하루만에 임플란트,
정말 가능한 걸까요?
안녕하세요
서울바르디치과 이주리 대표원장입니다.
많은 환자분들께 임플란트 완성까지의 기간을 말씀 드리면
하루만에 임플란트가 완성까지 되는 것은 무엇이냐
많이들 물어보세요.
생각보다 긴 치료기간에
그동안 이 없이 어떻게 살아요..?
많이들 놀라시죠.
하지만 모든 사람이 이 치료를 받을 수 있는 건 아닙니다.
“나는 해당될까?”
하루만에 임플란트 당일치기가 가능한 조건은??
이 글에서 하루만에 임플란트가 가능한 조건, 그리고
주의사항과 장단점까지 정리해 드릴게요.

하루만에 임플란트?
일반적인 임플란트는 식립 후 보철 완성까지
평균 3개월 이상 소요됩니다.
원데이 임플란트라고도 불리는 이 수술법은
이를 뽑음과 동시에 임플란트를 식립하고
보철까지 부착하는 방식을 말합니다.
치료 후 바로 식사가 가능하고
시간이 부족한 분들께는 아주 매력적인 방법이죠~
말씀드렸다싶이 누구나 가능한 것은 아닙니다.
특정 조건을 충족하여야하는데요.

240426
원데이 임플란트가 가능한 사람의 조건
1)치조골 상태가 양호할 것
CT 촬영 결과 뼈 높이와 두께가 충분해야 하죠.
2)염증이 없는 건강한 발치 환경
염증이 심한 경우는 어렵습니다.
3)전신질환이 없거나 잘 조절되고 있을 것
4)즉시 보철이 가능할 정도의 골밀도 확보
5)기공 시스템과 디지털 장비가 갖춰진 치과일 것

일반적으로는 기공소에서 제작하기 때문에
제작에 소요되는 시간도 무시 못하기 때문이죠~
사실은...
함정이 숨어있습니다.
뼈가 아주 없지 않은 이상
이를 뽑고 당일에 임플란트 식립까지는 가능합니다.
예전에는 이를 뽑고 치유가 되기 까지
일정기간 기다렸습니다.
그리고 수술을 하는 방식이 선호되었죠.
요즘은 치료기간 단축을 위하여
염증이 심하지 않은 경우
당일에 발치와 임플란트까지 동시에 진행하는데요.

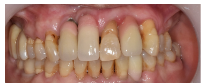
240429 수술까지 완료한 모습은 이렇습니다.
환자분 눈에 보이는 보철까지 완성 되는 것은
또다른 이야기입니다.
임플란트는 뼈와 유착되는 기간이 필요하기 때문에
하루만에 임플란트 머리까지 만드는 것은 어려울 수 있습니다.
보철 제작에도 시간이 필요하고요.

240508 눈에 보이는 보철 상태
머리 부분이 비어보이지 않게 당일
임시치아까지는 가능할 수 있습니다.
하루만에 임플란트가
씹을 수 있는 보철까지 완성인지
단순히 심어두는 행위에 그치는지는
진단이 선행되어야한다는 점
꼭 알아두세요!
무리하게 골 유착이 되어있지 않은 상태에서
보철을 제작했다가
임플란트가 흔들리게되고
재수술이 필요해질 수도 있습니다.

240429 하루만에 임플란트는 때문에 앞니에 많이 진행합니다.
힘을 많이 받지 않아도 되기 때문이죠.
오늘 뽑고, 오늘 심고, 보철까지!
아주 일부의 경우에 해당한다는 점
알아가셨으면 좋겠습니다.
조건에 해당하신다면
임플란트 당일치기 충분합니다.
하루만에 임플란트
환자분 케이스에 해당하는지
진단 받아보시는 것을 추천드리면서
이만 글을 마무리 하겠습니다.
감사합니다!

#하루만에임플란트 #임플란트당일치기