안녕하세요~
서울바르디치과 대표원장 이주리입니다.
인비절라인 = 투명교정 으로 알려져 있습니다.
이러한 공식이
당연하게 여겨지다 보니,
교정 마무리 단계에서 치아에 철사를 부착한다고 하면
깜짝 놀라시는데요.
투명한 교정이라 철사는 전혀 없는 줄 알았는데요…?
하지만 여기엔 숨겨진 진실이 하나 있습니다.
투명 교정이라고 해서 치료 전 과정이
100% 투명 장치만으로 끝나진 않습니다.
특히 중요한 교정의 마지막 단계에서는
철사를 사용하는 경우도 있습니다.
오늘은 바로 그 알고 보면 당연한, 그러나 잘 알려지지 않은
인비절라인 교정 마무리 단계의 철사 부착 이유에 대해 이야기해드릴게요.
고덕동 투명교정 인비절라인도 철사를 붙일 수 있습니다.

인비절라인 요즘 모르시는 분들이 없습니다.
고덕동 교정 상담을 하러 내원하시는 10분 중에 8분은
투명 교정으로 원한다고 하시기도 하고요.
투명한 플라스틱 장치라
꼈다 뺐다 할 수 있는 장점이 있고
마치 아무것도 안 한 것처럼 보이면서도
치아가 움직인다는 점이 매력적입니다.

230909 인비절라인 착용 모습
그래서 많은 분들이 이렇게 생각하십니다.
“인비절라인은 철사를 쓰지 않으니까
불편함도 덜하고 미용적으로도 좋다.”
틀린 말은 아닙니다.
하지만 완전한 진실도 아닙니다.
인비절라인은 교정의 전 과정을 투명 장치로만 끝내는 건 아닙니다.
인비절라인은 기본적으로 철사나 브라켓 없이,
투명한 장치를 순차적으로 착용하면서 치아를 이동시키는 방식입니다.
그렇지만 치료 마무리 단계애서는
보이지 않는 아주 미세한 정밀 조정을 위해
철사를 붙이기도 합니다.

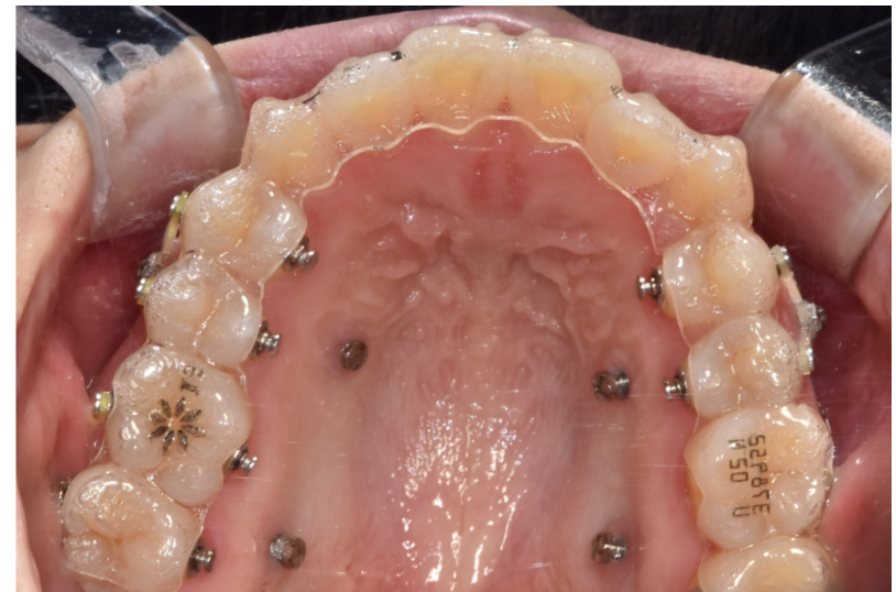
230909 필요 시 미니 스크류도 식립할 수 있죠.
특히 다음과 같은 경우엔 한계가 생기기도 합니다.
치아가 심하게 쓰러져 있는 경우
-
치아 뿌리의 위치를 세밀하게 조정해야 할 경우
-
치아 회전이 미세하게 남아 있는 경우
-
앞니 각도가 비대칭적으로 정렬된 경우
고덕동 투명교정 방식은 환자분이 장치를 20시간 이상 착용해주셔야하는데
적정 시간을 착용하더라도
뼈가 단단하거나 하여
치아가 제대로 움직이지 않는 경우가 있습니다.
이럴 땐 투명 교정장치만으로는 원하는 위치까지 정확히 이동시키기 어려워,
아주 짧은 기간 동안 철사를 부착해 미세 조정을 하게 됩니다.

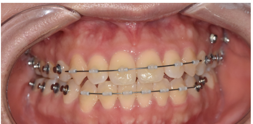
250304 인비절라인 마무리 단계에 붙이는 철사
1-2개월 정도 짧게 사용됩니다.
중요한 점은 이 철사 교정이 처음부터 다시 시작되는 게 아니라,
이미 마무리 단계에 와 있는 교정 치료를
더 완벽하게 다듬기 위한 보정 작업이라는 점입니다.
치아 이동이 예상보다 덜 되거나,
각도 조정이 미세하게 필요한 경우는 흔합니다.
실제로 인비절라인의 예상 결과와 실제 구강 상황 사이에는
작은 오차가 발생할 수 있기 때문에
이 부분을 보완해주는 ‘핀셋 같은 미세 교정’이 필요할 수 있습니다.
이때 일부 치아에만 소형 브라켓을 붙이고,
얇은 와이어(철사)를 통해 원하는 방향으로 치아를 유도하는 거죠.

교정 잘못된 게 아니에요,
오히려 더 잘하고 있는 겁니다
철사를 잠깐 붙이자고 하면 당황하는 분들이 많습니다.
“이거 잘못된 거 아닌가요?”
“그럼 처음부터 일반 교정할 걸 그랬나…”라는 반응도 종종 있죠.
하지만 실제로는 정반대입니다.
치료를 더 정확하게 마무리하기 위해,
더 나은 결과를 위해 사용하는 과정입니다.
완벽한 결과를 만들기 위한 과정인거죠.
고덕동 투명교정 인비절라인도 철사의 힘을 잠시 빌릴 수 있다!
끝까지 예쁜 마무리를 위해
디테일에 집착하고 싶으니까요.
지금까지 이주리 대표원장이었습니다.
감사합니다!

#고덕동투명교정 #고덕동인비절라인