교정치료 = 철길
그런 시대 끝났습니다!
안녕하세요
서울 바르디치과 대표원장 이주리입니다.
교정치료라고 하면 아직도 많은 분들이 쇠 색깔의 교정을 떠올립니다.
웃을 때 반짝이는 쇠 색깔
무겁고 투박한 이미지,
그리고 티 나는 교정에 대한 부담.
그래서 요즘은 심미성을 이유로
투명교정이 가능한지? 먼저 물어보는 환자분들이 많습니다.
하지만 모든 사람에게 투명교정이 가능한건 아닙니다.
부정교합이 심한 경우에는 투명교정만으로는 한계가 있거든요.
그럼 정말 방법이 없을까요?
바로 여기서 등장하는 것이 하얀색깔 브라켓입니다.
오늘은 그런 고민 모두 덜어드리기 위해
'자가결찰 브라켓'에 대해 이야기해 보려고 합니다.
환자분들의 선택에 도움이 되었으면 합니다

하얀색 자가결찰 브라켓,
클리피씨란?
우리가 아는 교정 장치라고 하면 역시 '메탈' 아닐까 싶은데요?
예전에는 치아에 브라켓을 부착하고
가느다란 철사를 브라켓에 묶어 치아를 이동시켰습니다.

물고기 모양으로 브라켓 주변을 감싸 힘을 전달했습니다.
지금까지 쓰일 만큼 분명 효과가 분명하지만
치아에 힘을 가하면서 통증을 유발한다거나
와이어 끝에 입술이나 볼이 찔러서 덧나기도 하였습니다.
이러한 단점을 보완하기 위해 나온 방법이 바로 '자가결찰 방식'입니다.
이름처럼 브라켓 스스로 결찰이 되는 구조라고 보시면 되는데요.
별도로 철사를 브라켓에 엮어 줄 필요가 없습니다.

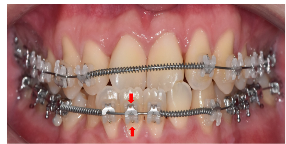
250714
쇠 색깔이 뚜껑입니다.
브라켓 자체적으로 뚜껑이 있어
철사를 고정시킬 때 뚜껑을 열고 닫기만 하면 됩니다.
마치 문을 열고 닫듯
간단하게 고정할 수 있어요.
데이먼, 클리피씨 등등 대표적인 자가결찰 브라켓 회사들이 있습니다.
가장 많이 사용되는 브랜드이기도 하고요.
마치 임플란트의 오스템, 메가젠과 같이 말이죠.

250509 고정해 둔 철사를 제거하면 브라켓 문을 열고 닫는 뚜껑이 잘 보이죠??
장치마다 각 장단점은 있지만
기존 쇠 색깔의 장치에 비하여 심미적인 요소가 반영되어
치아 색과 유사합니다.
브라켓 자체가 철사를 붙잡아 두기 때문에
치료기간이 단축됩니다.
마찰력이 줄다보니
치아 이동이 빠르거든요.
일정하게 지속적으로 힘이 가해져 통증도 적고 말이죠.
많은 분들이 심미성 때문에 투명 교정을 원하십니다.

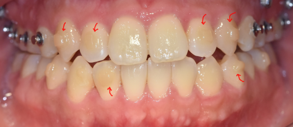
241018 어태치먼트를 부착한 투명교정
그런데 투명교정도 때로는 어태치먼트
오돌토톨한 장치를 붙일 때가 있습니다.
치아를 특정 방향으로 이동시키거나,
복잡한 치아 이동을 가능하게 만드는 중요한 장치인데요.
이 장치를 부착하게 되면 돌출감이 생길 수 있어서
철사 교정을 했을 때의 돌출되는 느낌은 비슷하실꺼라 생각합니다.

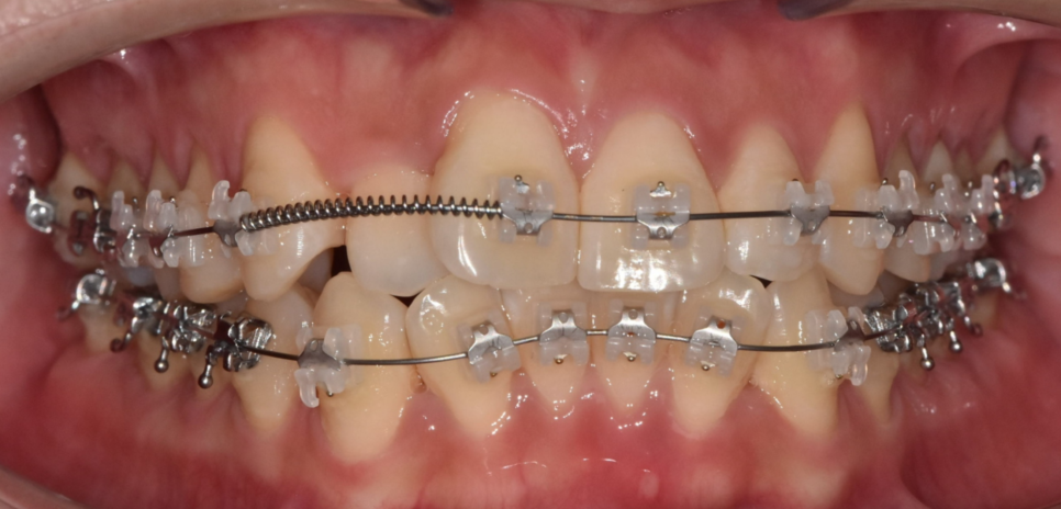
250530
또한 투명교정은 안끼시면 무용지물입니다.
그에 비해 자가결찰 브라켓은
어쨌든 내 치아에 부착해두었으니 24시간 힘이 가해지기 때문에
치료 기간면에서도 오히려 투명교정에 비하여
빨리 끝날 수도 있습니다.
심미성과 교정의 효과
2가지를 우선시한다면 자가결찰 브라켓
그 중에서도 세라믹으로 만들어진 것은 훌륭한 대안이 될 수 있습니다.
교정은 단기 프로젝트가 아니라
2~3년간 나와 함께하는 장기적인 치료입니다.
교정 시작 전 장치에 대하여 충분한 설명을 듣는 것은
필수입니다.
| 함께 읽으면 좋을 브라켓 종류 설명서 |
|---|
| https://blog.naver.com/implant_master/223684079825 |
철길 교정이 부담스러웠다면,
이제는 티 안 나는 하얀 교정은 좋은 대안입니다.
자가결찰 브라켓 빠르게 끝내고 통증은 줄여서
교정을 고민하시는 분들께
오늘 글이 도움 되었길 바라며 마무리하겠습니다.
감사합니다.

#자가결찰브라켓 #클리피씨