안녕하세요
서울바르디치과 이주리 대표원장입니다.
불편한 건 없어요.
나중에 시간 나면 할게요.
오늘도 또 듣고야 말았습니다.
식사는 불편한게 없어서....
나중에 불편할 때 하려고요.
실제로 많은 분들이 이렇게 생각하십니다.
치아가 빠졌는데도 치료를 미루고 방치하는 경우,
정말 흔합니다.
의료진 입장에서는 이 부분이 제일 답답합니다.
오늘은 치아가 빠졌을 때
방치하면 안되는 이유에 대해 설명 드리겠습니다.

<목차>
| 치아가 빠지면 나타나는 연쇄작용 |
|---|
| 2. 상실된 치아의 치료 방법 2가지 (치과 브릿지, 임플란트) |
치아가 빠지면 나타나는 연쇄작용
이가 없으면 잇몸으로 먹는다고요
그건 옛말입니다.
지금은 브릿지든 임플란트든, 씹을 권리를 되찾는 시대예요.
옛 말에 이가 없으면 잇몸으로 먹는다는 말이 있습니다.

250710 한쪽만 치아가 있어도 어떻게든 식사하시더라고요.
진짜 이가 없는데도
잇몸으로 씹어서라도 먹는다는 말이잖아요.
즉, 불편하고 부족한 상황이어도
포기하지 않고 살아간다는 뜻입니다.
이러한 말 때문인지
치아가 1-2개 빠져도 치료하지 않는 분들이 많습니다.
치아가 빠져도 옆 치아로 씹고
다른 쪽으로 음식물을 보내면 먹을 순 있어요.
불편하지 않다 = 문제 없다 라고 생각하시는 거죠.
하지만 치아는
빠진 자리를 메워주는 역할이 없으면,
옆과 위 치아 모두 무너집니다.
양쪽 위,아래로 닿던 치아가 빠져버리기 때문에
-
옆 치아가 기울어지고
-
맞물리던 치아가 내려오고
-
전체 교합이 어긋나고
-
턱관절이 무리받고,
-
-
결국 더 많은 치아가 망가지게 됩니다.

250630 치아가 빠지고 방치하여 정출된 치아
심지어 원래 안좋았던 치아가
다른 치아가 빠져버림으로 인해
안해도 될 일을 자꾸 하게 되어
더 빨리 무너지기도 하죠.

250702 치아 높이 차이를 확인해보세요
그리고 그땐 이렇게 말씀하세요.
“처음엔 하나였는데… 이게 왜 이렇게 커졌죠?”
“처음엔 간단한 문제였는데...”
“결국 수백만 원 들어가는 치료로 이어졌어요...”
이런 사례, 너무 흔합니다.
정말로요...

250313 1-2개 치아가 여러 치아 발치로 이어진 환자분
치아 상실 치료 2가지 방법
치아 상실 치료는 크게 두 가지입니다.
| 구분 | 브릿지 | 임플란트 |
|---|---|---|
| 방식 | 양옆 치아를 깎고 다리처럼 연결 | 뼈에 인공 치근을 식립해 단독 치아로 회복 |
| 장점 | 수술 부담 적음, 빠른 치료 가능 | 주변 치아 손상 없음, 자연치처럼 씹는 느낌 |
| 단점 | 건강한 치아 삭제 필요, 중간 세정 어려움 | 수술 필요, 비용 및 기간이 상대적으로 큼 |
임플란트가 없던 시절에는 브릿지 치료가
상실된 치아를 대체했었죠.

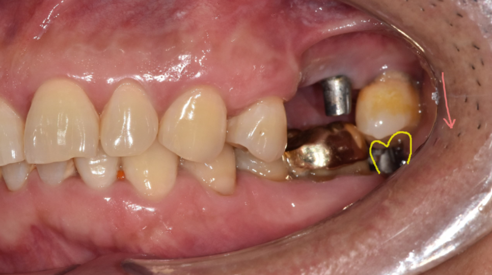
250703 어금니 브릿지 사례
지금도 임플란트 수술이 부담스럽거나
전신질환으로 어려운 경우 여전히 많이 진행되고 있습니다.
브릿지는 수술이 부담스러울 땐
좋은 대안이 될 수 있지만,
옆 치아가 건강할수록 오히려 손해일 수도 있습니다.
건강한 양쪽 치아를 삭제해야한다는 단점이
분명하게 있으니까요.

250703 묶여져 있어 치료도 3개 모두 제거 후 치료해야합니다.
또한 1개 치아에 문제가 생겨도
전체 브릿지를 모두 제거해야한다는 단점이 있고요.
임플란트는 수술이라는 부담이 있지만,
장기적으로는 더 건강한 선택일 수 있어요.
상실된 치아만 대체하고
다른 치아에 해를 끼칠 영향도 없죠.

250325
완벽한 방법이 존재하지는 않습니다.
하지만 가장 나쁜 선택은 아무것도 하지 않는 것입니다.
치료는 지금 할 수 있는 최선의 선택부터
진행하여야합니다.
치아가 빠졌다면, 무엇이든 시도하세요
치아 상실 치료의 핵심은 이겁니다.
“무엇이든 시도하세요. 절대 그대로 두지만 마세요.”
작은 구멍을 방치하면,
나중엔 전체 벽이 무너지는 것처럼
치아 하나의 부재가 나중엔 전체 치열,
턱관절까지 영향을 줄 수 있어요.
불편할 때 치료하고 싶다는 환자분의 선택을 존중합니다.
하지만 치료는 꼭 필요합니다.
다른 치아를 보존할 수 있다는 점에서
의미가 있으니까요.
어떤 치료든 행동하는 선택은
환자분의 구강 건강을 지키는 첫걸음입니다.
감사합니다.

치아 상실 치료 치과 브릿지? 임플란트? 무엇이든 시도하세요.
#치아상실치료 #치과브릿지 #임플란트