교정하면 철사 붙이는 거 아닌가요?
환자분의 고정관념을 확! 바꿔드리는
교정 방법을 안내해드리겠습니다.
많은 분들이 교정이라고 하면 떠올리는 건 하나뿐입니다.
입 안에 철사, 브라켓, 그리고
오랜 기간 불편함을 참아야 한다는 이미지.
이러한 단점으로 교정을 꺼려하시는데요.
요즘은 붙이지 않고,
덜 티 나고, 뺐다 꼈다 할 수 있는 교정도 있습니다.
바로 투명교정이죠.
하지만 아직도 “그게 교정이 돼요?”,
“효과는 약한 거 아니에요?” 라고 묻는 분들이 많습니다.
그래서 오늘은,
누가 받을 수 있는지, 효과는 어떤지
알기 쉽게 정리해드립니다.

꼈다 뺐다 하는 교정은 투명교정입니다!
투명한 마우스피스 형태의 교정 장치를
투명교정이라 말합니다.

플라스틱 형태의 교정기를 입 안에 끼우는데
눈에 잘 띄지 않고,
식사나 양치할 때 스스로 탈착이 가능합니다.
때문에 결혼식이라던가
중요한 발표 일정 시에는 장치를 제거했다
다시 끼울 수 있다는 아주 큰 장점이 있습니다.

230617 티가 전혀 나지 않죠~?
이런분들께 추천드립니다!!
-
교정 장치를 티 내고 싶지 않으신 분
-
직업상 외모 노출이 많은 분들 (강사, 승무원 등)
-
통증과 구강 위생이 걱정되는 분
-
식사나 양치를 자유롭게 하고 싶은 분
특히 직장 생활을 하는 성인 환자분들이
많이 찾아주고 계십니다.
투명하기 때문에
잘 보이지 않아
철사교정이 부담되시는 분들께
강추되고 있습니다.


230208
효과는 정말 있나요?
비교적 최근에 나온 교정법이기도 하고
교정 = 철사 이미지가 워낙 강해
교정 되겠나?? 싶은 오해들을 많이 하세요.
플라스틱 장치이기 때문에
치아를 움직일 수 있는 힘이 있는지? 싶기도 하고요.
그렇지만 투명교정은 디지털 분석 기반으로
치아 움직임을 설계하였기 때문에
미세한 각도 조정도 가능하답니다.
흔한 돌출입 교정, 옥니 교정
대부분의 교정이 가능해요
(악교정 수술을 해야하는 경우를 제외하고 말이죠!)
하지만 투명교정은
환자 본인의 착용 습관이 가장 중요합니다.
하루 20시간 이상 착용하지 않으면 효과는 떨어집니다.
식사할 때를 제외하고
착용해주셔야해요.
그래야 처음 계획된대로 다음 단계의 장치 착용이 가능하고
처음 예상된 교정 후의 모습대로
진행이 됩니다.

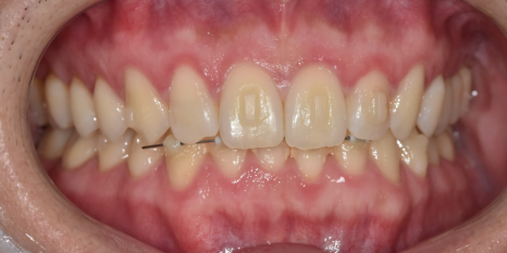
250623 치아 사이 공간을 투명교정으로 줄이는 모습
교정은 더이상 철사만이 아닙니다
하지만 지금은 기술도 방법도 많이 달라졌습니다.
꼈다 뺐다 하는 교정, 정말 교정이 됩니다.
한 번쯤 고려해보셔도 좋지 않을까요?
향후 10년 , 20년 뒤에는
철사 교정이 사라질 수도 있습니다.
치아 고민이 있다면,
철사 외에도 다른 교정법이 있다는 것부터 알아보세요.
환자분께 더 잘 맞는 방법이 기다리고 있을지도 모릅니다.
감사합니다!
#꼈다뺐다하는교정