안녕하세요,
서울바르디치과 대표원장 이주리입니다.
예전에는 안그랬는데..
이런 말 참 자주 듣습니다.
시간이 지나면서 더 틀어지고 벌어지고
예전과는 다른 내 치아의 모습들을요.
환자분도 아래 경험에 해당하지는 않으신가요??
앞니 솟아오른다거나
안쪽으로 더 들어간다거나
치아가 더 길어 보인다거나
살짝 움직이는 느낌을 받거나
이러한 증상을 느끼셨다면
치주염이 진행하고 있을 가능성이 높습니다!
특히 아래 앞니는 잇몸뼈가 얇고 치아 뿌리도 작아,
한 번 염증이 시작되면 치아를 붙잡아줄 힘이 빠르게 무너집니다.
그 끝에는 치아가 솟구쳐 오르는 듯 보이다가
결국 발치로 이어지는 결말이 기다리고 있죠.
오늘은 치아 상실로 이어지는
아래 앞니 잇몸 염증에 대해 알아보겠습니다.

치아가 점점 더 길어지는 이유

240517
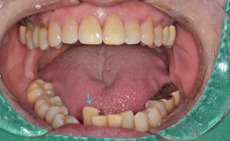
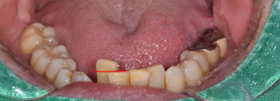
사진을 보시면 아래 앞니 1개가 솟구쳐 올라와있죠?
다른 치아에 비해 키가 유독 큰 모습입니다.
치아가 솟구쳐서 불편해요
깎아주세요
“요즘 자꾸 윗니랑 부딪혀서 불편해요”,
“치아를 조금만 깎아주세요” 하고 오시는 경우가 많습니다.
하지만 이건 치아가 자라는 게 아닙니다.
치아가 길어진 게 아니라,
잇몸뼈가 녹아내린 겁니다
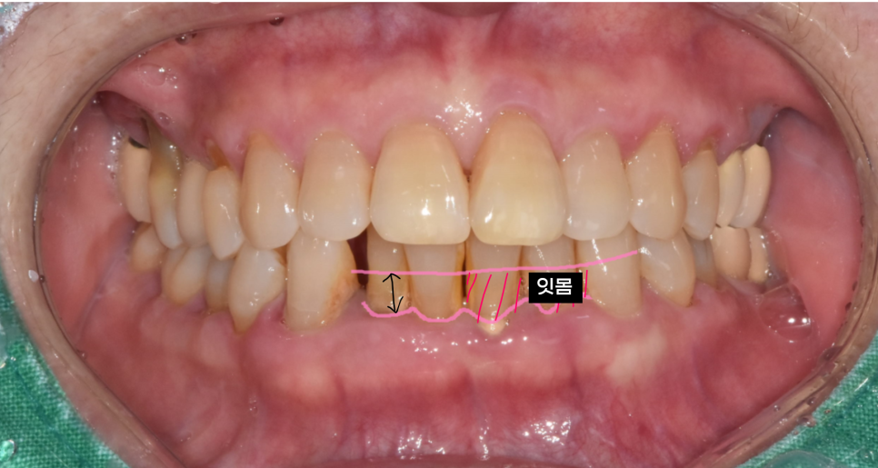
치아가 길어보이는게 알고보면...
잇몸이 내려가면서 뿌리 부분까지 노출되어 길어져 보이는 것일뿐
실제 치아 길이가 길어진 것은 아닌데요.

240525
나이가 들고,
치주염이 진행되면 잇몸뼈가 점점 흡수됩니다.
염증이 뼈를 녹인거죠.
우리의 치아는 잇몸 뼈에 단단히 고정되어있는데
뼈가 치아 뿌리를 붙잡아주지 못하면,
뿌리 일부가 노출되며 치아가 길어진 것처럼 보이고,
결국에는 제자리를 이탈해 위로 솟구쳐 오릅니다.

240517 잇몸이 덮여져 있어야할 부분이 내려가기에 치아가 길어져 보이는 현상이 생겨요
그 상태에서 맞물림이 어긋나고,
씹을 때 불편감을 느끼게 되는 거죠.
안닿아야할 치아가 자꾸 닿으니
자극이 되고
더 빨리 망가지기도 하고요.
삭제하면 해결될까요?
불편감을 해소하기 위해
맞닿는 치아를 갈아달라고 요청해주시는데요.
이미 뼈가 무너졌기 때문이기 때문에,
삭제로는 불편함이 일시적으로 좋아질 수는 있어도
결국 치아가 더 약해지고, 더 흔들리고, 더 빨리 발치해야 할 상태가 됩니다.

240517 무리한 삭제는 치아 시림을 유발하기도 합니다.
정도에 따라 치료가 결정되지만
아래 앞니 흔들림이 심한 경우
(주로 손으로 밀어도 움직임이 강할 경우)
발치가 요구됩니다.
지금 상태에서는 뼈가 치아를 붙잡아줄 힘이 없고,
잇몸 염증 고름이 심해지면
주변 뼈를 녹이고 더 악화될 뿐 좋아지지는 않기 때문이죠.
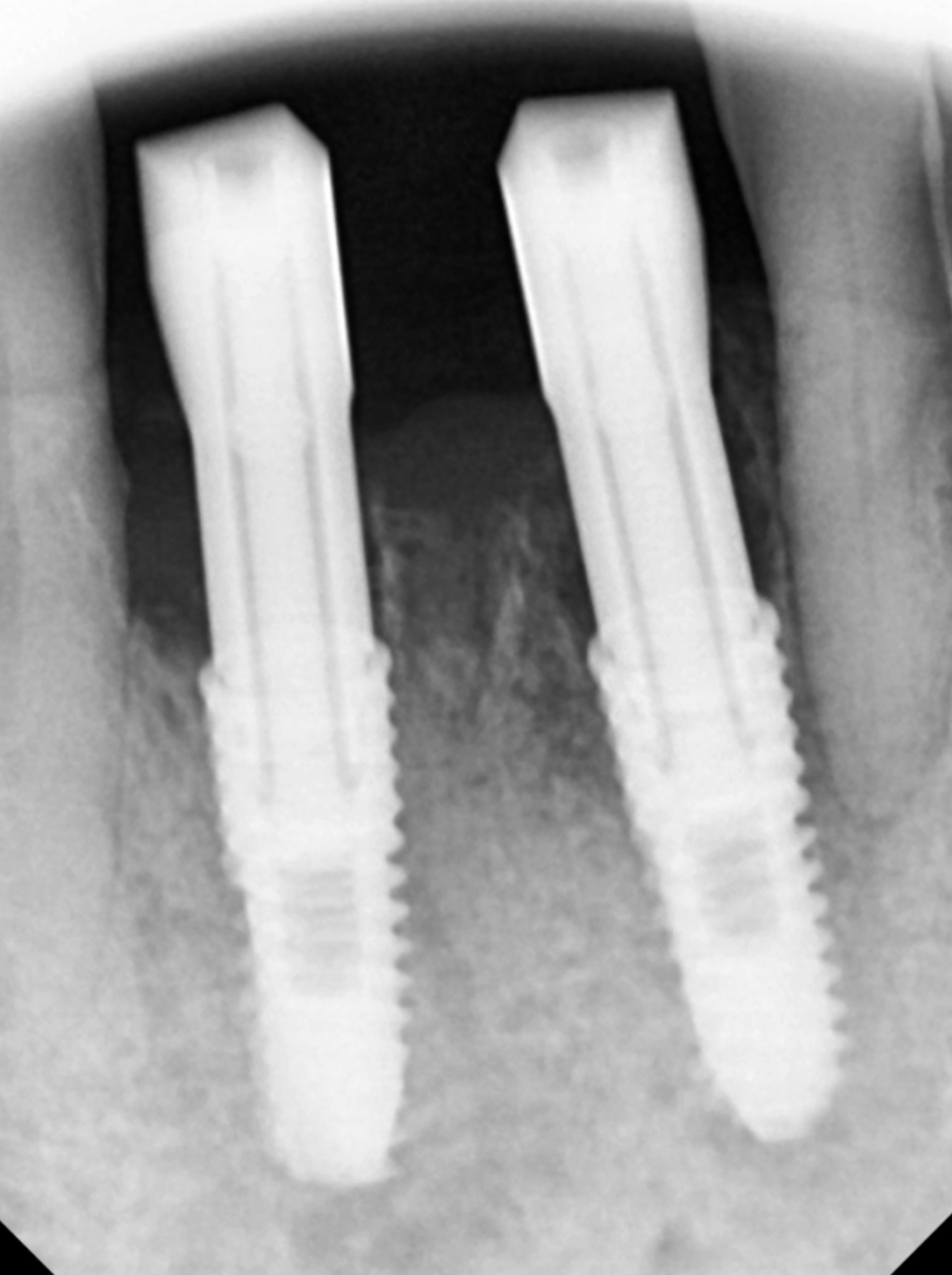
이 환자분도 결국 발치 후 임플란트를 권유드렸습니다.

240622
아래 앞니는 잇몸뼈가 약해서... 더 위험합니다
치주염은 잇몸의 염증에서 시작해,
결국 잇몸뼈(치조골)까지 녹여버리는 병입니다.
하악 전치부
그러니까 아래 앞니는 잇몸뼈가 얇아
작은 염증에도 뼈 소실이 빠르게 진행됩니다.
이런 해부학적인 특징 때문에 임플란트 역시
고난이도가 요구됩니다.
게다가 아래 앞니 안쪽에는 침샘이 위치하여
치태가 잘붙고 치석이 잘 생기는 부위이기도 합니다.

240517 붙어있는 치석들
치주염은 조기에 잡으면 얼마든지 관리 가능합니다.
정기적인 스케일링으로 관리해주신다면요.
문제는 고름 주머니(치주농양)가 생기고, 뼈 소실이 극심해지면
더는 치아를 붙잡을 방법이 없다는 점입니다.
잇몸 염증 고름이 생기면 아무리 스케일링,
잇몸치료를 진행해도 뼈를 되돌릴 방법이 없습니다.

240711
환자분이 느끼는 증상으로는 아래와 같습니다.
입에서 냄새가 나고
양치할 때 피가 나고
고름 맛 (짭짤한 염증)
치아 흔들림
대표적인 치주염 증상들이죠
그것도 상당히 진행된 수준의...
뼈가 무너지면, 아무리 멀쩡한 치아도 그 자리에 있을 수 없습니다.
아래 앞니 임플란트 최대한 피하고 싶으시다면
치아가 아니라, 잇몸뼈를 지켜야 합니다
치아는 뼈가 붙잡고 있는 덩어리니까요..
치아 자체가 약해서가 아닙니다.
치아 움직임을 자각하셨다면
지금 바로 병원을 방문할 타이밍입니다.
감사합니다.
아래 앞니 임플란트 잇몸 염증 고름으로 인한 흔들림이 심해질때

#아래앞니임플란트 #아래앞니흔들림 #잇몸염증고름