안녕하세요,
서울바르디치과 대표원장 이주리입니다.
임플란트로 씹는 즐거움을 이제 좀 알겠는데...
갑자기 입에서 이상한 냄새가 나면서 고민을 하시는 분들이 많습니다.
"어... 이거 수술한거 잘못된거 아닌가...?"
" 빼야하는건가..?"
특히 한국 사람들은 입냄새에 민감해
대인관계, 직장생활, 연애까지 영향을 받는다고 느끼기 때문에 걱정이 클 수밖에 없습니다.
그렇다면 왜 임플란트 부근에서 냄새가 나는 것인지?
관리법
개선 방법까지
차근히 풀어보겠습니다.

임플란트 냄새의 원인은
무엇일까?
우선 냄새가 날 수 있는 원인이 많기에
임플란트 자체의 문제인지?
잇몸에서 발생하는 구취인지 확인이 필요합니다.
치석이라던가 잇몸병에 의한 냄새는
스케일링 만으로 보통 좋아집니다.
염증이 제거되면서
치료되기 때문이죠.
그런데 임플란트가 원인이 된다면 이것! 때문일 수 있는데요.
주로 수술 직후에는 냄새가 나지 않습니다.
몇달, 몇년
보철을 만들고 어느정도 사용감이 생겼을 때부터
문제가 되는데요.

250308
임플란트는 뼈에 고정된 인공치근(뿌리)과
그 위에 연결된 보철물(크라운)로 구성됩니다.
이때 크라운 주변 잇몸과 치아 사이에
아주 좁은 미세 틈새가 존재합니다.
여기에 음식물 찌꺼기나 세균이 쌓이면
자연치 못지않게 세균 번식이 일어나며 냄새가 날 수 있어요.

250308 보철물 경계 부위로 세균이 들어갈 수 있어요
결국 임플란트 자체가 고장이 나서가 아니라,
주변 환경 관리가 부족할 때 냄새가 발생하는 경우가 대부분입니다.
특히 임플란트 보철 경계가 정확하지 않을 때는
안쪽으로 음식물이 더 잘들어가기 때문에
냄새가 더 많이 날 수 있습니다.

음식물이 낀걸 전혀 몰랐어요...
이렇게 생각하시는 분들도 있습니다.
치아 사이 사이에 음식물이 끼었을 때는
환자분이 즉각 불편감을 느끼시지만
미세한 찌꺼기가 들어간 것은 잘 모르시는 분들도 많습니다.

250709
임플란트 구멍이 탈락하면서
음식물이 들어가 냄새가 나서 알아차리시거나...
(구멍 근처가 까끌 거리면 바로 병원에 방문해주셔야해요!)
계속된 악취로 보철을 제거해서 청소해줄 때가 있는데요.
보통 보철물을 제거하고 나서
내부를 소독해줄 때 많이 아시게 됩니다.
임플란트 악취가 느껴지면
청소가 필요합니다!
냄새로 끝나면 다행이지만
임플란트 탈락 위험까지 발생할 수 있기에
병원 방문이 필요합니다.
아무래도 인공 치아이다보니
자연치아보다 더 깨끗하게 관리해줘야 합니다.
자연치아는 뼈와 치주인대에 의해 붙잡고 있지만
임플란트는 뼈에 바로 고정되기 때문에
한번 염증이 생기면
주변 잇몸 뼈가 녹을 수 있습니다.

230116 고덕동치과
계속된 뼈 손실은 임플란트를 붙잡지 못하여
흔들거리게 되고
제거가 필요해질 수 있습니다.
따라서 꼼꼼한 칫솔질과 함께
치간칫솔, 치실 사용은 임플란트를 오래 쓰기 위한 하나의 방법입니다.
정기적으로 시술한 병원에 방문하셔서
스케일링과 검진은 필수이고요.
특히 “임플란트니까 더 튼튼하겠지~” 하고 청소를 소홀히 하면,
악취와 함께 임플란트 주위염으로 점점 망가지는 길로 갑니다.
스케일링과 같은 잇몸 청소는
단순히 냄새 문제를 넘어서 임플란트 수명을 지키는 보험인 셈이에요.
마지막으로.. 이런 증상이 나타나면 병원을 방문하세요!
병원과 약속된 날짜가 아니더라도
임플란트에 증상이 나타나면 바로 방문하셔야합니다.

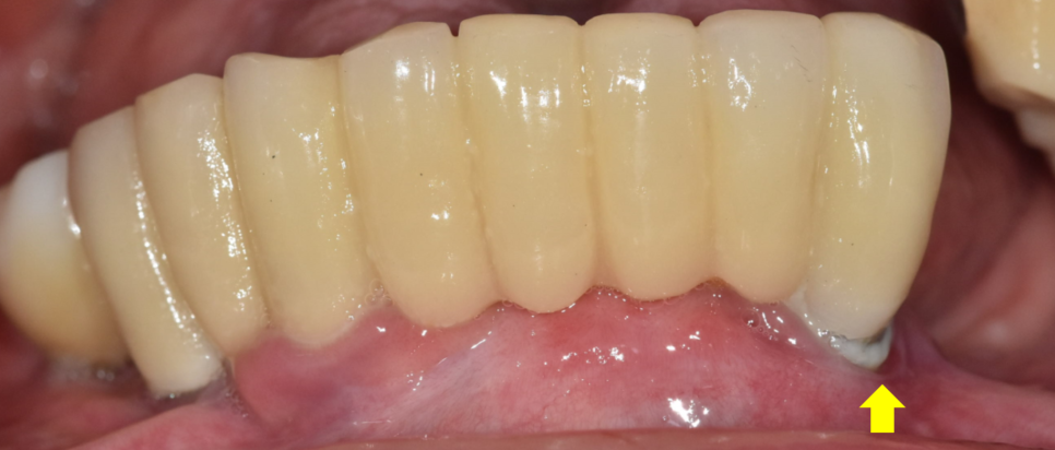
240830 임플란트 보철 주변으로 낀 찌꺼기와 잇몸이 빨갛게 부은 모습
-
냄새와 함께 잇몸 붓기, 피, 고름이 보인다
-
임플란트 부위가 씹을 때 아프거나 흔들린다
-
청소를 열심히 해도 악취가 지속된다
임플란트 주위염의 증상 중 하나일 수 있습니다.
초기에 발견하면 충분히 관리됩니다.
하지만 방치하면 뼈까지 녹아 수술로 재치료하거나,
최악의 경우 임플란트 제거까지 가야 합니다.
| 임플란트 주위염 관련 글 보러가기 |
|---|
| https://blog.naver.com/implant_master/223793889737 |
오늘은 고덕동치과 임플란트 악취 냄새가 나는 이유는?
무엇인지 짚어드렸습니다.
임플란트에서 냄새가 난다고 해서
곧장 문제가 생겼나,,?는 결론을 내릴 필요는 없습니다.
대부분은 청소와 관리로 해결 가능한 문제입니다.
걱정되는 마음이 드셨다면
오늘부터라도 임플란트 관리 습관을 점검하고
오래된 임플란트라면 검진을 받아보시길 바랍니다.
인공치아이기에 관리가 까다로울 수는 있지만...
평생 함께 가야하는 내 치아이기에
소중하게 아껴주어야겠죠??
오늘 제 글이 임플란트 악취로 고민이 되시는 분들께
도움이 되셨기를 바라면서
이만 마무리하겠습니다.
감사합니다!

#임플란트악취