안녕하세요,
서울바르디치과 대표원장 이주리입니다.
오늘은 사랑니 발치 후 흔하게 나타날 수 있는
드라이 소켓 증상에 대해 이야기 해볼까합니다.
발치 하고 계속 냄새가 나고
계속 아픈데 정상인가요??
사랑니를 뽑고 나면 누구나 어느 정도의 통증과 붓기를 예상하죠.
그런데 통증이 점점 심해지고,
입안에서 냄새까지 난다면?
단순한 회복 과정이 아니라 합병증일 수 있습니다.
문제는 사랑니 발치 후 원래 아프니까..
시간이 지나면 괜찮아지겠지... 하며 참는 사이
통증은 더 심해지고 염증이 번질 수 있습니다.
오늘은 사랑니 발치 후 생길 수 있는 드라이소켓 증상과,
왜 반드시 치과 내원이 필요한지 알려드립니다.

드라이소켓이란?

정상적인 발치 후에는 피가 고여 혈병(피딱지)이 형성되고,
이 혈병이 상처 부위를 보호하며 자연 치유가 일어납니다.
그런데 이 피딱지가 떨어지거나
제대로 형성되지 않게 되면
뼈가 외부에 노출되게 됩니다.
이 경우 극심한 통증, 염증, 냄새
3가지 증상을 동반하게 됩니다.
염증이 생겨 열도 생길 수 있고요.
사랑니 발치 후 대표적인 부작용이라 보시면 되는데요.
발치 후 3-5일쯤부터 3가지 증상이 생기면
의심해보셔야합니다.

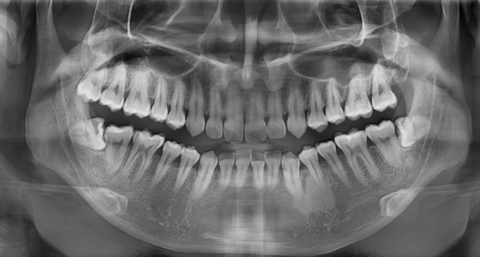
230725 양쪽으로 누워있는 매복 사랑니
이런 증상이 드라이소켓의 신호일 수 있어요!
-
발치 부위가 며칠 후부터 점점 더 아파진다
-
진통제가 잘 듣지 않고, 찌르는 듯한 통증
-
사랑니 발치 후 냄새가 난다
-
발치 부위를 보면 구멍이 비어 있거나 뼈가 노출되어 있다
이때 통증은 그냥 아픈 정도가 아니라
무지하게
무진장 아픕니다.
약을 드셔도 계속 아플 수 있어요.
이런 증상이 있다면 절대 기다리지 마세요!
드라이소켓은 반드시 치과 치료가 필요합니다.

발치한 모든 부위에 생길 수 있습니다 .
왜 드라이소켓이 생길까요?
다음과 같은 경우에 잘 생깁니다.
피떡이 떨어지는 행동을 했을 때 생깁니다.
너무 격하게 양치를 했다거나
빨대 사용
흡연 , 음주 등 회복 방해 요소를 시행 등등
조심한다고 해도 생길 수 있는 문제이기 때문에
이상 증상이 생기면 빠른 내원이 무엇보다 중요합니다.
드라이소켓은 방치할수록 더 아프고, 치료도 어려워집니다.
일반적으로는 발치 부위 소독을 시행하고
약제를 넣어둔다거나
발치 부위를 소파하여 염증을 제거
항생제와 진통제 처방이 진행됩니다 .
발치한 부위에 새로운 조직이 생기도록 유도하는거죠~
대부분의 경우 일주일 이내로 통증이 가라앉고 정상 회복됩니다.

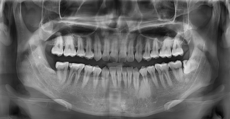
240827 시간이 지나 발치한 부위가 뼈로 잘 찼어요.
환자분이 발치한 부위를 보아도
잘 모르는 경우가 많습니다.
사랑니 부위는 맨 끝쪽이라 안보이기도 하고요.
입에서 썩은 냄새가 나면서
극심한 통증을 동반한다면 반드시 발치한 병원을 방문해주세요!
“시간 지나면 괜찮아질 거예요”라는 말,
드라이소켓에는 해당되지 않습니다.
“며칠만 참아볼까?”
“그냥 회복 중이겠지...”
이런 생각으로 지나치기엔 너무 아픕니다.
조금이라도 냄새가 나거나 통증이 심해진다면
망설이지 말고 지금 치과에 내원하세요.
회복은 기다리는 것이 아니라
치유를 도와드리는 병원이 있기에 회복됩니다.
감사합니다.

#사랑니발치후냄새 #드라이소켓 #매복사랑니드라이소켓