 확인
임플란트는 뼈에 식립하기 때문에
식사하기 위해서는 단단하게 굳는 과정이 필요합니다.
일반적으로 상악 (윗니)의 경우 4-6개월
하악(아랫니)의 경우 2-3개월이 소요됩니다.
단단하게 붙었는지 1달마다 정기적으로 검진을 시행
충분히 뼈와 유착되었을 때 뽄을 뜨는 과정으로 넘어가는데요.

- 보철 단계
임플란트와 보철을 연결하는 기둥을 제작하고
기둥 위에 올라가는 보철물을 본을 뜹니다.
이때, 구강 스캐너와 같은 방식으로
환자분은 편하게 본을 뜨실 수 있습니다.

241019
-
-
-
-
본 뜨기 후 보철물 제작
-
인공치아(크라운) 장착
-
교합 및 씹는 힘 조절

240222
- 관리 시작 & 정기검진
여기서 끝이 아닙니다.
진짜 시작은 지금부터인데요.
임플란트를 오래 사용하기 위해서는
관리도 철저하게 하셔야합니다.
주변 잇몸에 염증이 발생하지 않게 말이죠.
집에서 스스로 관리하실 수 있게 보조 도구도 설명드리고
정기적인 약속을 잡아드립니다!
-
치간칫솔, 치실 사용법 교육
-
임플란트 주위염 예방 관리
-
3~6개월 간격 스케일링 & 점검
오늘은 상일동 임플란트 수술과정을
시작부터 마무리 짓는 순서대로 말씀드렸습니다.
이제 좀 과정이 눈에 익으시나요~?
임플란트 치료는 결코 무작정 시작하면 안 되는 치료입니다.
한번 식립하고나면 진단 변경이 어렵고
매 과정을 하나하나 단계를 밟아야해요!
오늘 저의 글이 상일동 임플란트 수술 결정에 도움이 되셨기를 바랍니다.
궁금하신 부분은 덧글 남겨주세요!

#상일동임플란트 #임플란트수술과정